Comparison

Anti-Monomethyl-Histone H3 (Lys79) Rabbit mAb

Item no. PTM-5112
Manufacturer PTM Biolabs
Amount 100 ul
Category
Type Antibody Monoclonal
Format Lyophilized powder
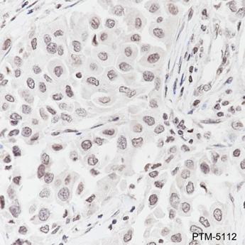
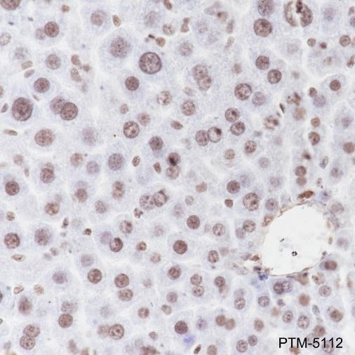
Applications WB, IHC-P
Clone 10257
Specific against Human (Homo sapiens), Mouse (Murine, Mus musculus), Rat (Rattus norvegicus)
Host Rabbit
Isotype IgG
Conjugate/Tag Unconjugated
Citations Jiabin Zheng, et al. KDM3A Ablation Activates Endogenous Retrovirus Expression to Stimulate Antitumor Immunity in Gastric Cancer. Advanced Science, 2024. https://onlinelibrary.wiley.com/doi/abs/10.1002/advs.202309983.
ECLASS 10.1 42030590
ECLASS 11.0 42030590
UNSPSC 12352203
Alias H3K79me1
Shipping Condition Room temperature
Available
Manufacturer - Type
Primary Antibodies
Manufacturer - Category
Histone & Histone Modification Antibodies
Manufacturer - Targets
Histone H3
Shipping Temperature
Ambient temperature
Storage Conditions
Store at -20°C. Avoid freeze/thaw cycles.
Molecular Weight
15
Stability
Stable for 12 months from date of receipt/reconstitution.
Manufacturer - Research Area
Epigenetics
Product description
The ε-amino lysine acetylation of proteins is an important reversible modification controlling protein activity. The amino-terminal tails of core histones undergo lysine methylation in multiple sites, termed as “histone code” or “epigenetic code”. Lysine methylation in core histones is a major determinant for the formation of active and inactive regions of the genome and therefore plays vital roles in multiple cellular events. In most species, lysine methylation occurs primarily on histones H3 (Lys4, 9, 27, 36, 79) and H4 (Lys20) and has been implicated in both transcriptional activation and silencing. Methylation in histones modulated by specific histone methyltransferases (HMTs)and histone demethylases (HDMs)is impaired in the pathologies of cancer and other diseases and therefore, enzymes regulating histone lysine methylation have become promising targets for anti-cancer drugs.
Purification Method
Protein A purified
Formula
PBS, Glycerol, BSA
PTM
Monomethyl
Modification Site
Lys79
Clonality
Recombinant Monoclonal
Background
The ε-amino lysine acetylation of proteins is an important reversible modification controlling protein activity. The amino-terminal tails of core histones undergo lysine methylation in multiple sites, termed as “histone code” or “epigenetic code”. Lysine methylation in core histones is a major determinant for the formation of active and inactive regions of the genome and therefore plays vital roles in multiple cellular events. In most species, lysine methylation occurs primarily on histones H3 (Lys4, 9, 27, 36, 79) and H4 (Lys20) and has been implicated in both transcriptional activation and silencing. Methylation in histones modulated by specific histone methylases (HMTs)and histone demethylases (HDMs)is impaired in the pathologies of cancer and other diseases and therefore, enzymes regulating histone lysine methylation have become promising targets for anti-cancer drugs.
Cellular Localization
Nucleus

Note: The presented information and documents (Manual, Product Datasheet, Safety Datasheet and Certificate of Analysis) correspond to our latest update and should serve for orientational purpose only. We do not guarantee the topicality. We would kindly ask you to make a request for specific requirements, if necessary.

All products are intended for research use only (RUO). Not for human, veterinary or therapeutic use.

Amount: 100 ul
Available: In stock
available

Compare

Add to wishlist

Get an offer

Request delivery time

Ask a technical question

Submit a bulk request

Questions about this Product?
 
Close