Comparison

IL-9 Antibody

Item no. PRS-7495-0.02mg
Manufacturer ProSci
Amount 0.02 mg
Quantity options 0.02 mg 0.1 mg
Category
Type Antibody Polyclonal
Format Liquid
Applications WB, IF, ELISA, IHC-P
Specific against Human (Homo sapiens)
Host Rabbit
Isotype IgG
Conjugate/Tag Unconjugated
Citations Renauld et al. Cytokine 1990; 2:9-12.
Tete et al. J. Biol. Homeost. Agents 2012; 26:319-26.
Knoops and Renauld. Growth Factors 2004; 22:207-15.
Nicolaides et al. Proc. Natl. Acad. Sci. USA 1997; 94:13175-80.
NCBI IL9
ECLASS 10.1 32160702
ECLASS 11.0 32160702
UNSPSC 12352203
Alias IL-9 Antibody: P40,HP40,IL-9,Interleukin-9,Cytokine P40
Shipping Condition Cool pack
Available
Manufacturer - Type
Primary Antibodies
Shipping Temperature
Blue Ice
Storage Conditions
IL-9 antibody can be stored at 4˚ C for three months and -20˚ C, stable for up to one year.
Molecular Weight
Predicted: 16kD
Observed: 22 kD (Post-modification: 4 N-linked glycosylations)

Manufacturer - Research Area
Immunology
Background
Interleukin 9 (IL-9) is a cytokine secreted by TH2 lymphocytes that acts as a regulator of a variety of hematopoietic cells, stimulates cell proliferation and prevents apoptosis (1, 2). It functions through the interleukin 9 receptor (IL9R), which activates different signal transducer and activator (STAT) proteins (3). The IL-9 gene has been identified as a candidate gene for asthma (4). Genetic studies on a mouse model of asthma demonstrated that this cytokine is a determining factor in the pathogenesis of bronchial hyperresponsiveness (5).
By Type
Immunology
Badges
Trial Size
Modifications
None
Protein Gi #
10834980
Purification
IL-9 Antibody is affinity chromatography purified via peptide column.
Isoforms
Human IL-9 has one isoform (144aa, 16kD). Mouse IL-9 has one isoform (144aa, 16kD) and Rat IL-9 also has one isoform (144aa, 16kD). 7495 can detect human isoform, but cannot detect mouse and rat.

Validation

Recombinant Protein Test (Figure 2): Anti-IL-9 antibodies (7495) detected human IL-9 recombinant protein at different concentrations.

Positive Control 1
Positive Control 2
Positive Control 3
Concentration
1 mg/mL
Buffer
IL-9 Antibody is supplied in PBS containing 0.02% sodium azide.
Application Note
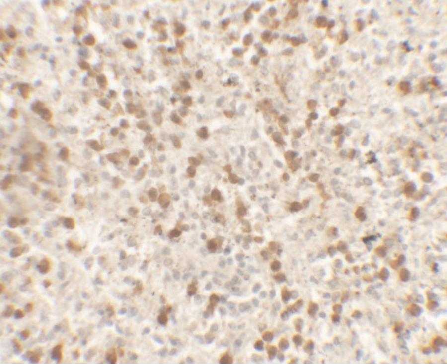
WB: 1-4 μ g/mL; IHC: 5 μ g/mL; IF: 20 μ g/mL.
Antibody validated: Western Blot in human samples; Immunohistochemistry in human samples; Immunofluorescence in human samples. All other applications and species not yet tested.
Manufacturer - Specificity
IL-9 antibody is human specific. IL-9 antibody is predicted to no cross-react with IL-7.
Immunogen
Anti-IL-9 antibody (7495) was raised against a peptide corresponding to 16 amino acids near the carboxy terminus of human IL-9.

The immunogen is located within the last 50 amino acids of IL-9.
Clonality
Polyclonal
NCBI Official Name
interleukin 9
NCBI Organism
homo sapiens
Disclaimer
Optimal dilutions/concentrations should be determined by the end user. The information provided is a guideline for product use. This product is for research use only.
User Note
Optimal dilutions for each application to be determined by the researcher.

Note: The presented information and documents (Manual, Product Datasheet, Safety Datasheet and Certificate of Analysis) correspond to our latest update and should serve for orientational purpose only. We do not guarantee the topicality. We would kindly ask you to make a request for specific requirements, if necessary.

All products are intended for research use only (RUO). Not for human, veterinary or therapeutic use.

Amount: 0.02 mg
Available: In stock
available

Compare

Add to wishlist

Get an offer

Request delivery time

Ask a technical question

Submit a bulk request

Questions about this Product?
 
Close