Comparison

CARMA3 Antibody

Item no. PRS-3193-0.1mg
Manufacturer ProSci
Amount 0.1 mg
Quantity options 0.02 mg 0.1 mg
Category
Type Antibody Polyclonal
Format Liquid
Applications ELISA, IHC-P
Specific against Human (Homo sapiens)
Host Rabbit
Isotype IgG
Conjugate/Tag Unconjugated
Citations Fanning AS and Anderson JM. Protein modules as organizers of membrane structure. Curr. Opin. Cell Biol. 1999; 11:432-9.
Gaide O, Martinon F, Michau O, et al. Carma1, 1 CARD-containing binding partner of Bcl10, induces Bcl10 phosphorylation and NF-kappa B activation. FEBS Lett. 2001; 496:121-7.
Wang L, Guo Y, Huang WJ, et al. Card10 is a novel caspase recruitment domain/membrane-associated guanylate kinase family member that interacts with BCL10 and activates NF-kappaB. J. Biol. Chem. 2001; 276:21405-9.
Jiang T, Grabiner B, Zhu Y, et al. CARMA3 is crucial for EGFR-induced activation of NF-kappaB and tumor progression. Cancer Res. 2011; 71:2183-92.
NCBI CARD10
ECLASS 10.1 32160702
ECLASS 11.0 32160702
UNSPSC 12352203
Alias CARMA3 Antibody: BIMP1,CARMA3,Caspase recruitment domain-containing protein 10,CARD-containing MAGUK protein 3,Carma 3
Shipping Condition Cool pack
Available
Manufacturer - Type
Primary Antibodies
Shipping Temperature
Blue Ice
Storage Conditions
CARMA3 antibody can be stored at 4˚ C for three months and -20˚ C, stable for up to one year. As with all antibodies care should be taken to avoid repeated freeze thaw cycles. Antibodies should not be exposed to prolonged high temperatures.
Manufacturer - Research Area
Apoptosis
Background
CARMA3 Antibody: CARMA proteins belong to the membrane-associated guanylate kinase-like (MAGUK) family of proteins that can function as molecular scaffolds that assist assembly of signal transduction molecules. CARMA1, CARMA2, and CARMA3 share high degrees of sequence and functional homology, but their tissue-specific distribution suggests that they serve distinct biological functions in different cell types. As with CARMA1, the CARD domain of CARMA3 has been shown to specifically interact with BCL10, a protein known to function as a positive regulator of cell apoptosis and NF-κ B activation. When expressed in cells, this protein binds to BCL10 and activates NF-κ B Recent experiments have shown that CARMA3 is required for EGF-induced NF-κ B activation and contributes to tumor growth in vivo, suggesting that CARMA3 may serve as a new therapeutic target for the treatment of EGFR-driven tumors.
By Type
Apoptosis
Badges
Trial Size
Modifications
None
Protein Gi #
51093861
Purification
CARMA3 Antibody is affinity chromatography purified via peptide column.
Positive Control 1
Concentration
1 mg/mL
Buffer
CARMA3 Antibody is supplied in PBS containing 0.02% sodium azide.
Application Note
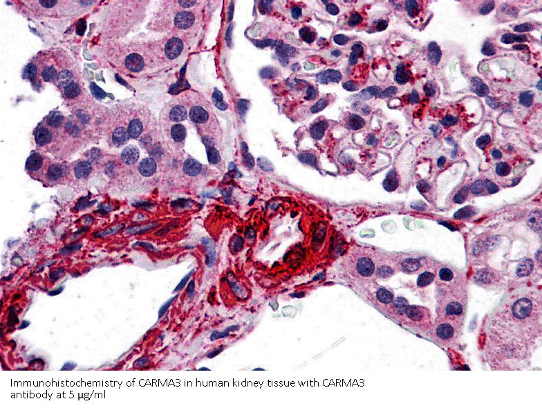
CARMA3 antibody can be used for detection of CARMA3 by immunohistochemistry at 5 μ g/mL.
Antibody validated: Immunohistochemistry in human samples. All other applications and species not yet tested.
Homology
Predicted species reactivity based on immunogen sequence: Mouse: (81%)
Manufacturer - Specificity
CARMA3 antibody is human specific. At least three isoforms of CARMA3 are known to exist; this antibody will only detect isoform 1. CARMA3 antibody is predicted not to cross-react with other CARMA proteins.
Immunogen
CARMA3 antibody was raised against a 16 amino acid synthetic peptide near the amino terminus of human CARMA3.

The immunogen is located within the first 50 amino acids of CARMA3.
Clonality
Polyclonal
NCBI Official Name
caspase recruitment domain family, member 10
NCBI Organism
Homo sapiens
Disclaimer
Optimal dilutions/concentrations should be determined by the end user. The information provided is a guideline for product use. This product is for research use only.
User Note
Optimal dilutions for each application to be determined by the researcher.

Note: The presented information and documents (Manual, Product Datasheet, Safety Datasheet and Certificate of Analysis) correspond to our latest update and should serve for orientational purpose only. We do not guarantee the topicality. We would kindly ask you to make a request for specific requirements, if necessary.

All products are intended for research use only (RUO). Not for human, veterinary or therapeutic use.

Amount: 0.1 mg
Available: In stock
available

Compare

Add to wishlist

Get an offer

Request delivery time

Ask a technical question

Submit a bulk request

Questions about this Product?
 
Close