Comparison

LSD1 Antibody

Item no. PRS-3763-0.02mg
Manufacturer ProSci
Amount 0.02 mg
Quantity options 0.02 mg 0.1 mg
Category
Type Antibody Polyclonal
Format Liquid
Applications WB, IF, ELISA, IHC-P
Specific against Human (Homo sapiens), Mouse (Murine, Mus musculus), Rat (Rattus norvegicus)
Host Rabbit
Isotype IgG
Conjugate/Tag Unconjugated
Citations Shi et al. Cell 2004; 119:941-53.
Kouzarides et al. Curr. Opin. Genet. Dev. 2002; 12:198-209.
Shi et al. Mol. Cell 2005; 19:857-64.
Nakamura et al. Mol. Cell 2002; 10:1119-28.
NCBI KDM1A
ECLASS 10.1 32160702
ECLASS 11.0 32160702
UNSPSC 12352203
Alias LSD1 Antibody: AOF2,KDM1,LSD1,BHC110,AOF2,KIAA0601,Lysine-specific histone demethylase 1A,BRAF35-HDAC complex protein BHC110
Shipping Condition Cool pack
Available
Manufacturer - Type
Primary Antibodies
Shipping Temperature
Blue Ice
Storage Conditions
LSD1 antibody can be stored at 4˚ C for three months and -20˚ C, stable for up to one year. As with all antibodies care should be taken to avoid repeated freeze thaw cycles. Antibodies should not be exposed to prolonged high temperatures.
Molecular Weight
Predicted: 93kD
Observed: 110 kD
Manufacturer - Research Area
Homeostasis, Apoptosis
Background
LSD1 Antibody: Histone modifications mediate changes in gene expression by altering chromatin structure or by serving as a platform to recruit other proteins. LSD1 is a recently discovered amine oxidase that catalyzes the lysine-specific demethylation of histone proteins via an FAD-dependent oxidative reaction. Methylation on histone H3-K9 is thought to play an important role in heterochromatin formation, while methylation on arginine and some lysine residues (such as H3-K4) is associated with active transcription. LSD1 associates with various proteins, including HDAC1/2, CoREST, and BHC80, that act to regulate LSD1 activity in vivo, and in a histone H3-K4-specific methylase complex that is involved in transcriptional regulation. Experiments have shown that CoREST, a SANT domain-containing corepressor acts to enhance LSD1 activity, while BHC80, a PHD domain-containing protein, inhibits CoREST/LSD1 activity in vitro. LSD1-mediated histone demethylation thus may have significant effects on gene expression.
By Type
Homeostasis, Apoptosis
Badges
Trial Size, IAV
Modifications
None
Protein Gi #
58761544
Purification
LSD1 Antibody is affinity chromatography purified via peptide column.
Isoforms
Human LSD1 has 2 isoforms, including isoform 1 (852aa, 93kD) and isoform 2 (876aa, 95kD). Mouse LSD1 has one isoform (853aa, 93kD) and Rat LSD1 also has one isoform (872aa, 95kD). 3763 can detect all isoforms of human, mouse and rat.
Validation

Independent Antibody Validation in Cell lines (Figure 2) shows similar LSD1 expression profile in human and mouse cell lines detected by two independent anti-LSD1 antibodies that recognize different epitopes, 3761 against N-terminus domain and 3763 against central domain. LSD1 proteins are detected in the most tested cell lines that include mouse (3T3/NIH) and rat cell lines (YB2/0) at different expression levels by the two independent antibodies.

Positive Control 1
Positive Control 2
Positive Control 3
Concentration
1 mg/mL
Buffer
LSD1 Antibody is supplied in PBS containing 0.02% sodium azide.
Application Note
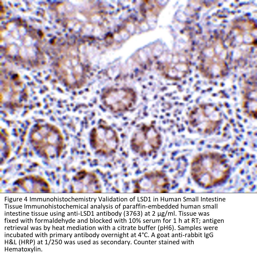
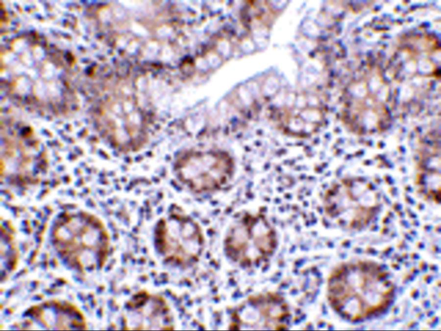
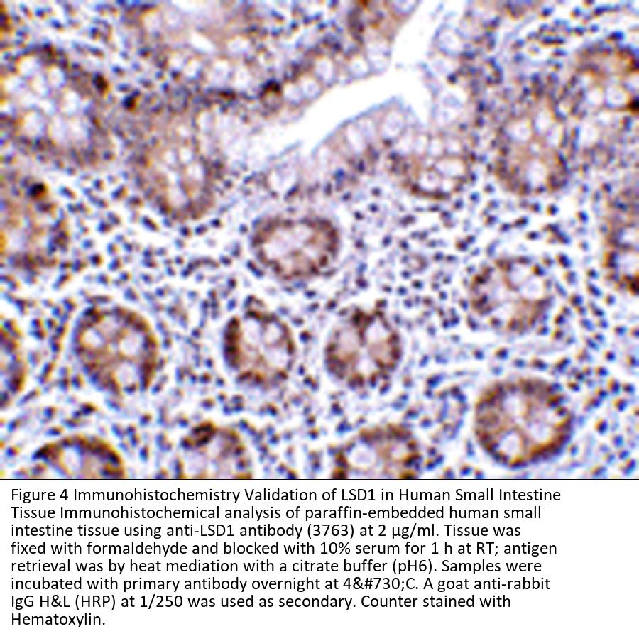
WB: 0.2 - 2 μ g/mL; IHC-P: 2 μ g/mL; IF: 20 μ g/mL
Antibody validated: Western Blot in human, mouse and rat samples; Immunohistochemistry and Immunofluorescence in human samples. All other applications and species not yet tested.
Immunogen
Anti-LSD1 antibody (3763) was raised against a peptide corresponding to 16 amino acids near the center of human LSD1.

The immunogen is located within amino acids 140-190 of LSD1.
Clonality
Polyclonal
NCBI Official Name
lysine demethylase 1A
NCBI Organism
Homo sapiens
Disclaimer
Optimal dilutions/concentrations should be determined by the end user. The information provided is a guideline for product use. This product is for research use only.
User Note
Optimal dilutions for each application to be determined by the researcher.

Note: The presented information and documents (Manual, Product Datasheet, Safety Datasheet and Certificate of Analysis) correspond to our latest update and should serve for orientational purpose only. We do not guarantee the topicality. We would kindly ask you to make a request for specific requirements, if necessary.

All products are intended for research use only (RUO). Not for human, veterinary or therapeutic use.

Amount: 0.02 mg
Available: In stock
available

Compare

Add to wishlist

Get an offer

Request delivery time

Ask a technical question

Submit a bulk request

Questions about this Product?
 
Close