Comparison

Anti-LAMP-2 Antibody European Partner

Item no. BOS-A01573
Manufacturer Boster
Amount 0.1 mg
Category
Format Liquid
Applications WB, ICC, ELISA, IHC-P
Specific against Human (Homo sapiens), Mouse (Murine, Mus musculus)
Host Rabbit
Isotype IgG
Alias Mac3,LGP-B,CD107b,Lamp-2,Lamp II,Lamp-2a,Lamp-2b,Lamp-2c,Lysosome-associated membrane glycoprotein 2,CD107 antigen-like family member B,LAMP-2
Available
Manufacturer - Category
Primary Antibodies
Storage Conditions
LAMP-2 antibody can be stored at 4°C for three months and -20°C, stable for up to one year. Avoid repeated freeze-thaw cycles. Antibodies should not be exposed to prolonged high temperatures.
Molecular Weight
45681 MW
Clonality
Polyclonal
Application Details
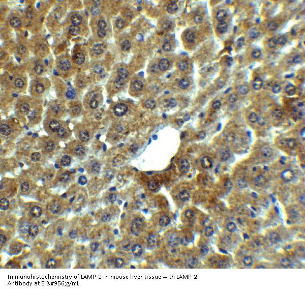
LAMP-2 antibody can be used for the detection of LAMP-2 by Western blot at 1 - 2 μg/mL. Antibody can also be used for immunocytochemistry starting at 10 μg/mL and immunohistochemistry starting at 5 μg/mL.
Antibody validated: Western Blot in human samples; Immunohistochemistry in mouse samples and Immunocytochemistry in human samples. All other applications and species not yet tested. Optimal dilutions for each application should be determined by the researcher.
Gene Name
LAMP2
Gene Full Name
Lysosomal-associated membrane protein 2
Manufacturer - Specificity
LAMP-2 antibody cross reacts with LAMP2B and LAMP2C, but not LAMP2A.
Background
Autophagy, the process of bulk degradation of cellular proteins through an autophagosomic-lysosomal pathway is important for normal growth control and may be defective in tumor cells. It is involved in the preservation of cellular nutrients under starvation conditions as well as the normal turnover of cytosolic components and is negatively regulated by TOR (Target of rapamycin). LAMP-2, a highly glycosylated protein associated with the lysosome, has recently been shown to be important in autophagy as mice deficient in this protein failed to convert autophagic vacuoles into vacuoles leading to impaired degradation of long-lived proteins. This correlates with the finding that human LAMP-2 deficiency causing Danon's disease is associated with the accumulation of autophagic material in striated myocytes. LAMP-2 exists in multiple isoforms.
Immunogen
LAMP-2 antibody was raised against a 17 amino acid synthetic peptide from near the carboxy terminus of human LAMP-2. The immunogen is located within the last 50 amino acids of LAMP-2.
Contents
LAMP-2 Antibody is supplied in PBS containing 0.02% sodium azide.
Purification
LAMP-2 Antibody is affinity chromatography purified via peptide column.
Concentration
1 mg/mL
Manufacturer - Research Category
Apoptosis, Autophagy
Protein Name
Lysosomal-associated membrane protein 2
Protein Function
Plays an important role in chaperone-mediated autophagy,
a process that mediates lysosomal degradation of proteins in
response to various stresses and as part of the normal turnover of
proteins with a long biological half-live (PubMed:10972293).
Functions by binding target proteins, such as GAPDH and MLLT11,
and targeting them for lysosomal degradation (By similarity).
Required for the fusion of autophagosomes with lysosomes during
autophagy (PubMed:27628032). Cells that lack LAMP2 express normal
levels of VAMP8, but fail to accumulate STX17 on autophagosomes,
which is the most likely explanation for the lack of fusion
between autophagosomes and lysosomes (PubMed:27628032). Required
for normal degradation of the contents of autophagosomes
(PubMed:10972293, PubMed:12221139). Plays a role in lysosomal
protein degradation in response to starvation (PubMed:27628032).
Required for efficient MHCII-mediated presentation of exogenous
antigens via its function in lysosomal protein degradation;
antigenic peptides generated by proteases in the
endosomal/lysosomal compartment are captured by nascent MHCII
subunits. Is not required for efficient MHCII-mediated
presentation of endogenous antigens (By similarity).
Subcellular Localization
Cell membrane
Description
Boster Bio Anti-LAMP-2 Antibody (Catalog # A01573). Tested in ELISA, WB, ICC, IHC-P applications. This antibody reacts with Human, Mouse.
Tissue Specificity
Detected in liver and kidney (at protein
level). Detected in liver and kidney.
Predicted Reactivity
Chicken, Rat, Bovine
Manufacturer - Cross Reactivity
LAMP-2 antibody cross reacts with LAMP2B and LAMP2C, but not LAMP2A.

Note: The presented information and documents (Manual, Product Datasheet, Safety Datasheet and Certificate of Analysis) correspond to our latest update and should serve for orientational purpose only. We do not guarantee the topicality. We would kindly ask you to make a request for specific requirements, if necessary.

All products are intended for research use only (RUO). Not for human, veterinary or therapeutic use.

Amount: 0.1 mg
Available: In stock
available

Compare

Add to wishlist

Get an offer

Request delivery time

Ask a technical question

Submit a bulk request

Questions about this Product?