Comparison

ZBTB8 Antibody

Item no. PRS-6129-0.1mg
Manufacturer ProSci
Amount 0.1 mg
Quantity options 0.02 mg 0.1 mg
Category
Type Antibody Polyclonal
Format Liquid
Applications WB, IF, ELISA, IHC-P
Specific against Human (Homo sapiens), Mouse (Murine, Mus musculus)
Host Rabbit
Isotype IgG
Conjugate/Tag Unconjugated
Citations Filion GJP, Zhenilo S, Salozhin S, et al. A family of zinc finger proteins that bind methylated DNA and repress transcription. Mol. Cell. Biol.2006; 26:169-81.
Qu H, Qu D, Chen F, et al. ZBTB7 overexpression contributes to malignancy in breast cancer. Cancer Invest.2010; 28:672-8.
NCBI ZBTB8A
ECLASS 10.1 32160702
ECLASS 11.0 32160702
UNSPSC 12352203
Alias ZBTB8 Antibody: BOZF1,ZBTB8,ZNF916A,BOZF1,Zinc finger and BTB domain-containing protein 8A,BOZ-F1
Shipping Condition Cool pack
Available
Manufacturer - Type
Primary Antibodies
Shipping Temperature
Blue Ice
Storage Conditions
ZBTB8 antibody can be stored at 4˚ C for three months and -20˚ C, stable for up to one year. As with all antibodies care should be taken to avoid repeated freeze thaw cycles. Antibodies should not be exposed to prolonged high temperatures.
Manufacturer - Research Area
Cancer, Cell Cycle
Background
ZBTB8 Antibody: The ZBTB family of proteins is comprised of diverse zinc finger proteins that also contain a BTB (BR-C, ttk and bab) domain. ZBTB8, also known as BOZ-F1, is present in multiple tissues, and is highly expressed in the cytoplasm of the placenta. While little is known about ZBTB8, other ZBTB proteins, such as ZBTB4 bind methylated DNA and repress transcription. Another ZBTB proteins, ZBTB7A, has been implicated as a proto-oncogene whose overexpression contributes to malignancy in breast cancer, suggesting that ZBTB8 may act as a transcriptional repressor or be involved in tumorigenesis.
By Type
Cancer, Cell Cycle
Badges
Trial Size
Modifications
None
Protein Gi #
94721342
Purification
ZBTB8 Antibody is affinity chromatography purified via peptide column.
Positive Control 1
Positive Control 2
Concentration
1 mg/mL
Buffer
ZBTB8 Antibody is supplied in PBS containing 0.02% sodium azide.
Application Note
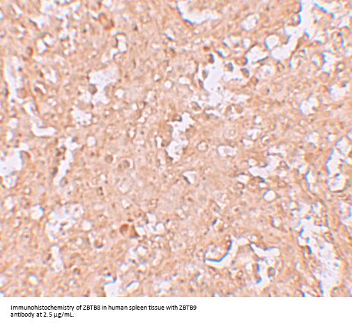
ZBTB8 antibody can be used for detection of ZBTB8 by Western blot at 1 μ g/mL. Antibody can also be used for immunohistochemistry starting at 2.5 μ g/mL. For immunofluorescence start at 5 μ g/mL.
Antibody validated: Western Blot in mouse samples; Immunohistochemistry in human samples and Immunofluorescence in human samples. All other applications and species not yet tested.
Homology
Predicted species reactivity based on immunogen sequence: Bovine: (100%), Rat: (100%)
Manufacturer - Specificity
At least two isoforms of ZBTB8 are known to exist; this antibody will recognize both isoforms. This antibody is predicted to not cross-react with other ZBTB protein family members.
Immunogen
ZBTB8 antibody was raised against a 17 amino acid synthetic peptide near the carboxy terminus of human ZBTB8.

The immunogen is located within the last 50 amino acids of ZBTB8.
Clonality
Polyclonal
NCBI Official Name
zinc finger and BTB domain containing 8
NCBI Organism
Homo sapiens
Disclaimer
Optimal dilutions/concentrations should be determined by the end user. The information provided is a guideline for product use. This product is for research use only.
User Note
Optimal dilutions for each application to be determined by the researcher.

Note: The presented information and documents (Manual, Product Datasheet, Safety Datasheet and Certificate of Analysis) correspond to our latest update and should serve for orientational purpose only. We do not guarantee the topicality. We would kindly ask you to make a request for specific requirements, if necessary.

All products are intended for research use only (RUO). Not for human, veterinary or therapeutic use.

Amount: 0.1 mg
Available: In stock
available

Compare

Add to wishlist

Get an offer

Request delivery time

Ask a technical question

Submit a bulk request

Questions about this Product?
 
Close