Comparison

Ambra1 Antibody

Item no. PRS-4555-0.02mg
Manufacturer ProSci
Amount 0.02 mg
Quantity options 0.02 mg 0.1 mg
Category
Type Antibody Polyclonal
Format Liquid
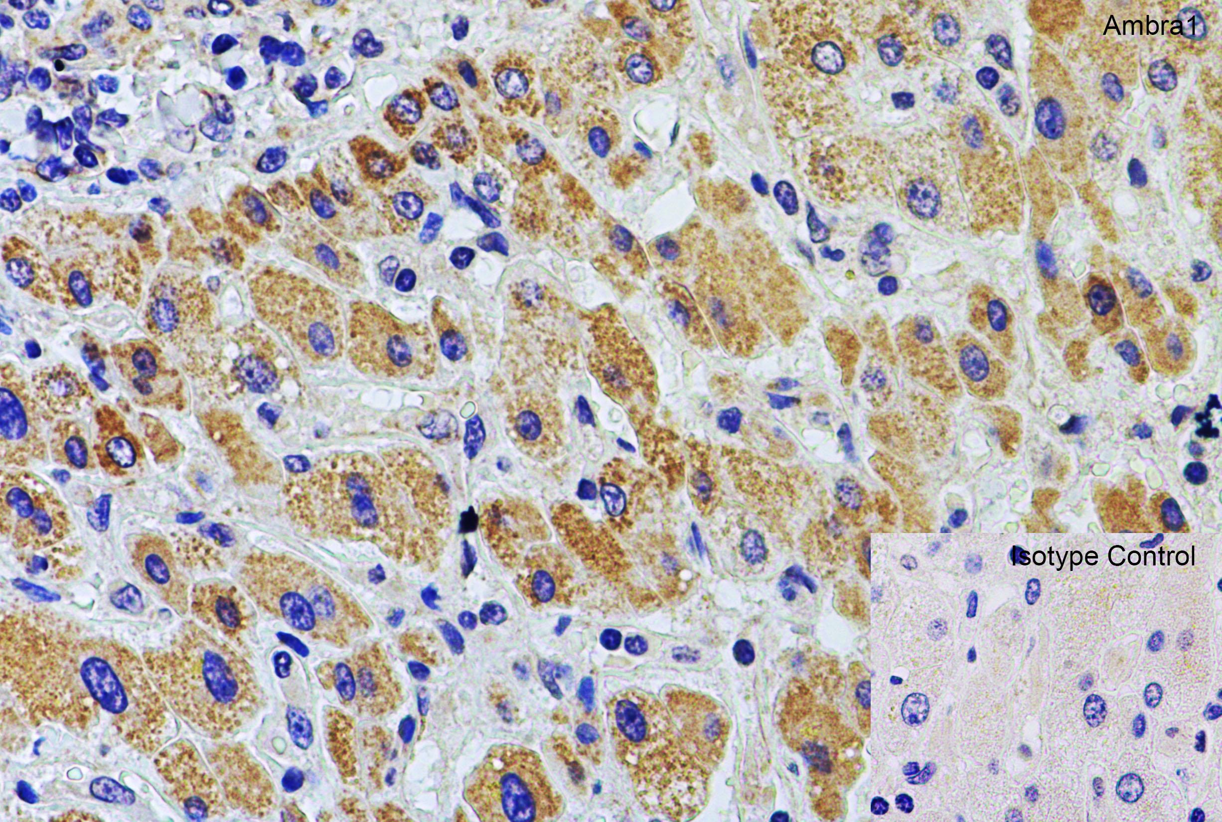
Applications WB, ICC, ELISA, IHC-P
Specific against Human (Homo sapiens), Mouse (Murine, Mus musculus), Rat (Rattus norvegicus)
Host Rabbit
Isotype IgG
Conjugate/Tag Unconjugated
Citations Gozuacik D and Kimchi A. Autophagy as a cell death and tumor suppressor mechanism. Oncogene2004; 23:2891-906.
Kisen GO, Tessitore L, Costelli P, et al. Reduced autophagic activity in primary rat hepatocellular carcinoma and ascites hepatoma cells. Carcinogenesis1993; 14:2501-5.
Liang XH, Jackson S, Seaman M, et al. Induction of autophagy and inhibition of tumorigenesis by beclin 1. Nature1999; 402:672-6.
Fimia GM, Stoykova A, Romagnoli A, et al. Ambra1 regulates autophagy and development of the nervous system. Nature2007; 447:1121-5.
NCBI AMBRA1
ECLASS 10.1 32160702
ECLASS 11.0 32160702
UNSPSC 12352203
Alias Ambra1 Antibody: DCAF3,WDR94,KIAA1736,Activating molecule in BECN1-regulated autophagy protein 1
Shipping Condition Cool pack
Available
Manufacturer - Type
Primary Antibodies
Shipping Temperature
Blue Ice
Storage Conditions
Ambra1 antibody can be stored at 4˚ C for three months and -20˚ C, stable for up to one year. As with all antibodies care should be taken to avoid repeated freeze thaw cycles. Antibodies should not be exposed to prolonged high temperatures.
Molecular Weight
Predicted: 143kD

Observed: 143 kD
Manufacturer - Research Area
Autophagy
Background
Ambra1 Antibody: Autophagy, the process of bulk degradation of cellular proteins through an autophagosomic-lysosomal pathway is important for normal growth control and may be defective in tumor cells. It is involved in the preservation of cellular nutrients under starvation conditions as well as the normal turnover of cytosolic components. Beclin-1, a principal regulator of autophagosome formation, is in turn regulated by Ambra1. Ambra1 associates with Beclin-1 through a region near its center as determined by yeast two-hybrid assay. Null mutations in this gene in mice resulted in embryonic lethality with severe neural tube defects associated with autophagy impairment, accumulation of ubiquitinated proteins, unbalanced cell proliferation and excessive apoptotic death. Furthermore, down-regulation of Ambra1 in cultured cells though RNA interference decreased the level of rapamycin- and nutrient starvation-induced autophagy. Multiple isoforms of Ambra1 are known to exist.
By Type
Autophagy
Badges
Trial Size
Modifications
None
Protein Gi #
166215833
Purification
Ambra1 Antibody is affinity chromatography purified via peptide column.
Positive Control 1
Positive Control 2
Concentration
1 mg/mL
Buffer
Ambra1 Antibody is supplied in PBS containing 0.02% sodium azide.
Application Note
WB: 1-2 μ g/mL; IHC: 1-5 μ g/mL; IF: 20 μ g/mL.

Antibody validated: Western Blot in human and mouse samples; Immunocytochemistry and Immunofluorescence in human samples. All other applications and species not yet tested.
Homology
Predicted species reactivity based on immunogen sequence: Horse (98%), Pig (97%)
Immunogen
Ambra1 antibody was raised against a 15 amino acid synthetic peptide from near the carboxy terminus of human Ambra1.

The immunogen is located within the last 50 amino acids of Ambra1.
Clonality
Polyclonal
NCBI Official Name
autophagy/beclin-1 regulator 1
NCBI Organism
Homo sapiens
Disclaimer
Optimal dilutions/concentrations should be determined by the end user. The information provided is a guideline for product use. This product is for research use only.
User Note
Optimal dilutions for each application to be determined by the researcher.

Note: The presented information and documents (Manual, Product Datasheet, Safety Datasheet and Certificate of Analysis) correspond to our latest update and should serve for orientational purpose only. We do not guarantee the topicality. We would kindly ask you to make a request for specific requirements, if necessary.

All products are intended for research use only (RUO). Not for human, veterinary or therapeutic use.

Amount: 0.02 mg
Available: In stock
available

Compare

Add to wishlist

Get an offer

Request delivery time

Ask a technical question

Submit a bulk request

Questions about this Product?
 
Close