Comparison

RIPK1 Antibody

Item no. PRS-3291-0.1mg
Manufacturer ProSci
Amount 0.1 mg
Quantity options 0.02 mg 0.1 mg
Category
Type Antibody Polyclonal
Format Liquid
Applications ELISA, IHC-P
Specific against Human (Homo sapiens)
Host Rabbit
Isotype IgG
Conjugate/Tag Unconjugated
Citations Stanger BZ, Leder P, Lee TH, et al. RIP: a novel protein containing a death domain that interacts with Fas/APO-1 (CD95) in yeast and causes cell death. Cell 1995; 81:513-23.
Hsu H, Huang J, Shu HB, et al. TNF-dependent recruitment of the protein kinase RIP to the TNF receptor-1 signaling complex. Immunity 1996; 4:387-96.
Meylan E, Burns K, Hofmann K, et al. RIP1 is an essential mediator of Toll-like receptor 3-induced NF-kappa B activation. Nat. Immunol.; 2004; 5:503-7.
Festjens N, Vanden Bergh T, Cornelis S, et al. RIP1, a kinase on the crossroads of a cell's decision to live or die. Cell Death Differ. 2007;14:400-10.
NCBI RIPK1
ECLASS 10.1 32160702
ECLASS 11.0 32160702
UNSPSC 12352203
Alias RIPK1 Antibody: RIP,RIP1,RIP,Cell death protein RIP,RIP-1
Shipping Condition Cool pack
Available
Manufacturer - Type
Primary Antibodies
Shipping Temperature
Blue Ice
Storage Conditions
RIPK1 antibody can be stored at 4˚ C for three months and -20˚ C, stable for up to one year.
Molecular Weight
Predicted: 74 kDa
Manufacturer - Research Area
Apoptosis
Background
RIP1 Antibody: RIP1 (Receptor Interacting Protein), also known as RIPK1, is a crucial 74 kD adaptor kinase in several of stress-induced signaling pathways and on the crossroad of a cell's decision to live or die. RIP1 contains an N-terminal region with homology to protein kinases, an intermediate domain capable of association with MAPKKK and a C-terminal region containing a death domain motif present in the Fas and TNFR1 intracellular domains. Full length RIP1 is important for signallling to NF-kappa-B, MAPKs and necrosis, whereas caspase-8 generates a C-terminal RIP1 cleavage fragment, promoting TNF-induced apoptosis. It is required for TNFRSF1A-mediated and TLR3-induced NF-kappa-B activation. RIP1-deficient mice fail to thrive, displaying extensive apoptosis in both lymphoid and adipose tissues and dying at 1-3 days of age.
By Type
Apoptosis
Badges
Trial Size
Modifications
None
Protein Gi #
57242761
Purification
RIPK1 Antibody is affinity chromatography purified via peptide column.
Concentration
1 mg/mL
Buffer
RIPK1 Antibody is supplied in PBS containing 0.02% sodium azide.
Application Note
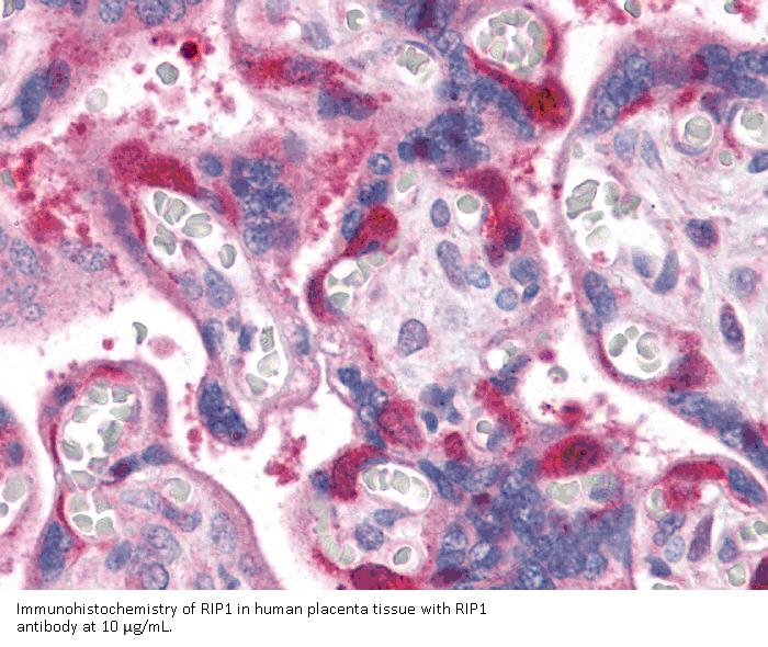
RIPK1 antibody can be used for detection of RIP1 by immunohistochemistry at 5 - 10 μ g/mL.
Antibody validated: Immunohistochemistry in human samples. All other applications and species not yet tested.
Homology
Predicted species reactivity based on immunogen sequence: Mouse: (100%)
Immunogen
RIPK1 antibody was raised against a 14 amino acid peptide near the carboxy terminus of human RIP1.

The immunogen is located within amino acids 600 - 650 of RIPK1.
Clonality
Polyclonal
NCBI Official Name
receptor (TNFRSF)-interacting serine-threonine kinase 1
NCBI Organism
homo sapiens
Disclaimer
Optimal dilutions/concentrations should be determined by the end user. The information provided is a guideline for product use. This product is for research use only.
User Note
Optimal dilutions for each application to be determined by the researcher.

Note: The presented information and documents (Manual, Product Datasheet, Safety Datasheet and Certificate of Analysis) correspond to our latest update and should serve for orientational purpose only. We do not guarantee the topicality. We would kindly ask you to make a request for specific requirements, if necessary.

All products are intended for research use only (RUO). Not for human, veterinary or therapeutic use.

Amount: 0.1 mg
Available: In stock
available

Compare

Add to wishlist

Get an offer

Request delivery time

Ask a technical question

Submit a bulk request

Questions about this Product?
 
Close