Comparison

Bid Antibody

Item no. PRS-3353-0.02mg
Manufacturer ProSci
Amount 0.02 mg
Quantity options 0.02 mg 0.1 mg
Category
Type Antibody Polyclonal
Format Liquid
Applications WB, IF, ELISA, IHC-P
Specific against Human (Homo sapiens), Mouse (Murine, Mus musculus)
Host Rabbit
Isotype IgG
Conjugate/Tag Unconjugated
Citations Lockshin RA, Osborne B, and Zakeri Z. Cell death in the third millennium. Cell Death Differ. 2000; 7:2-7.
Cory S, Huang DCS, and Adams JM. The Bcl-2 family: roles in cell survival and oncogenesis. Oncogene 2003; 22:8590-607.
Heiser D, Labi V, Erlacher M, et al. The Bcl-2 protein family and its role in the development of neoplastic disease. Exp. Geron. 2004; 39:1125-35.
Wang K, Yin XM, Chao DT, et al. BID: a novel BH3 domain-only death agonist. Genes Dev. 1996; 10:2859-69.
NCBI BID
ECLASS 10.1 32160702
ECLASS 11.0 32160702
UNSPSC 12352203
Alias Bid Antibody: FP497,BH3-interacting domain death agonist,p22 BID,BID
Shipping Condition Cool pack
Available
Manufacturer - Type
Primary Antibodies
Shipping Temperature
Blue Ice
Storage Conditions
Bid antibody can be stored at 4˚ C for three months and -20˚ C, stable for up to one year. As with all antibodies care should be taken to avoid repeated freeze thaw cycles. Antibodies should not be exposed to prolonged high temperatures.
Manufacturer - Research Area
Apoptosis, Cancer
Background
Bid Antibody: Apoptosis plays a major role in normal organism development, tissue homeostasis, and removal of damaged cells. Disruption of this process has been implicated in a variety of diseases such as cancer. The Bcl-2 family of proteins is comprised of critical regulators of apoptosis that can be divided into two classes: those that inhibit apoptosis and those that promote cell death. Bid, a pro-apoptotic Bcl-2 family member, is cleaved by caspase-8 in response to apoptotic signals, exposing the Bcl-2 homology 3 (BH3) domain which is normally buried in the full-length protein. The cleaved complex is myris-toylated and translocated to the mitochondrial membrane where it may induce mitochondrial Bax and Bak to oligomerize.
By Type
Apoptosis, Cancer
Badges
Trial Size
Modifications
None
Protein Gi #
54673639
Purification
Bid Antibody is Ion exchange chromatography purified.
Positive Control 1
Concentration
1 mg/mL
Buffer
Bid Antibody is supplied in PBS containing 0.02% sodium azide.
Application Note
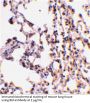
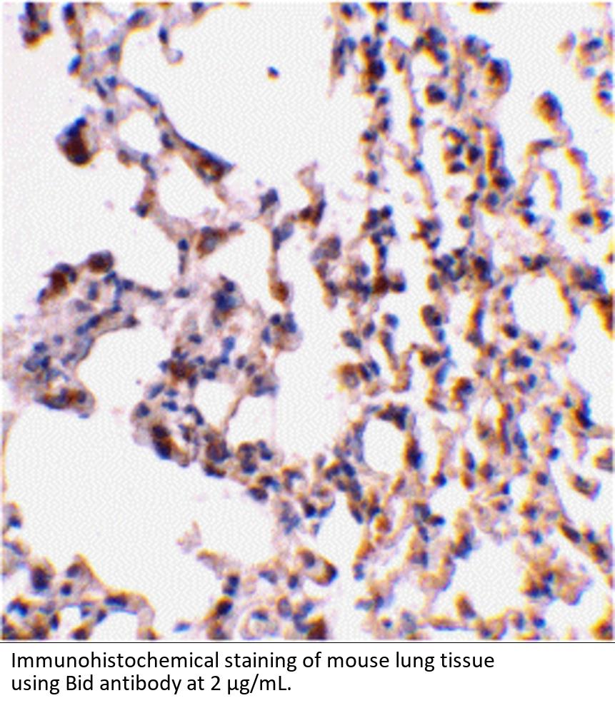
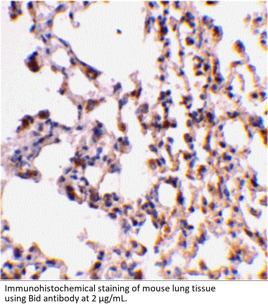
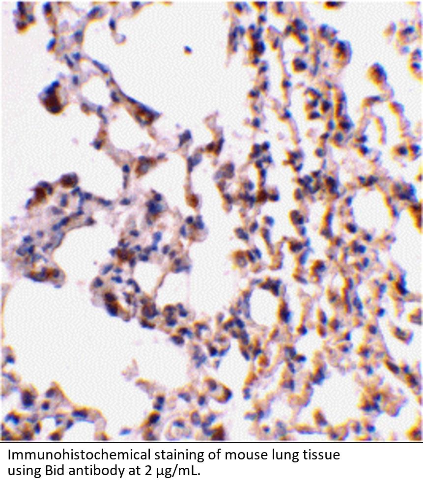
Bid antibody can be used for detection of Bid by Western blot at 0.5 to 2 μ g/mL. Antibody can also be used for immunohistochemistry starting at 2 μ g/mL. For immunofluorescence start at 10 μ g/mL.
Antibody validated: Western Blot in mouse samples; Immunohistochemistry in mouse samples and Immunofluorescence in mouse samples. All other applications and species not yet tested.
Immunogen
Bid antibody was raised against a peptide corresponding to 14 amino acids near the carboxy terminus of human Bid.

The immunogen is located within amino acids 120 - 170 of Bid.
Clonality
Polyclonal
NCBI Official Name
BH3 interacting domain death agonist
NCBI Organism
Homo sapiens
Disclaimer
Optimal dilutions/concentrations should be determined by the end user. The information provided is a guideline for product use. This product is for research use only.
User Note
Optimal dilutions for each application to be determined by the researcher.

Note: The presented information and documents (Manual, Product Datasheet, Safety Datasheet and Certificate of Analysis) correspond to our latest update and should serve for orientational purpose only. We do not guarantee the topicality. We would kindly ask you to make a request for specific requirements, if necessary.

All products are intended for research use only (RUO). Not for human, veterinary or therapeutic use.

Amount: 0.02 mg
Available: In stock
available

Compare

Add to wishlist

Get an offer

Request delivery time

Ask a technical question

Submit a bulk request

Questions about this Product?
 
Close