Comparison

Anti-IL-21 Antibody European Partner

Item no. BOS-A00459
Manufacturer Boster
Amount 0.1 mg
Category
Format Liquid
Applications WB, ELISA, IHC-P
Specific against Human (Homo sapiens), Mouse (Murine, Mus musculus), Rat (Rattus norvegicus)
Host Rabbit
Isotype IgG
Alias Za11,IL-21,Interleukin-21,Za11
Available
Manufacturer - Category
Primary Antibodies
Storage Conditions
IL-21 antibody can be stored at 4°C for three months and -20°C, stable for up to one year. Avoid repeated freeze-thaw cycles. Antibodies should not be exposed to prolonged high temperatures.
Molecular Weight
17923 MW
Clonality
Polyclonal
Application Details
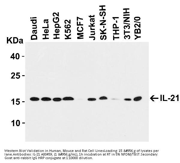
WB: 0.5-2 μg/mL; IHC-P: 0.5-2 μg/mL.
Antibody validated: Western Blot and Immunohistochemistry in human, mouse and rat samples. All other applications and species not yet tested.
Gene Name
IL21
Gene Full Name
Interleukin 21
Manufacturer - Specificity
At least two isoforms of IL-21 are known to exist; this antibody will detect both isoforms. IL-21 antibody is predicted to not cross-react with other members of the interleukin protein family.
Background
A novel cytokine was recently identified in human and mouse and designated IL-21, which has significant homology to IL-2, IL-4, and IL-15. The receptor for IL-21 (IL-21R, also termed NILR for novel Interleukin receptor) is a new member of the class I cytokine receptor family. IL-21R forms a complex with the common cytokine receptor gamma chain, gammac, and mediates IL-21 signaling. IL-21 and its receptor activate JAK-STAT signaling pathway. IL-21 is expressed in activated T cells, and HL-60 and THP-1 cell lines. IL-21 plays a role in the proliferation and maturation of NK, B and T cell populations.
Immunogen
Anti-IL-21 antibody was raised against a peptide corresponding to 15 amino acids near the center of human IL-21 precursor. The immunogen is located within the last 50 amino acids of IL-21.
Contents
IL-21 Antibody is supplied in PBS containing 0.02% sodium azide.
Purification
IL-21 Antibody is affinity chromatography purified via peptide column.
Concentration
1 mg/ml
Manufacturer - Research Category
Chemokines, Cytokines, Cancer
Protein Name
Interleukin 21
Protein Function
Cytokine with immunoregulatory activity. May promote the
transition between innate and adaptive immunity. Induces the
production of IgG (1) and IgG (3) in B-cells (By similarity). May
play a role in proliferation and maturation of natural killer (NK)
cells in synergy with IL15. May regulate proliferation of mature
B- and T-cells in response to activating stimuli. In synergy with
IL15 and IL18 stimulates interferon gamma production in T-cells
and NK cells. During T-cell mediated immune response may inhibit
dendritic cells (DC) activation and maturation.
Subcellular Localization
Secreted
Description
Boster Bio Anti-IL-21 Antibody (Catalog # A00459). Tested in ELISA, WB, IHC-P applications. This antibody reacts with Human, Mouse, Rat.
Tissue Specificity
Expressed in activated CD4-positive T-cells
but not in CD8-positive T-cells, B-cells, or monocytes.
Short Description
Boster Bio Anti-IL-21 Antibody (Catalog # A00459). Tested in ELISA, WB, ICC applications. This antibody reacts with Human, Mouse, Rat.
Predicted Reactivity
Bovine, Pig
Manufacturer - Cross Reactivity
At least two isoforms of IL-21 are known to exist; this antibody will detect both isoforms. IL-21 antibody is predicted to not cross-react with other members of the interleukin protein family.

Note: The presented information and documents (Manual, Product Datasheet, Safety Datasheet and Certificate of Analysis) correspond to our latest update and should serve for orientational purpose only. We do not guarantee the topicality. We would kindly ask you to make a request for specific requirements, if necessary.

All products are intended for research use only (RUO). Not for human, veterinary or therapeutic use.

Amount: 0.1 mg
Available: In stock
available

Compare

Add to wishlist

Get an offer

Request delivery time

Ask a technical question

Submit a bulk request

Questions about this Product?