Comparison

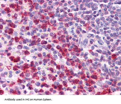
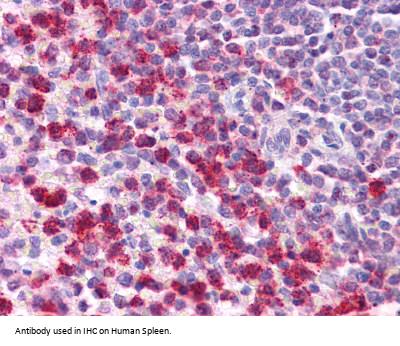
TGFB1 Antibody

Item no. PRS-28-756-100ul
Manufacturer ProSci
Amount 100 ul
Category
Type Antibody Polyclonal
Format Liquid
Applications WB, ELISA
Specific against Mouse (Murine, Mus musculus)
Host Rabbit
Conjugate/Tag Unconjugated
Citations Cheon, S.S., (2006) FASEB J. 20 (6), 692-701.
NCBI TGFB1
ECLASS 10.1 32160702
ECLASS 11.0 32160702
UNSPSC 12352203
Alias TGFB1,Tgfb,Tgfb-1,TGFbeta1,TGF-beta1
Shipping Condition Cool pack
Available
Manufacturer - Type
Primary Antibodies
Shipping Temperature
Blue Ice
Storage Conditions
For short periods of storage (days) store at 4˚ C. For longer periods of storage, store TGFB1 antibody at -20˚ C. As with any antibody avoid repeat freeze-thaw cycles.
Molecular Weight
43 kDa
Manufacturer - Research Area
Transcription , Cancer
Background
Tgfb1 is a multifunctional protein that control proliferation, differentiation, and other functions in many cell types. Many cells synthesize TGFB1 and essentially all of them have specific receptors for this protein. It regulates the actions of many other growth factors and determines a positive or negative direction of their effects. It plays an important role in bone remodelling. It is a potent stimulator of osteoblastic bone formation, causing chemotaxis, proliferation and differentiation in committed osteoblasts.
By Type
Transcription, Cancer
Modifications
None
Protein Gi #
6755775
Purification
Antibody is purified by peptide affinity chromatography method.
Positive Control 1
SP2/0 Cell Lysate
Concentration
batch dependent
Buffer
Purified antibody supplied in 1x PBS buffer with 0.09% (w/v) sodium azide and 2% sucrose.
Application Note
TGFB1 antibody can be used for detection of TGFB1 by ELISA at 1:1562500. TGFB1 antibody can be used for detection of TGFB1 by western blot at 1 μ g/mL, and HRP conjugated secondary antibody should be diluted 1:50, 000 - 100, 000.
Immunogen
Antibody produced in rabbits immunized with a synthetic peptide corresponding a region of mouse TGFB1.
Clonality
Polyclonal
NCBI Official Name
transforming growth factor, beta 1
NCBI Organism
Mus musculus
Disclaimer
This product is for research use only.
User Note
Optimal dilutions for each application to be determined by the researcher.

Note: The presented information and documents (Manual, Product Datasheet, Safety Datasheet and Certificate of Analysis) correspond to our latest update and should serve for orientational purpose only. We do not guarantee the topicality. We would kindly ask you to make a request for specific requirements, if necessary.

All products are intended for research use only (RUO). Not for human, veterinary or therapeutic use.

Amount: 100 ul
Available: In stock
available

Compare

Add to wishlist

Get an offer

Request delivery time

Ask a technical question

Submit a bulk request

Questions about this Product?
 
Close