Comparison

Raf-1 Antibody

Item no. AB-B7206-100
Manufacturer Assay Biotechnology
Amount 100 ul
Quantity options 100 ul 50 ul
Category
Type Antibody Polyclonal
Format Liquid
Applications WB, IHC, ELISA
Specific against Human (Homo sapiens), Mouse (Murine, Mus musculus), Rat (Rattus norvegicus)
Host Rabbit
NCBI RAF1
ECLASS 10.1 32160702
ECLASS 11.0 32160702
UNSPSC 12352203
Alias C-RAF,C-Raf,CRAF,kinase Raf1,Protein kinase raf 1,RAF proto-oncogene serine/threonine-protein kinase,Raf proto-oncogene serine/threonine-protein kinase,RAF-1,Raf-1,RAF1,Similar to murine leukemia viral (V-raf-1) oncogene homolog 1
Available
Manufacturer - Category
Polyclonal Antibody
Shipping Temperature
4°C
Storage Conditions
-20°C
Molecular Weight
73 kDa
Dilution
WB: 1:500~1:1000 IHC: 1:50~1:100 ELISA: 1:20000
Immunogen
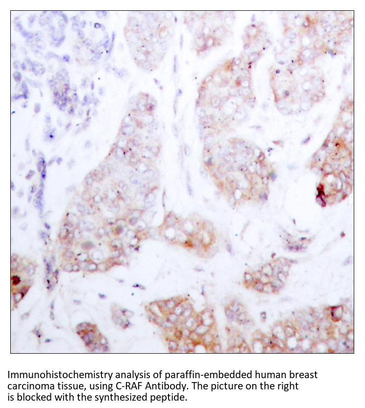
The antiserum was produced against synthesized peptide derived from human C-RAF.
OMIM
164760/611553/611554
Purification
The antibody was purified from rabbit antiserum by affinity-chromatography using immunogen.
Product Description
Raf-1 Rabbit Polyclonal Antibody
Concentration
1 mg/ml
Immunogen Range
225-274
Modifications
Unmodified/Total
Unigene No.
Hs.159130
Manufacturer - Specificity
C-RAF Antibody detects endogenous levels of total C-RAF protein.
Formulation
Rabbit IgG in phosphate buffered saline (without Mg2+ and Ca2+), pH 7.4, 150mM NaCl, 0.02% sodium azide and 50% glycerol.

Note: The presented information and documents (Manual, Product Datasheet, Safety Datasheet and Certificate of Analysis) correspond to our latest update and should serve for orientational purpose only. We do not guarantee the topicality. We would kindly ask you to make a request for specific requirements, if necessary.

All products are intended for research use only (RUO). Not for human, veterinary or therapeutic use.

Amount: 100 ul
Available: In stock
available

Compare

Add to wishlist

Get an offer

Request delivery time

Ask a technical question

Submit a bulk request

Questions about this Product?