Comparison

Anti-L-Lactyl-Histone H2B (Lys120) Rabbit pAb

Item no. PTM-1423
Manufacturer PTM Biolabs
Amount 100 ul
Category
Type Antibody Polyclonal
Format Lyophilized powder
Applications WB
Specific against Human (Homo sapiens), Mouse (Murine, Mus musculus), Rat (Rattus norvegicus)
Host Rabbit
Isotype IgG
Conjugate/Tag Unconjugated
ECLASS 10.1 32160702
ECLASS 11.0 32160702
UNSPSC 12352203
Alias H2BK120la
Shipping Condition Room temperature
Available
Manufacturer - Type
Primary Antibodies
Manufacturer - Category
Histone & Histone Modification Antibodies
Manufacturer - Targets
Histone H2B
Shipping Temperature
Ambient temperature
Storage Conditions
Store at -20°C. Avoid freeze/thaw cycles.
Molecular Weight
14
Stability
Stable for 12 months from date of receipt/reconstitution.
Manufacturer - Research Area
Epigenetics, Cancer
Product description
Histones are subjected to a variety of enzyme catalyzed modifications, including acetylation, methylation, phosphorylation, ubiquitylation, etc. The Warburg effect, which originally described increased production of lactate in cancer, is associated with diverse cellular processes such as angiogenesis, hypoxia, polarization of macrophages and activation of T cells. This phenomenon is intimately linked to several diseases including neoplasia, sepsis and autoimmune diseases. Lactate, which is converted from pyruvate in tumor cells, is widely known as an energy source and metabolic by-product. Zhang et al. (Nature, 2019) reveal that histone lactylation is a previously unknown histone modification, derived from the cellular metabolite lactate.
Purification Method
Protein A purified
Manufacturer - Specificity
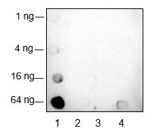
Anti-L-Lactyl-Histone H2B (Lys120) Rabbit pAb detects histone H2B only when it is lactylated at Lys120.
Formula
PBS, Glycerol, BSA
PTM
Lactyl
Modification Site
Lys120
Immunogen
L-lactylated human histone H2B (Lys120) peptide
Clonality
Polyclonal
Background
Histones are subjected to a variety of enzyme catalyzed modifications, including acetylation, methylation, phosphorylation, ubiquitylation, etc. The Warburg effect, which originally described increased production of lactate in cancer, is associated with diverse cellular processes such as angiogenesis, hypoxia, polarization of macrophages and activation of T cells. This phenomenon is intimately linked to several diseases including neoplasia, sepsis and autoimmune diseases. Lactate, which is converted from pyruvate in tumor cells, is widely known as an energy source and metabolic by-product. Zhang et al. (Nature, 2019) reveal that histone lactylation is a previously unknown histone modification, derived from the cellular metabolite lactate.
Cellular Localization
Nucleus

Note: The presented information and documents (Manual, Product Datasheet, Safety Datasheet and Certificate of Analysis) correspond to our latest update and should serve for orientational purpose only. We do not guarantee the topicality. We would kindly ask you to make a request for specific requirements, if necessary.

All products are intended for research use only (RUO). Not for human, veterinary or therapeutic use.

Amount: 100 ul
Available: In stock
available

Compare

Add to wishlist

Get an offer

Request delivery time

Ask a technical question

Submit a bulk request

Questions about this Product?
 
Close