Comparison

NANOG Antibody

Item no. PRS-5585-0.1mg
Manufacturer ProSci
Amount 0.1 mg
Quantity options 0.02 mg 0.1 mg
Category
Type Antibody Polyclonal
Format Liquid
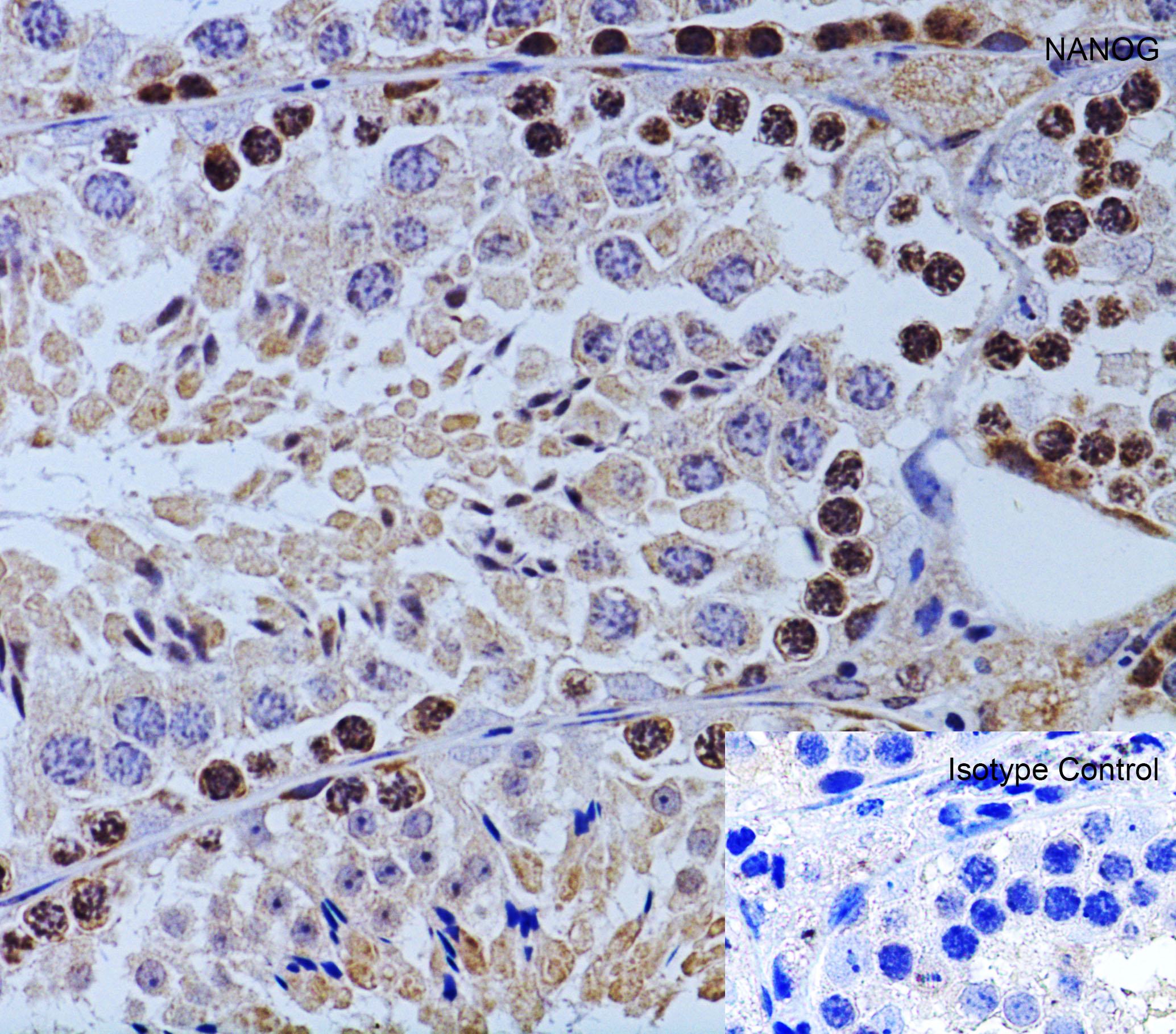
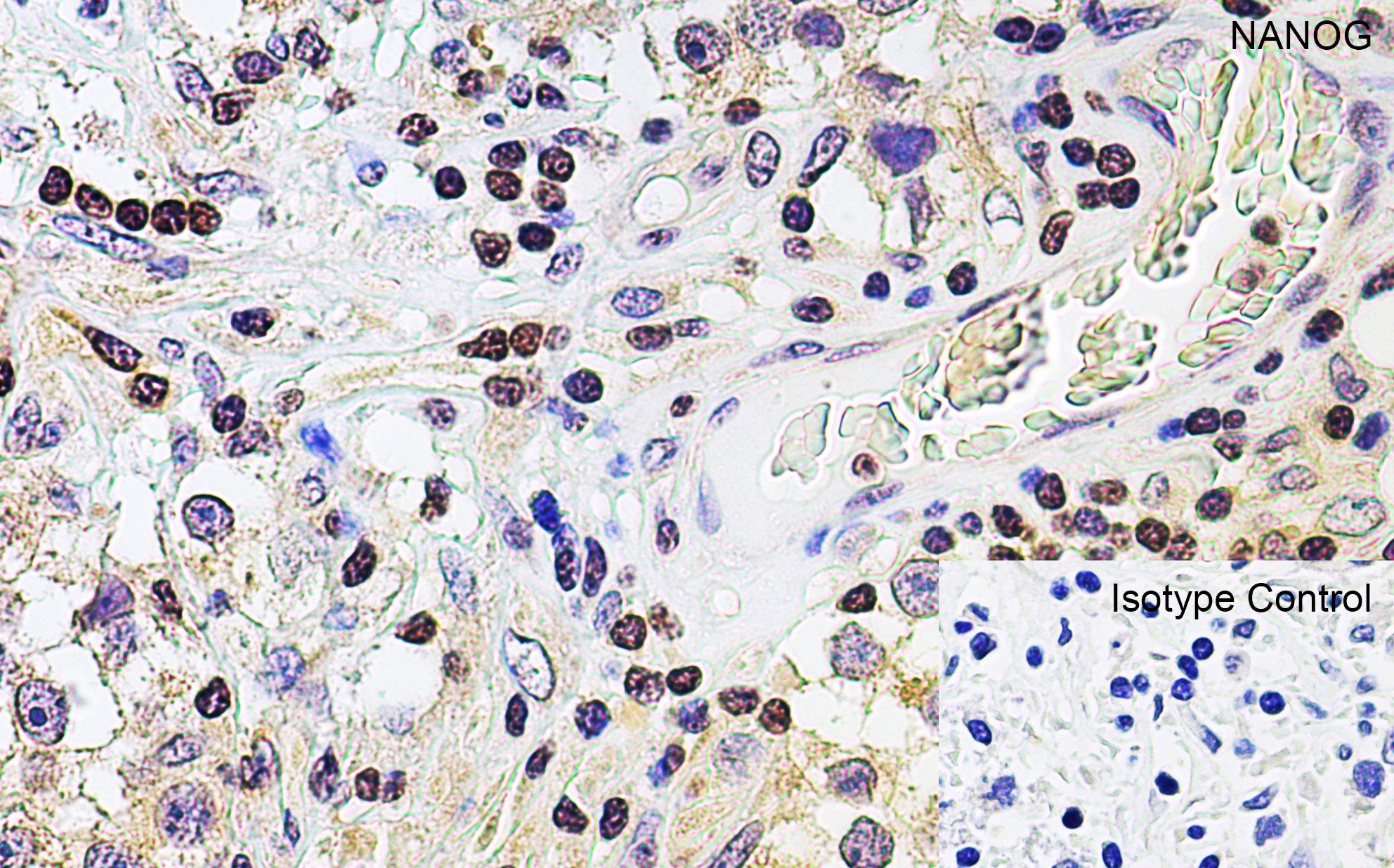
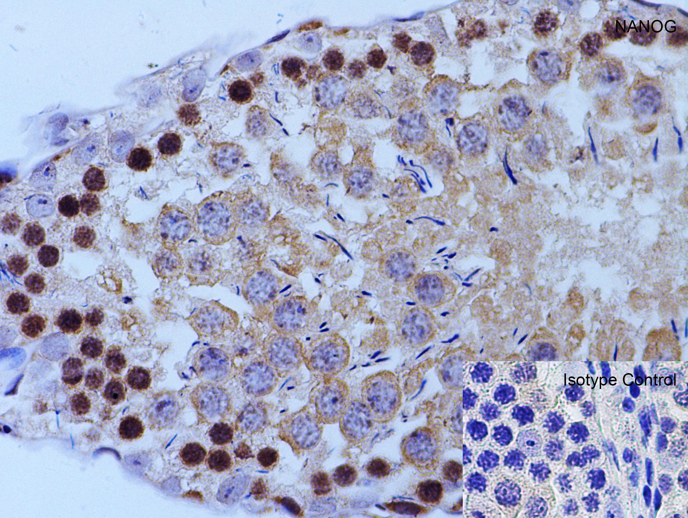
Applications WB, ICC, ELISA, IHC-P
Specific against Human (Homo sapiens), Mouse (Murine, Mus musculus), Rat (Rattus norvegicus)
Host Rabbit
Isotype IgG
Conjugate/Tag Unconjugated
Citations Chambers I, Colby D, Robertson M, et al. Functional expression cloning of Nanog, a pluripotency sustaining factor in embryonic stem cells. Cell2003; 113:643-55.
Mitsui K, Tokuzowa Y, Itoh H, et al. The homeoprotein Nanog is required for maintenance of pluripotency in mouse epiblast and ES cells. Cell2003; 113:631-42.
Carpenter MK, Rosler E, and Rao MS. Characterization and differentiation of human embryonic stem cells. Cloning Stem Cells2003; 5:79-88.
Scholer HR, Ruppert S, Suzuki N, et al. New type of POU domain in germ line-specific protein Oct-2. Nature1990; 344:435-9.
NCBI NANOG
ECLASS 10.1 32160702
ECLASS 11.0 32160702
UNSPSC 12352203
Alias NANOG Antibody: Homeobox protein NANOG,Homeobox transcription factor Nanog,hNanog
Shipping Condition Cool pack
Available
Manufacturer - Type
Primary Antibodies
Shipping Temperature
Blue Ice
Storage Conditions
NANOG antibody can be stored at 4˚ C for three months and -20˚ C, stable for up to one year. As with all antibodies care should be taken to avoid repeated freeze thaw cycles. Antibodies should not be exposed to prolonged high temperatures.
Molecular Weight
Predicted: 35 kD Observed: 35 kD
Manufacturer - Research Area
Homeostasis, Stem Cell
Background
NANOG Antibody: Expression of NANOG is required for the maintenance of pluripotency in epiblast and embryonic stem (ES) cells as well as for the ability to maintain ES self-renewal independently of LIF/Stat3. The role of NANOG in embryonic development suggested that it might be useful in the creation of stem cells that might be useful in cell replacement therapies in the treatment of several degenerative diseases. Artificial stem cells, termed induced pluripotent stem (iPS) cells, can be created by expressing POU5F1 (also known as Oct-4), another germline-specific transcription factor, and the transcription factors Sox2, Klf4 and Lin28 along with c-Myc in mouse fibroblasts. More recently, experiments have demonstrated that iPS cells could be generated using expression plasmids expressing NANOG, Sox2, KlfF4 and c-Myc, eliminating the need for virus introduction, thereby addressing a safety concern for potential use of iPS cells in regenerative medicine.
By Type
Homeostasis, Stem Cell
Badges
Trial Size
Modifications
None
Protein Gi #
119609057
Purification
NANOG Antibody is affinity chromatography purified via peptide column.
Isoforms
Human NANOG has 2 isoforms, isoform 1 (305aa, 34.6kD) and isoform 2 (289aa, 32.8kDa). Mouse NANOG has 2 isoforms, isoform 1 (305aa, 34.2kD) and isoform 2 (280aa, 31.9kD). Rat NANOG has 1 isoform (311aa, 35.1kD). 5585 can detect NANOG in human, mouse, and rat.
Positive Control 1
Positive Control 2
Concentration
1 mg/mL
Buffer
NANOG Antibody is supplied in PBS containing 0.02% sodium azide.
Application Note
WB: 1-2 μ g/mL; ICC/IF: 20 μ g/mL; IHC: 1-5 μ g/mL.
Antibody validated: Western Blot in human, mouse and rat samples; Immunohistochemistry in human, mouse and rat samples and Immunofluorescence in human samples. All other applications and species not yet tested.
Homology
Predicted species reactivity based on immunogen sequence: Bovine: (89%), Chicken: (94%)
Immunogen
NANOG antibody was raised against a 19 amino acid synthetic peptide near the center of human NANOG.

The immunogen is located within amino acids 130 - 180 of NANOG.
Clonality
Polyclonal
NCBI Official Name
Nanog homeobox
NCBI Organism
Homo sapiens
Disclaimer
Optimal dilutions/concentrations should be determined by the end user. The information provided is a guideline for product use. This product is for research use only.
User Note
Optimal dilutions for each application to be determined by the researcher.

Note: The presented information and documents (Manual, Product Datasheet, Safety Datasheet and Certificate of Analysis) correspond to our latest update and should serve for orientational purpose only. We do not guarantee the topicality. We would kindly ask you to make a request for specific requirements, if necessary.

All products are intended for research use only (RUO). Not for human, veterinary or therapeutic use.

Amount: 0.1 mg
Available: In stock
available

Compare

Add to wishlist

Get an offer

Request delivery time

Ask a technical question

Submit a bulk request

Questions about this Product?
 
Close