Comparison

ATG5 Antibody

Item no. PRS-4441-0.02mg
Manufacturer ProSci
Amount 0.02 mg
Quantity options 0.02 mg 0.1 mg
Category
Type Antibody Polyclonal
Format Liquid
Applications WB, IF, ELISA, IHC-P
Specific against Human (Homo sapiens), Mouse (Murine, Mus musculus), Rat (Rattus norvegicus)
Host Rabbit
Isotype IgG
Conjugate/Tag Unconjugated
Citations Gozuacik and Kimchi. Oncogene 2004; 23:2891-906.
Kisen et al. Carcinogenesis 1993; 14:2501-5.
Kamada et al. J. Cell. Biol. 2000; 150:1507-13.
Hanada et al. J. Biol. Chem.2007; 282:37298-302.
NCBI ATG5
ECLASS 10.1 32160702
ECLASS 11.0 32160702
UNSPSC 12352203
Alias ATG5 Antibody: ASP,APG5,APG5L,hAPG5,APG5-LIKE
Shipping Condition Cool pack
Available
Manufacturer - Type
Primary Antibodies
Shipping Temperature
Blue Ice
Storage Conditions
ATG5 antibody can be stored at 4˚ C for three months and -20˚ C, stable for up to one year. As with all antibodies care should be taken to avoid repeated freeze thaw cycles. Antibodies should not be exposed to prolonged high temperatures.
Manufacturer - Research Area
Autophagy
Background
ATG5 Antibody: Autophagy, the process of bulk degradation of cellular proteins through an autophagosomic-lysosomal pathway is important for normal growth control and may be defective in tumor cells. It is involved in the preservation of cellular nutrients under starvation conditions as well as the normal turnover of cytosolic components. This process is negatively regulated by TOR (Target of rapamycin) through phosphorylation of autophagy protein APG1. ATG5, another member of the autophagy protein family, forms a conjugate with ATG12; this conjugate has a ubiquitin-protein ligase (E3)-like activity for protein lipidation in autophagy. This conjugate also associates with innate immune response proteins such as RIG-I and VISA (also known as IPS-1), inhibiting type I interferon production and permitting viral replication in host cells.
By Type
Autophagy
Badges
Trial Size
Modifications
None
Protein Gi #
119568800
Purification
ATG5 Antibody is affinity chromatography purified via peptide column.
Positive Control 1
Positive Control 2
Concentration
1 mg/mL
Buffer
ATG5 Antibody is supplied in PBS containing 0.02% sodium azide.
Application Note
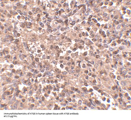
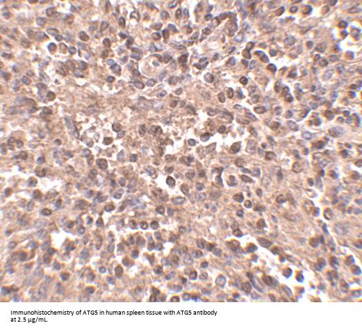
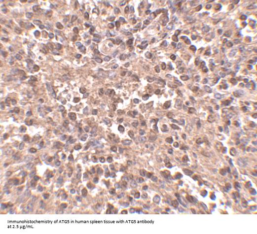
ATG5 antibody can be used for the detection of ATG5 by Western blot at 1 - 2 μ g/mL. Antibody can also be used for immunohistochemistry starting at 2.5 μ g/mL. For immunofluorescence start at 5 μ g/mL.
Antibody validated: Western Blot in rat samples; Immunohistochemistry in human samples and Immunofluorescence in human samples. All other applications and species not yet tested.
Homology
Predicted species reactivity based on immunogen sequence: Bovine: (94%), Pig: (94%)
Manufacturer - Specificity
Three isoforms of ATG5 are known to exist; this ATG5 antibody will only detect the longest isoform.
Immunogen
ATG5 antibody was raised against a 16 amino acid synthetic peptide from near the amino terminus of human ATG5.

The immunogen is located within the first 50 amino acids of ATG5.
Clonality
Polyclonal
NCBI Official Name
ATG5 autophagy related 5 homolog (S. cerevisiae)
NCBI Organism
Homo sapiens
Disclaimer
Optimal dilutions/concentrations should be determined by the end user. The information provided is a guideline for product use. This product is for research use only.
User Note
Optimal dilutions for each application to be determined by the researcher.

Note: The presented information and documents (Manual, Product Datasheet, Safety Datasheet and Certificate of Analysis) correspond to our latest update and should serve for orientational purpose only. We do not guarantee the topicality. We would kindly ask you to make a request for specific requirements, if necessary.

All products are intended for research use only (RUO). Not for human, veterinary or therapeutic use.

Amount: 0.02 mg
Available: In stock
available

Compare

Add to wishlist

Get an offer

Request delivery time

Ask a technical question

Submit a bulk request

Questions about this Product?
 
Close