Comparison

Anti-Trk B (phospho-Y515) NTRK2 Antibody European Partner

Item no. BOS-A01388Y515
Manufacturer Boster
Amount 100 ul
Category
Format Liquid
Applications WB, IHC
Specific against Human (Homo sapiens), Mouse (Murine, Mus musculus), Rat (Rattus norvegicus)
Host Rabbit
Alias BDNF/NT-3 growth factors receptor,2.7.10.1,GP145-TrkB,Trk-B,Neurotrophic tyrosine kinase receptor type 2,TrkB tyrosine kinase,Tropomyosin-related kinase B,NTRK2,TRKB
Available
Manufacturer - Category
Primary Antibodies
Storage Conditions
Store at -20°C for one year. For short term storage and frequent use, store at 4°C for up to one month. Avoid repeated freeze-thaw cycles.
Molecular Weight
91999 MW
Clonality
Polyclonal
Application Details
WB: 1:500-1:1000
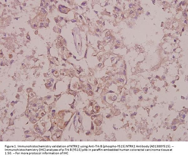
IHC: 1:50-1:200
Gene Name
NTRK2
Gene Full Name
BDNF/NT-3 growth factors receptor
Immunogen
Synthetic phosphopeptide derived from human Trk B around the phosphorylation site of Tyrosine 515.
Contents
Rabbit IgG, 1mg/ml in PBS with 0.02% sodium azide, 50% glycerol, pH7.2
Purification
The antibody was affinity-purified from rabbit antiserum by affinity-chromatography using epitope-specific immunogen and the purity is > 95% (by SDS-PAGE).
Concentration
1 mg/ml
Protein Name
BDNF/NT-3 growth factors receptor
Protein Function
Receptor tyrosine kinase involved in the development and
the maturation of the central and the peripheral nervous systems
through regulation of neuron survival, proliferation, migration,
differentiation, and synapse formation and plasticity. Receptor
for BDNF/brain-derived neurotrophic factor and NTF4/neurotrophin-
4. Alternatively can also bind NTF3/neurotrophin-3 which is less
efficient in activating the receptor but regulates neuron survival
through NTRK2. Upon ligand-binding, undergoes homodimerization,
autophosphorylation and activation. Recruits, phosphorylates
and/or activates several downstream effectors including SHC1,
FRS2, SH2B1, SH2B2 and PLCG1 that regulate distinct overlapping
signaling cascades. Through SHC1, FRS2, SH2B1, SH2B2 activates the
GRB2-Ras-MAPK cascade that regulates for instance neuronal
differentiation including neurite outgrowth. Through the same
effectors controls the Ras-PI3 kinase-AKT1 signaling cascade that
mainly regulates growth and survival. Through PLCG1 and the
downstream protein kinase C-regulated pathways controls synaptic
plasticity. Thereby, plays a role in learning and memory by
regulating both short term synaptic function and long-term
potentiation. PLCG1 also leads to NF-Kappa-B activation and the
transcription of genes involved in cell survival. Hence, it is
able to suppress anoikis, the apoptosis resulting from loss of
cell-matrix interactions. May also play a role in neutrophin-
dependent calcium signaling in glial cells and mediate
communication between neurons and glia.
Subcellular Localization
Cell membrane
Description
Boster Bio Anti-Trk B (phospho-Y515) NTRK2 Antibody catalog # A01388Y515. Tested in WB, IHC applications. This antibody reacts with Human, Mouse, Rat.
Tissue Specificity
Isoform TrkB is expressed in the central and
peripheral nervous system. In the central nervous system (CNS),
expression is observed in the cerebral cortex, hippocampus,
thalamus, choroid plexus, granular layer of the cerebellum, brain
stem, and spinal cord. In the peripheral nervous system, it is
expressed in many cranial ganglia, the ophthalmic nerve, the
vestibular system, multiple facial structures, the submaxillary
glands, and dorsal root ganglia. Isoform TrkB-T1 is mainly
expressed in the brain but also detected in other tissues
including pancreas, kidney and heart. Isoform TrkB-T-Shc is
predominantly expressed in the brain.

Note: The presented information and documents (Manual, Product Datasheet, Safety Datasheet and Certificate of Analysis) correspond to our latest update and should serve for orientational purpose only. We do not guarantee the topicality. We would kindly ask you to make a request for specific requirements, if necessary.

All products are intended for research use only (RUO). Not for human, veterinary or therapeutic use.

Amount: 100 ul
Available: In stock
available

Compare

Add to wishlist

Get an offer

Request delivery time

Ask a technical question

Submit a bulk request

Questions about this Product?