Comparison

PIST Antibody

Item no. PRS-3631-0.02mg
Manufacturer ProSci
Amount 0.02 mg
Quantity options 0.02 mg 0.1 mg
Category
Type Antibody Polyclonal
Format Liquid
Applications WB, IF, ELISA, IHC-P
Specific against Human (Homo sapiens), Mouse (Murine, Mus musculus), Rat (Rattus norvegicus)
Host Rabbit
Isotype IgG
Conjugate/Tag Unconjugated
Citations Gozuacik D and Kimchi A. Autophagy as a cell death and tumor suppressor mechanism. Oncogene. 2004; 23:2891-906.
Kisen GO, Tessitore L, Costelli P, et al. Reduced autophagic activity in primary rat hepatocellular carcinoma and ascites hepatoma cells.Carcinogenesis 1993; 14:2501-5.
Kamada Y, Funakoshi T, Shintani T, et al. Tor-mediated induction of autophagy via Apg1 protein kinase complex. J. Cell. Biol. 2000; 150:1507-13.
Yu Z, Horton A, Bravin M, et al. A novel protein complex linking the δ2 glutamate receptor and autophagy: implications for neurodegeneration in Lurcher mice. Neuron 2002; 35:921-33.
NCBI GOPC
ECLASS 10.1 32160702
ECLASS 11.0 32160702
UNSPSC 12352203
Alias PIST Antibody: CAL,FIG,PIST,GOPC1,dJ94G16.2,CAL,Golgi-associated PDZ and coiled-coil motif-containing protein,CFTR-associated ligand
Shipping Condition Cool pack
Available
Manufacturer - Type
Primary Antibodies
Shipping Temperature
Blue Ice
Storage Conditions
PIST antibody can be stored at 4˚ C for three months and -20˚ C, stable for up to one year. As with all antibodies care should be taken to avoid repeated freeze thaw cycles. Antibodies should not be exposed to prolonged high temperatures.
Manufacturer - Research Area
Apoptosis, Autophagy
Background
PIST Antibody: Autophagy, the process of bulk degradation of cellular proteins through an autophagosomic-lysosomal pathway is important for normal growth control and may be defective in tumor cells. It is involved in the preservation of cellular nutrients under starvation conditions as well as the normal turnover of cytosolic components and is negatively regulated by TOR (Target of rapamycin). PIST, a PDZ-containing protein, was discovered in a yeast two-hybrid system as a binding partner to Beclin-1, a Bcl-2-interacting protein homologous to the yeast autophagy gene apg6. Experiments with mutant PIST proteins lacking the PDZ domain showed that PIST interaction with Beclin-1 through its coiled-coil domain can modulate Beclin-1 activity and suggest that PIST interactions with other proteins through its PDZ domain may regulate the activity of PIST and Beclin-1.
By Type
Apoptosis, Autophagy
Badges
Trial Size
Modifications
None
Protein Gi #
9837431
Purification
PIST Antibody is affinity chromatography purified via peptide column.
Positive Control 1
Concentration
1 mg/mL
Buffer
PIST Antibody is supplied in PBS containing 0.02% sodium azide.
Application Note
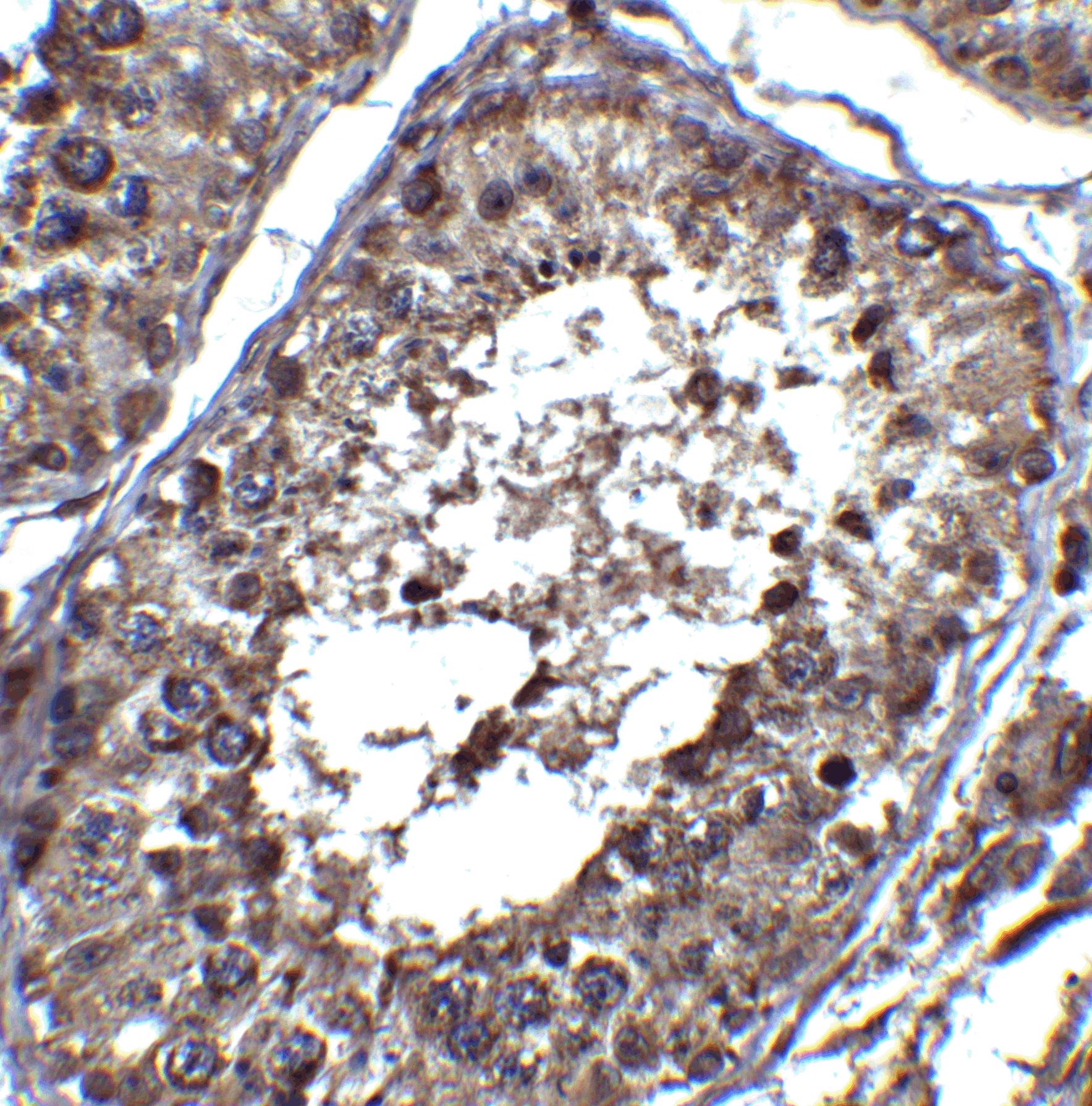
PIST antibody can be used for the detection of PIST by Western blot at 1 - 4 μ g/mL. Antibody can also be used for immunohistochemistry starting at 2 μ g/mL. For immunofluorescence start at 10 μ g/mL.
Antibody validated: Western Blot in rat samples; Immunohistochemistry in human and rat samples and Immunofluorescence in human and rat samples. All other applications and species not yet tested.
Immunogen
PIST antibody was raised against a 16 amino acid synthetic peptide from near the carboxy terminus of human PIST.

The immunogen is located within amino acids 360 - 410 of PIST.
Clonality
Polyclonal
NCBI Official Name
golgi associated PDZ and coiled-coil motif containing
NCBI Organism
Homo sapiens
Disclaimer
Optimal dilutions/concentrations should be determined by the end user. The information provided is a guideline for product use. This product is for research use only.
User Note
Optimal dilutions for each application to be determined by the researcher.

Note: The presented information and documents (Manual, Product Datasheet, Safety Datasheet and Certificate of Analysis) correspond to our latest update and should serve for orientational purpose only. We do not guarantee the topicality. We would kindly ask you to make a request for specific requirements, if necessary.

All products are intended for research use only (RUO). Not for human, veterinary or therapeutic use.

Amount: 0.02 mg
Available: In stock
available

Compare

Add to wishlist

Get an offer

Request delivery time

Ask a technical question

Submit a bulk request

Questions about this Product?
 
Close