Comparison

ENO2 Antibody

Item no. OASA03163
Manufacturer AVIVA Systems Biology
Amount 0.2 mg
Category
Type Antibody Monoclonal
Format Liquid
Applications IHC
Clone 5G10
Specific against Human (Homo sapiens)
Host Mouse
Isotype IgG2b
ECLASS 10.1 42030590
ECLASS 11.0 42030590
UNSPSC 12352203
Alias NSE,HEL-S-279
Similar products ENO2
Shipping Condition Cool pack
Available
Manufacturer - Type
Monoclonal Antibody
Manufacturer - Applications
IHC-FFPE
Manufacturer - Category
Root Catalog/Products/Monoclonal Antibodies, Root Catalog/Products/Monoclonal Antibodies/Drugs and Drug Metabolism, Root Catalog/Research Areas/Immunohistochemistry, Root Catalog/Products/Primary Antibodies
Shipping Temperature
Wet Ice
Manufacturer - Application Additional Information
Immunohistology - Paraffin(1):    1/100 - 1/400
(1) Special conditions apply. See *
Gene symbol
ENO2
Protein size
434
Product format
Purified IgG - liquid
Reconstitution and storage
Store at -20oC only.
Storage in frost-free freezers is not recommended.
This product should be stored undiluted.
Avoid repeated freezing and thawing as this may denature the antibody.
Should this product contain a precipitate we recommend microcentrifugation before use.
Description of target
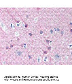
MOUSE ANTI HUMAN NEURON SPECIFIC ENOLASE
Protein accession_num
NP_001966.1
Protein name
Gamma-enolase
Clonality
Monoclonal
Immunogen
The immunogen for anti-ENO2 antibody: native, from brain
Homology
Human
Manufacturer - Specificity
NEURON SPECIFIC ENOLASE

Note: The presented information and documents (Manual, Product Datasheet, Safety Datasheet and Certificate of Analysis) correspond to our latest update and should serve for orientational purpose only. We do not guarantee the topicality. We would kindly ask you to make a request for specific requirements, if necessary.

All products are intended for research use only (RUO). Not for human, veterinary or therapeutic use.

Amount: 0.2 mg
Available: In stock
available

Compare

Add to wishlist

Get an offer

Request delivery time

Ask a technical question

Submit a bulk request

Questions about this Product?
 
Close