Comparison

Noxa Antibody

Item no. PRS-2437-0.1mg
Manufacturer ProSci
Amount 0.1 mg
Quantity options 0.02 mg 0.1 mg
Category
Type Antibody Polyclonal
Format Liquid
Applications WB, IF, ELISA, IHC-P
Specific against Human (Homo sapiens), Mouse (Murine, Mus musculus), Rat (Rattus norvegicus)
Host Rabbit
Isotype IgG
Conjugate/Tag Unconjugated
Citations Oda E, Ohki R, Murasawa H, et al. Noxa, a BH3-only member of the Bcl-2 family and candidate mediator of p53-induced apoptosis. Science 2000; 288:1053-8.
Nakano K and Vousden KH. PUMA, a novel proapoptotic gene, is induced by p53. Mol. Cell 2001; 7:683-94.
Yu J, Zhang L, Hwang PM, et al. PUMA induces the rapid apoptosis of colorectal cancer cells. Mol. Cell 2001; 7:673-82.
Eferl R, Ricci R, Kenner L, et al. Liver tumor development. c-Jun antagonizes the proapoptotic activity of p53. Cell 2003; 112:181-92.
NCBI Pmaip1
ECLASS 10.1 32160702
ECLASS 11.0 32160702
UNSPSC 12352203
Alias Noxa Antibody: Noxa,Phorbol-12-myristate-13-acetate-induced protein 1
Shipping Condition Cool pack
Available
Manufacturer - Type
Primary Antibodies
Shipping Temperature
Blue Ice
Storage Conditions
Noxa antibody can be stored at 4˚ C for three months and -20˚ C, stable for up to one year. As with all antibodies care should be taken to avoid repeated freeze thaw cycles. Antibodies should not be exposed to prolonged high temperatures.
Manufacturer - Research Area
Apoptosis, Cancer
Background
Noxa Antibody: Apoptosis is related to many diseases and development. The p53 tumor-suppressor protein induces apoptosis through transcriptional activation of several genes including p53R2, p53AIP1, and PUMA. A new p53 target gene, Noxa, was recently identified, which encodes a protein belonging to the subfamily of BH3-only proapoptic proteins. Noxa and PUMA are both transcriptional targets of p53 and BH3-only proteins. X-ray irradiation increased p53-dependent Noxa mRNA and protein levels. Noxa, when ectopically expressed, interacted with anti-apoptotic Bcl-2 family members, resulting in the activation of caspase-9. Noxa, like PUMA, localized to mitochondria and induces apoptosis in response to p53. Noxa and PUMA may represent direct mediators of p53-induced apoptosis. Increased levels of p53 and its target gene Noxa was found in the impaired tumor development.
By Type
Apoptosis, Cancer
Badges
Trial Size, KD, Cell Treatment
Modifications
None
Protein Gi #
10946832
Purification
Noxa Antibody is immunoaffinity chromatography purified IgG.
Positive Control 1
Positive Control 2
Concentration
1 mg/mL
Buffer
Noxa Antibody is supplied in PBS containing 0.02% sodium azide.
Application Note
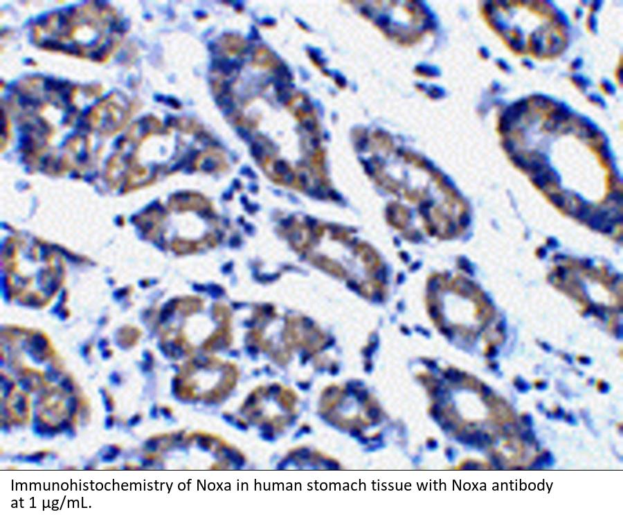
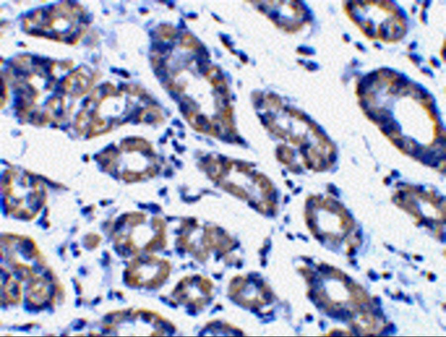
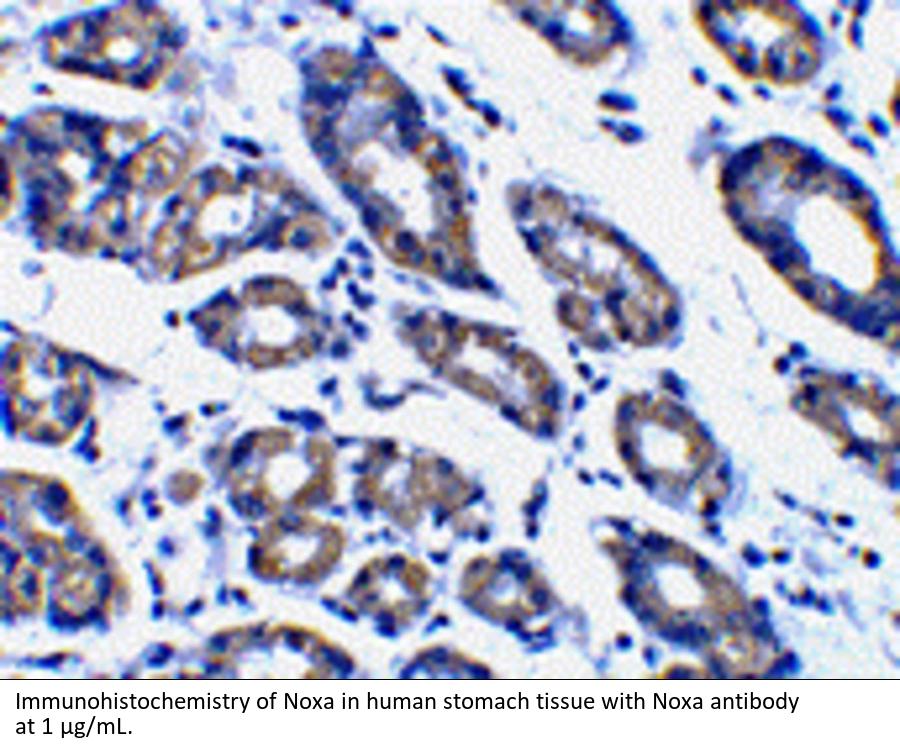
Noxa antibody can be used for detection of Noxa by Western blot at at 0.5 - 2 μ g/mL. Antibody can also be used for immunohistochemistry starting at 1 μ g/mL. For immunofluorescence start at 10 μ g/mL.
Antibody validated: Western Blot in human samples; Immunohistochemistry in human samples and Immunofluorescence in human samples. All other applications and species not yet tested.
Immunogen
Noxa antibody was raised against a synthetic peptide corresponding to 17 amino acids at the amino terminus of mouse Noxa.

The immunogen is located within the first 50 amino acids of Noxa.
Clonality
Polyclonal
NCBI Official Name
phorbol-12-myristate-13-acetate-induced protein 1
NCBI Organism
Homo sapiens
Disclaimer
Optimal dilutions/concentrations should be determined by the end user. The information provided is a guideline for product use. This product is for research use only.
User Note
Optimal dilutions for each application to be determined by the researcher.

Note: The presented information and documents (Manual, Product Datasheet, Safety Datasheet and Certificate of Analysis) correspond to our latest update and should serve for orientational purpose only. We do not guarantee the topicality. We would kindly ask you to make a request for specific requirements, if necessary.

All products are intended for research use only (RUO). Not for human, veterinary or therapeutic use.

Amount: 0.1 mg
Available: In stock
available

Compare

Add to wishlist

Get an offer

Request delivery time

Ask a technical question

Submit a bulk request

Questions about this Product?
 
Close