Comparison

CRISP2 Antibody

Item no. PRS-5873-0.1mg
Manufacturer ProSci
Amount 0.1 mg
Quantity options 0.02 mg 0.1 mg
Category
Type Antibody Polyclonal
Format Liquid
Applications WB, IF, ELISA, IHC-P
Specific against Human (Homo sapiens)
Host Rabbit
Isotype IgG
Conjugate/Tag Unconjugated
Citations Cohen DJ, Busso D, Da Ros V, et al. Participation of cysteine-rich secretory proteins (CRISP) in mammalian sperm-egg interaction. Int. J. Dev. Biol.2008; 52:737-42.
Maeda T, Sakashita M, Ohba Y, et al. Molecular cloning of the rat Tpx-1 responsible for the interaction between spermatogenic and Sertoli cells. Biochem. Biophys. Res. Commun.1998; 248:140-6.
Busso D, Goldweic NM, Hayashi M, et al. Evidence for the involvement of testicular protein CRISP2 in mouse sperm-egg fusion. Biol. Reprod.2007; 76:701-8.
Gibbs GM, Scanlon MJ, Swarbrick J, et al. The cysteine-rich secretory protein domain of Tpx-1 is related to ion channel toxins and regulates ryanodine receptor Ca2+ signaling. J. Biol. Chem.2006; 281:4156-63.
NCBI CRISP2
ECLASS 10.1 32160702
ECLASS 11.0 32160702
UNSPSC 12352203
Alias CRISP2 Antibody: CT36,TPX1,TSP1,GAPDL5,CRISP-2,Cysteine-rich secretory protein 2,Testis-specific protein TPX-1
Shipping Condition Cool pack
Available
Manufacturer - Type
Primary Antibodies
Shipping Temperature
Blue Ice
Storage Conditions
CRISP2 antibody can be stored at 4˚ C for three months and -20˚ C, stable for up to one year. As with all antibodies care should be taken to avoid repeated freeze thaw cycles. Antibodies should not be exposed to prolonged high temperatures.
Manufacturer - Research Area
Signal Transduction
Background
CRISP2 Antibody: The cysteine-rich secretory proteins (CRISP) family is a group of four proteins that are strongly expressed in the male reproductive tract and have been implicated in having roles in male fertility. CRISP2, also known as TPX1, has been implicated in the adhesion between spermatids and Sertoli cells, and with CRISP1, is thought to be involved in sperm-egg fusion. CRISP2 has been shown to regulate the Ca2+ influx through ryanodine receptors (RYR) and may influence the acrosome reaction or sperm motility. CRISP2 has also been shown to bind to the mitogen-activated protein kinase kinase kinase 11 (MAP3K11) and localizes to the developing acrosome, suggesting this CRISP2-MAP3K11 complex may have a role in acrosome development.
By Type
Signal Transduction
Badges
Trial Size
Modifications
None
Protein Gi #
215422434
Purification
CRISP2 Antibody is affinity chromatography purified via peptide column.
Positive Control 1
Positive Control 2
Concentration
1 mg/mL
Buffer
CRISP2 Antibody is supplied in PBS containing 0.02% sodium azide.
Application Note
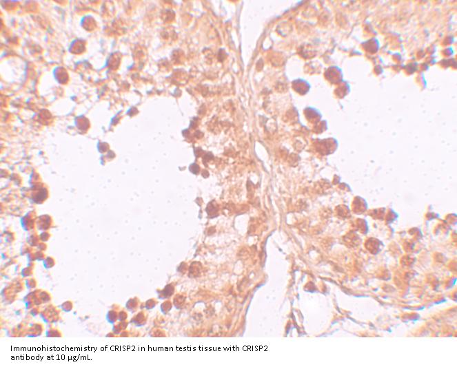
CRISP2 antibody can be used for detection of CRISP2 by Western blot at 0.5 - 1 μ g/mL. Antibody can also be used for immunohistochemistry starting at 10 μ g/mL. For immunofluorescence start at 20 μ g/mL.
Antibody validated: Western Blot in human samples; Immunohistochemistry in human samples and Immunofluorescence in human samples. All other applications and species not yet tested.
Immunogen
CRISP2 antibody was raised against a 15 amino acid synthetic peptide near the amino terminus of human CRISP2.

The immunogen is located within the first 50 amino acids of CRISP2.
Clonality
Polyclonal
NCBI Official Name
cysteine-rich secretory protein 2
NCBI Organism
Homo sapiens
Disclaimer
Optimal dilutions/concentrations should be determined by the end user. The information provided is a guideline for product use. This product is for research use only.
User Note
Optimal dilutions for each application to be determined by the researcher.

Note: The presented information and documents (Manual, Product Datasheet, Safety Datasheet and Certificate of Analysis) correspond to our latest update and should serve for orientational purpose only. We do not guarantee the topicality. We would kindly ask you to make a request for specific requirements, if necessary.

All products are intended for research use only (RUO). Not for human, veterinary or therapeutic use.

Amount: 0.1 mg
Available: In stock
available

Compare

Add to wishlist

Get an offer

Request delivery time

Ask a technical question

Submit a bulk request

Questions about this Product?
 
Close