Comparison

CLPH Antibody

Item no. PRS-5497-0.02mg
Manufacturer ProSci
Amount 0.02 mg
Quantity options 0.02 mg 0.1 mg
Category
Type Antibody Polyclonal
Format Liquid
Applications WB, ELISA, IHC-P
Specific against Human (Homo sapiens), Rat (Rattus norvegicus)
Host Rabbit
Isotype IgG
Conjugate/Tag Unconjugated
Citations Calvel P, Kervarrec C, Lavigne R, et al. CLPH, a novel casein kinase 2-phosphorylated disordered protein, is specifically associated with postmeiotic germ cells in rat spermatogenesis. J. Proteome Res.2009; 8:2953-65.
NCBI CABS1
ECLASS 10.1 32160702
ECLASS 11.0 32160702
UNSPSC 12352203
Alias CLPH Antibody: CLPH,C4orf35,NYD-SP26,Calcium-binding and spermatid-specific protein 1,Testis development protein NYD-SP26
Shipping Condition Cool pack
Available
Manufacturer - Type
Primary Antibodies
Shipping Temperature
Blue Ice
Storage Conditions
CLPH antibody can be stored at 4˚ C for three months and -20˚ C, stable for up to one year. As with all antibodies care should be taken to avoid repeated freeze thaw cycles. Antibodies should not be exposed to prolonged high temperatures.
Manufacturer - Research Area
Stem Cell
Background
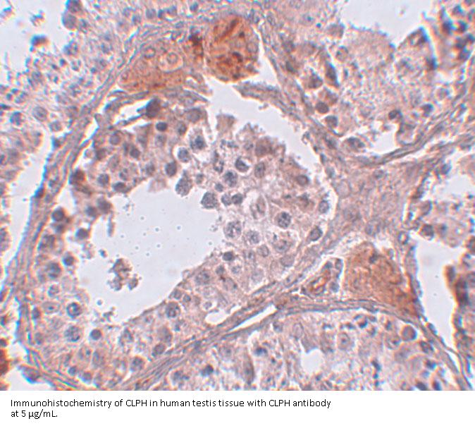
CLPH Antibody: CLPH (Casein-Like phosphoprotein) is a recently discovered, evolutionarily conserved, testis-specific cytoplasmic protein expressed exclusively in postmeiotic germ cells in rat spermatogenesis. CLPH is a novel casein kinase 2-phosphorylated disordered and calcium-binding protein that displays strong variation in relative expression levels during spermatogenesis. It is frequently associated with the mitochondrial inner membrane during the last steps of spermatid differentiation and is involved in the extremely complex structural rearrangements occurring in haploid germ cells during spermiogenesis.
By Type
Stem Cell
Badges
Trial Size
Modifications
None
Protein Gi #
90652863
Purification
CLPH Antibody is affinity chromatography purified via peptide column.
Positive Control 1
Positive Control 2
Concentration
1 mg/mL
Buffer
CLPH Antibody is supplied in PBS containing 0.02% sodium azide.
Application Note
CLPH antibody can be used for detection of CLPH by Western blot at 1 μ g/mL. Antibody can also be used for immunohistochemistry starting at 5 μ g/mL.
Antibody validated: Western Blot in human samples and Immunohistochemistry in human samples. All other applications and species not yet tested.
Homology
Predicted species reactivity based on immunogen sequence: Bovine: (75%), Mouse: (70%)
Immunogen
CLPH antibody was raised against a 15 amino acid synthetic peptide from near the carboxy terminus of human CLPH.

The immunogen is located within the last 50 amino acids of CLPH.
Clonality
Polyclonal
NCBI Official Name
calcium binding protein, spermatid associated 1
NCBI Organism
Homo sapiens
Disclaimer
Optimal dilutions/concentrations should be determined by the end user. The information provided is a guideline for product use. This product is for research use only.
User Note
Optimal dilutions for each application to be determined by the researcher.

Note: The presented information and documents (Manual, Product Datasheet, Safety Datasheet and Certificate of Analysis) correspond to our latest update and should serve for orientational purpose only. We do not guarantee the topicality. We would kindly ask you to make a request for specific requirements, if necessary.

All products are intended for research use only (RUO). Not for human, veterinary or therapeutic use.

Amount: 0.02 mg
Available: In stock
available

Compare

Add to wishlist

Get an offer

Request delivery time

Ask a technical question

Submit a bulk request

Questions about this Product?
 
Close