Comparison

MCM2 Antibody

Item no. OASA03107
Manufacturer AVIVA Systems Biology
Amount 0.1 mg
Category
Type Antibody Monoclonal
Format Liquid
Applications WB, IHC
Clone CRCT2.1
Specific against Human (Homo sapiens)
Host Mouse
Isotype IgG1
Citations 1. Gakiopoulou, H. et al. (2007) Minichromosome maintenance proteins 2 and 5 in non-benign epithelial ovarian tumours: relationship with cell cycle regulators and prognostic implications. Br J Cancer. 97:1124-34.
ECLASS 10.1 42030590
ECLASS 11.0 42030590
UNSPSC 12352203
Alias BM28,CCNL1,CDCL1,cdc19,DFNA70,D3S3194,MITOTIN
Similar products MCM2
Shipping Condition Cool pack
Available
Manufacturer - Type
Monoclonal Antibody
Manufacturer - Applications
Immunohistochemistry-Paraffin|Western blot
Manufacturer - Category
Root Catalog/Products/Monoclonal Antibodies, Root Catalog/Research Areas/Cell Biology, Root Catalog/Research Areas/Meiosis\/Mitosis\/Cell Cycle, Root Catalog/Research Areas/Immunohistochemistry, Root Catalog/Research Areas/Cell Cycle, Root Catalog/Products/Primary Antibodies
Shipping Temperature
Wet Ice
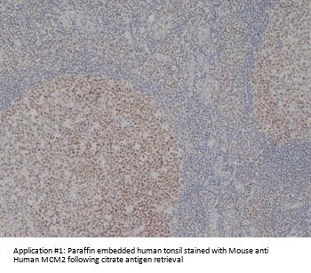
Manufacturer - Application Additional Information
Immunohistology - Frozen:    1/500 - 1/1000
Immunohistology - Paraffin(1):    1/200
(1) Special conditions apply. - See [*].
Gene symbol
MCM2
Protein size
904
Product format
Liquid. Phosphate buffered saline
Reconstitution and storage
-20°C
Description of target
MOUSE ANTI HUMAN MCM2
Protein accession_num
NP_004517.2
Protein name
DNA replication licensing factor MCM2
Clonality
Monoclonal
Purification
Protein G Purified
Immunogen
Bacterially expressed human Mcm2.
Homology
Human
Manufacturer - Specificity
MCM2
Concentration
1 mg/ml

Note: The presented information and documents (Manual, Product Datasheet, Safety Datasheet and Certificate of Analysis) correspond to our latest update and should serve for orientational purpose only. We do not guarantee the topicality. We would kindly ask you to make a request for specific requirements, if necessary.

All products are intended for research use only (RUO). Not for human, veterinary or therapeutic use.

Amount: 0.1 mg
Available: In stock
available

Compare

Add to wishlist

Get an offer

Request delivery time

Ask a technical question

Submit a bulk request

Questions about this Product?
 
Close