Comparison

Anti-TWEAK TNFSF12 Antibody European Partner

Item no. BOS-A02009-2
Manufacturer Boster
Amount 0.1 mg
Category
Format Liquid
Applications WB, IF, ELISA, IHC-P
Specific against Human (Homo sapiens), Mouse (Murine, Mus musculus)
Host Rabbit
Isotype IgG
Alias APO3L,DR3LG,TWEAK,APO3L,UNQ181/PRO207,Tumor necrosis factor ligand superfamily member 12,APO3 ligand
Available
Manufacturer - Category
Primary Antibodies
Storage Conditions
TWEAK antibody can be stored at 4°C for three months and -20°C, stable for up to one year. Avoid repeated freeze-thaw cycles. Antibodies should not be exposed to prolonged high temperatures.
Molecular Weight
27216 MW
Clonality
Polyclonal
Application Details
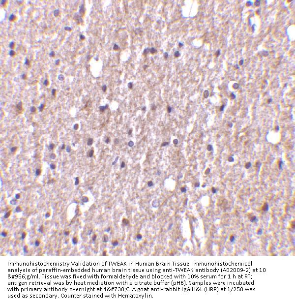
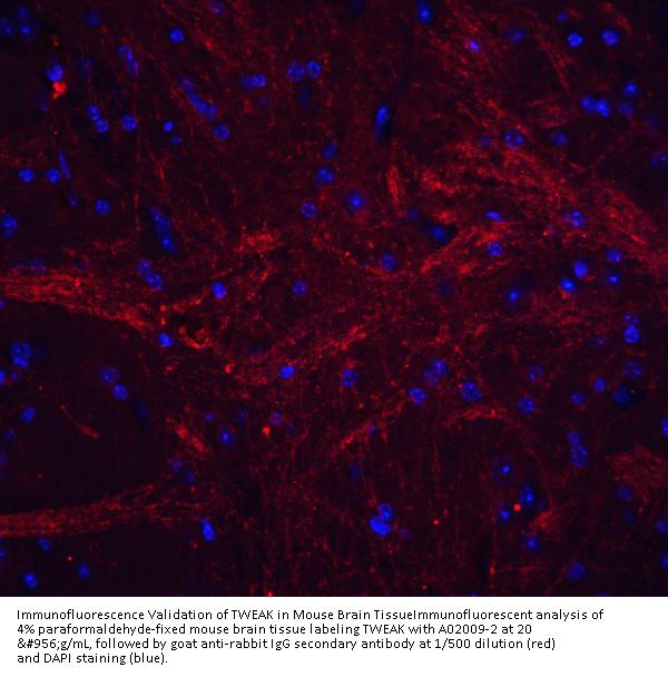
WB: 0.5-4 μg/mL; IHC: 5-10 μg/mL; IF: 20 μg/mL.
Antibody validated: Western Blot in human and mouse samples; Immunohistochemistry in human and mouse samples; Immunofluorescence in mouse samples. All other applications and species not yet tested. Optimal dilutions for each application should be determined by the researcher.
Gene Name
TNFSF12
Gene Full Name
Tumor necrosis factor (ligand) superfamily, member 12
Background
TNF-related weak inducer of apoptosis (TWEAK) is a member of the tumor necrosis factor superfamily (TNFSF) of structurally related cytokines. Like most other members of this family, TWEAK is a cell surface-associated type II transmembrane protein although a smaller, biologically active form can also be generated by cleavage near the cell membrane. TWEAK has multiple biological activities, including stimulation of cell growth and angiogenesis, induction of inflammatory cytokines, in addition to stimulation of apoptosis. The TWEAK signal transduction pathway has not been well established but it appears to signal via TweakR/Fn14 in a manner similar to that described for other TNFSF members that bind receptors lacking death domains.
Immunogen
Anti-TWEAK antibody was raised against recombinant human TWEAK protein.
Contents
TWEAK Antibody is supplied in PBS containing 0.02% sodium azide.
Purification
TWEAK Antibody is Protein A-purified.
Concentration
1 mg/mL
Manufacturer - Research Category
Apoptosis, Cancer
Protein Name
Tumor necrosis factor (ligand) superfamily, member 12
Protein Function
Binds to FN14 and possibly also to TNRFSF12/APO3. Weak
inducer of apoptosis in some cell types. Mediates NF-kappa-B
activation. Promotes angiogenesis and the proliferation of
endothelial cells. Also involved in induction of inflammatory
cytokines. Promotes IL8 secretion.
Subcellular Localization
Cell membrane
Description
Boster Bio Anti-TWEAK TNFSF12 Antibody (Catalog # A02009-2). Tested in ELISA, WB, IHC-P, IF applications. This antibody reacts with Human, Mouse.
Tissue Specificity
Highly expressed in adult heart, pancreas,
skeletal muscle, brain, colon, small intestine, lung, ovary,
prostate, spleen, lymph node, appendix and peripheral blood
lymphocytes. Low expression in kidney, testis, liver, placenta,
thymus and bone marrow. Also detected in fetal kidney, liver, lung
and brain.

Note: The presented information and documents (Manual, Product Datasheet, Safety Datasheet and Certificate of Analysis) correspond to our latest update and should serve for orientational purpose only. We do not guarantee the topicality. We would kindly ask you to make a request for specific requirements, if necessary.

All products are intended for research use only (RUO). Not for human, veterinary or therapeutic use.

Amount: 0.1 mg
Available: In stock
available

Compare

Add to wishlist

Get an offer

Request delivery time

Ask a technical question

Submit a bulk request

Questions about this Product?