Comparison

ASC Antibody

Item no. PRS-2287-0.1mg
Manufacturer ProSci
Amount 0.1 mg
Quantity options 0.02 mg 0.1 mg
Category
Type Antibody Polyclonal
Format Liquid
Applications WB, ICC, ELISA, IHC-P
Specific against Human (Homo sapiens)
Host Rabbit
Isotype IgG
Conjugate/Tag Unconjugated
Citations Masumoto et al. J Biol Chem. 1999;274(48):33835-8.
Masumoto et al. Exp Cell Res. 2001;262(2):128-133.
Conway et al. Cancer Res. 2000;60(22):6236-42
McConnell et al. Cancer Res. 2000;60(22):6243-7. (WD0102)
Dowds et al. Cryopyrin-induced interleukin 1beta secretion in monocytic cells: enhanced activity of disease-associated mutants and requirement for ASC. J Biol Chem. 2004;279(21):21924-8. PMID: 15020601
NCBI PYCARD
ECLASS 10.1 32160702
ECLASS 11.0 32160702
UNSPSC 12352203
Alias ASC Antibody: ASC,TMS,TMS1,CARD5,TMS-1,ASC,Apoptosis-associated speck-like protein containing a CARD,Caspase recruitment domain-containing protein 5,hASC
Shipping Condition Cool pack
Available
Manufacturer - Type
Primary Antibodies
Shipping Temperature
Blue Ice
Storage Conditions
ASC antibody can be stored at 4˚ C for three months and -20˚ C, stable for up to one year. As with all antibodies care should be taken to avoid repeated freeze thaw cycles. Antibodies should not be exposed to prolonged high temperatures.
Molecular Weight
Predicted: 22kD
Observed: 22 kD
Manufacturer - Research Area
Apoptosis
Background
ASC Antibody: Apoptosis is regulated by death domain (DD) and/or caspase recruitment domain (CARD) containing molecules and a caspase family of proteases. CARD containing cell death regulators include RAIDD, RICK, BCL10, Apaf-1, ARC, caspase-9, and caspase-2. A novel CARD domain containing protein was recently identified in human and mouse and designated ASC and TMS1. Ectopic expression of ASC/TMS1 induced apoptosis through activation of caspase-9 and inhibited the survival of human breast cancer cells (3, 4). Overexpression of ASC/TMS1 induced DNA fragmentation. ASC/TMS1 is expressed in a variety of human and mouse tissues.
By Type
Apoptosis, Inflammasomes
Badges
Trial Size, IAV, KD, Most Cited
Modifications
None
Protein Gi #
10801602
Purification
ASC Antibody is affinity chromatography purified via peptide column.
Isoforms
Human ASC has 3 isoforms, including isoform 1 (195aa, 22kD), isoform 2 (176aa, 20kD), and isoform 3 (135aa, 15kD). Mouse ASC has one isoform (193aa, 22kD) and rat ASC also has one isoform (193aa, 22kD). 2287 can detect all human isoforms.
Validation

Independent Antibody Validation in Cell lines (Figure 2) shows similar ASC expression profile in human and mouse cell lines detected by two independent anti-ASC antibodies that recognize different epitopes, 2287 against C-terminus domain and 39-001 against full length human recombinant protein.  ASC proteins are detected in some of tested cell lines at different expression levels by the two independent antibodies. 

Positive Control 1
Positive Control 2
Positive Control 3
Positive Control 4
Concentration
1 mg/mL
Buffer
ASC Antibody is supplied in PBS containing 0.02% sodium azide.
Application Note
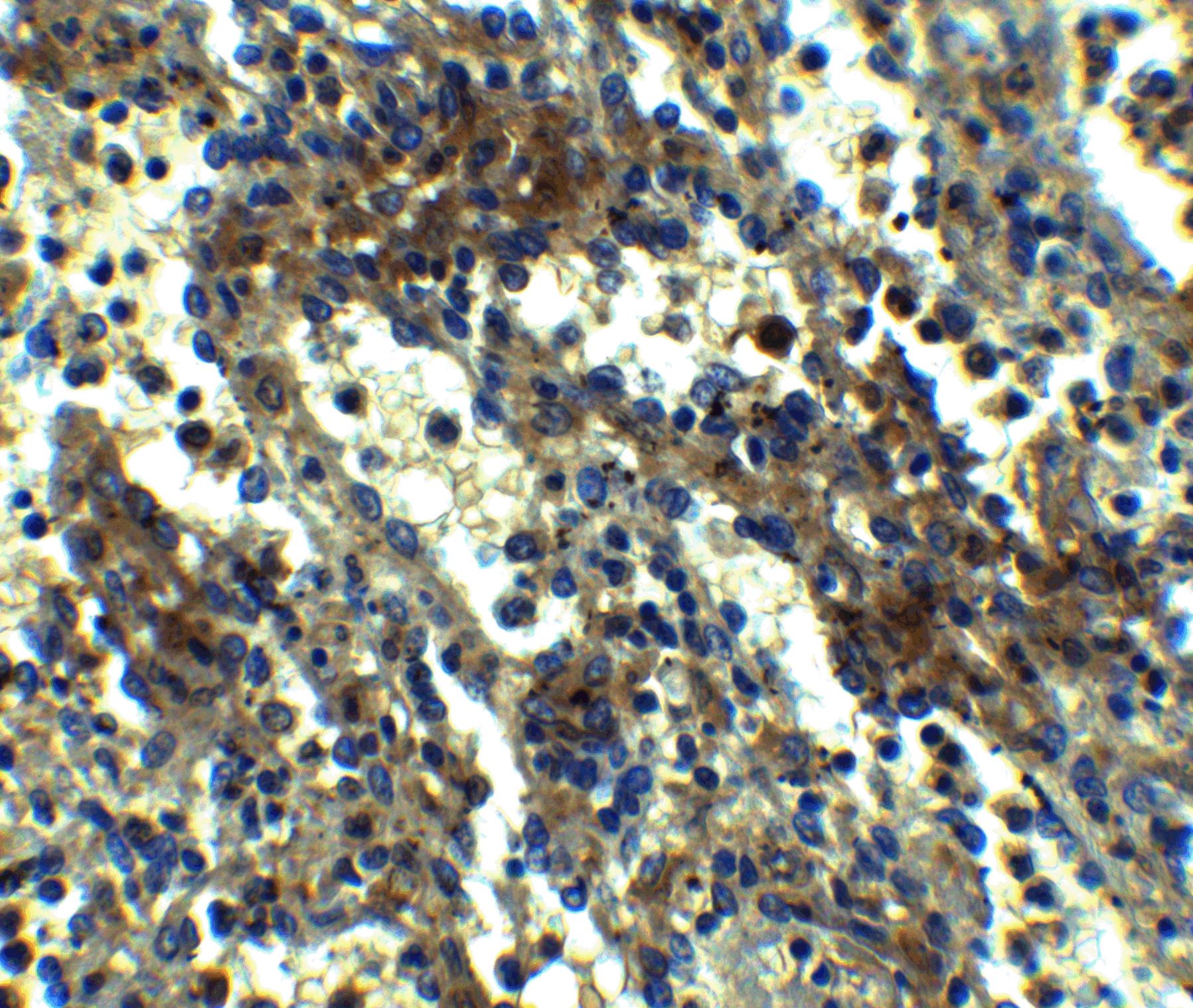
WB: 1-2 μ g/mL; ICC: 5 μ g/mL; IHC-P: 2.5 μ g/mL.
Antibody validated: Western Blot in human samples; Immunocytochemistry in human samples; Immunofluorescence in human samples. All other applications and species not yet tested.
Homology
Predicted species reactivity based on immunogen sequence: Mouse (57%), Rat (57%)
Immunogen
Anti-ASC antibody (2287) was raised against a peptide corresponding to 14 amino acids near the carboxy terminus of human ASC.

The immunogen is located within the last 50 amino acids of ASC.
Clonality
Polyclonal
NCBI Official Name
PYD and CARD domain containing
NCBI Organism
Homo sapiens
Disclaimer
Optimal dilutions/concentrations should be determined by the end user. The information provided is a guideline for product use. This product is for research use only.
User Note
Optimal dilutions for each application to be determined by the researcher.

Note: The presented information and documents (Manual, Product Datasheet, Safety Datasheet and Certificate of Analysis) correspond to our latest update and should serve for orientational purpose only. We do not guarantee the topicality. We would kindly ask you to make a request for specific requirements, if necessary.

All products are intended for research use only (RUO). Not for human, veterinary or therapeutic use.

Amount: 0.1 mg
Available: In stock
available

Compare

Add to wishlist

Get an offer

Request delivery time

Ask a technical question

Submit a bulk request

Questions about this Product?
 
Close