Comparison

Anti-PARK7/DJ-1 antibody (C-Term) (STJ70331) European Partner

Item no. STJ70331-100
Manufacturer St John's Laboratory
Amount 100 ug
Category
Type Antibody Primary
Applications WB, IF, IHC, ELISA
Specific against Human (Homo sapiens), Mouse (Murine, Mus musculus), Rat (Rattus norvegicus)
Host Caprine
Isotype IgG
Conjugate/Tag Unconjugated
ECLASS 10.1 32160702
ECLASS 11.0 32160702
UNSPSC 12352203
Available
Manufacturer - Type
Primary antibodies
Manufacturer - Applications
Pep-ELISA/WB/IF/IHC
Manufacturer - Targets
PARK7
Storage Conditions
Store at-20°C on receipt and minimise freeze-thaw cycles.
Formulation
0.5 mg/ml in Tris saline, 0.02% sodium azide, pH7.3 with 0.5% bovine serum albumin. NA NA
Concentration
0.5 mg/mL
Purification
Purified from goat serum by ammonium sulphate precipitation followed by antigen affinity chromatography using the immunizing peptide.
Clonality
Polyclonal
Gene symbol
PARK7
Dilution range
Peptide ELISA: antibody detection limit dilution 1:128000.
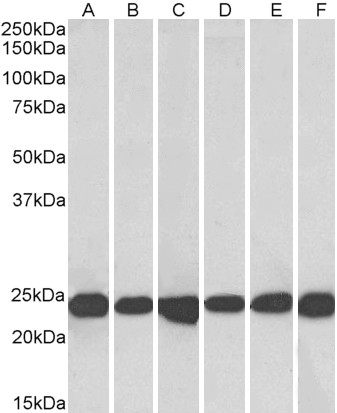
WB: Approx 24kDa band observed in lysates of cell lines HeLa and Jurkat and of Human Brain (Cerebellum, Hippocampus, Frontal Cortex) and rodent Brain lysates (calculated MW of 19.9kDa according to NP_001116849.1 and of NP_009193.2). Recommended concentration: 0.05-0.1µg/ml. Primary incubation was 1 hour.
IHC: Paraffin embedded Human Testis. Recommended concentration: 7µg/ml.
IF: Strong expression of the protein seen around the nucleus. Dividing cells appear to show enhanced expression. Recommended concentration: 5µg/ml.
Note
STRICTLY FOR FURTHER SCIENTIFIC RESEARCH USE ONLY (RUO). MUST NOT TO BE USED IN DIAGNOSTIC OR THERAPEUTIC APPLICATIONS.
Immunogen Region
C-Term
Manufacturer - Specificity
Reported variants (NP_001116849.1; NP_009193.2) represent the same protein.

Note: The presented information and documents (Manual, Product Datasheet, Safety Datasheet and Certificate of Analysis) correspond to our latest update and should serve for orientational purpose only. We do not guarantee the topicality. We would kindly ask you to make a request for specific requirements, if necessary.

All products are intended for research use only (RUO). Not for human, veterinary or therapeutic use.

Amount: 100 ug
Available: In stock
available

Delivery expected until 2/12/2026 

Compare

Add to wishlist

Get an offer

Request delivery time

Ask a technical question

Submit a bulk request

Questions about this Product?
 
Close