Comparison

Anti-Pro-epidermal growth factor EGF Antibody European Partner

Item no. BOS-A00378-2
Manufacturer Boster
Amount 100 ul
Quantity options 100 ul 100 ul
Category
Format Liquid
Applications WB, IP, IHC
Specific against Human (Homo sapiens)
Host Rabbit
Alias Pro-epidermal growth factor,EGF,Epidermal growth factor,Urogastrone,EGF
Available
Manufacturer - Category
Primary Antibodies
Storage Conditions
Store at -20°C for one year. For short term storage and frequent use, store at 4°C for up to one month. Avoid repeated freeze-thaw cycles.
Molecular Weight
133994 MW
Clonality
Polyclonal
Application Details
WB: 1:500-1:1, 000
IHC: 1:50-1:100
IP: 1:10-1:50
Gene Name
EGF
Gene Full Name
Pro-epidermal growth factor
Immunogen
recombinant protein
Contents
Rabbit IgG, 1mg/ml in PBS with 0.02% sodium azide, 50% glycerol, pH7.2
Purification
ProA affinity purified
Concentration
1 mg/ml
Protein Name
Pro-epidermal growth factor
Protein Function
EGF stimulates the growth of various epidermal and
epithelial tissues in vivo and in vitro and of some fibroblasts in
cell culture. Magnesiotropic hormone that stimulates magnesium
reabsorption in the renal distal convoluted tubule via engagement
of EGFR and activation of the magnesium channel TRPM6. Can induce
neurite outgrowth in motoneurons of the pond snail Lymnaea
stagnalis in vitro (PubMed:10964941).
Subcellular Localization
Membrane; Single-pass type I membrane
protein.
Description
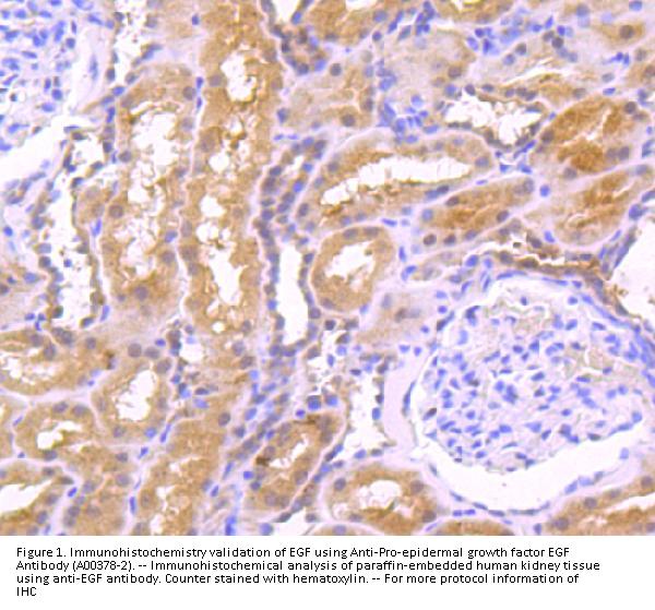
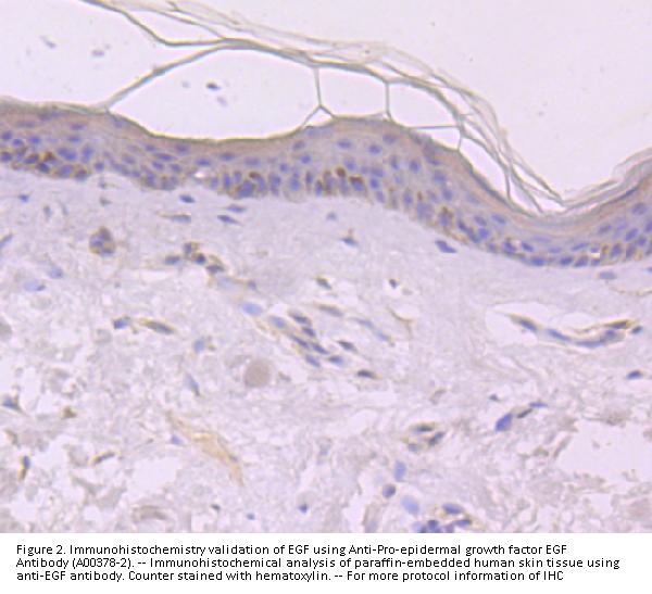
Boster Bio Anti-Pro-epidermal growth factor EGF Antibody catalog # A00378-2. Tested in WB, IHC, IP applications. This antibody reacts with Human.
Tissue Specificity
Expressed in kidney, salivary gland, cerebrum
and prostate.

Note: The presented information and documents (Manual, Product Datasheet, Safety Datasheet and Certificate of Analysis) correspond to our latest update and should serve for orientational purpose only. We do not guarantee the topicality. We would kindly ask you to make a request for specific requirements, if necessary.

All products are intended for research use only (RUO). Not for human, veterinary or therapeutic use.

Amount: 100 ul
Available: In stock
available

Compare

Add to wishlist

Get an offer

Request delivery time

Ask a technical question

Submit a bulk request

Questions about this Product?