Comparison

Anti-RANBPM/RANBP9 antibody (C-Term) (STJ70395) European Partner

Item no. STJ70395-100
Manufacturer St John's Laboratory
Amount 100 ug
Category
Type Antibody Primary
Applications IHC, ICC, ELISA
Specific against Human (Homo sapiens), Mouse (Murine, Mus musculus), Dog (Canine, Canis lupus familiaris), Pig (Porcine, Sus scrofa domesticus)
Host Caprine
Isotype IgG
Conjugate/Tag Unconjugated
ECLASS 10.1 32160702
ECLASS 11.0 32160702
UNSPSC 12352203
Available
Manufacturer - Type
Primary antibodies
Manufacturer - Applications
Pep-ELISA/IHC/ICC
Manufacturer - Targets
RANBP9
Storage Conditions
Store at-20°C on receipt and minimise freeze-thaw cycles.
Formulation
0.5 mg/ml in Tris saline, 0.02% sodium azide, pH7.3 with 0.5% bovine serum albumin. NA NA
Concentration
0.5 mg/mL
Purification
Purified from goat serum by ammonium sulphate precipitation followed by antigen affinity chromatography using the immunizing peptide.
Clonality
Polyclonal
Gene symbol
RANBP9
Dilution range
Peptide ELISA: antibody detection limit dilution 1:16000.
WB: Preliminary experiments gave no signal but low background in whole cell Hela lysates at up to 1µg/ml.
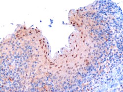
IHC: In paraffin embedded Human Tonsil stains nuclei in epithelial cells of tonsillar criptae. Recommended concentration: 3µg/ml. Paraffin embedded Human Testis. Recommended concentration: 10µg/ml.
ICC: A customer reported successful use on HeLa.
Note
STRICTLY FOR FURTHER SCIENTIFIC RESEARCH USE ONLY (RUO). MUST NOT TO BE USED IN DIAGNOSTIC OR THERAPEUTIC APPLICATIONS.
Immunogen Region
C-Term
Manufacturer - Specificity
This product is also expected to recognize the centrosome-associated truncated isoform RANBPM (BAA23216.1).

Note: The presented information and documents (Manual, Product Datasheet, Safety Datasheet and Certificate of Analysis) correspond to our latest update and should serve for orientational purpose only. We do not guarantee the topicality. We would kindly ask you to make a request for specific requirements, if necessary.

All products are intended for research use only (RUO). Not for human, veterinary or therapeutic use.

Amount: 100 ug
Available: In stock
available

Compare

Add to wishlist

Get an offer

Request delivery time

Ask a technical question

Submit a bulk request

Questions about this Product?
 
Close