Comparison

Anti-CIDE-A Antibody European Partner

Item no. BOS-A02671-1
Manufacturer Boster
Amount 0.1 mg
Quantity options 0.1 mg 0.1 mg
Category
Format Liquid
Applications WB, IF, ELISA, IHC-P
Specific against Human (Homo sapiens), Mouse (Murine, Mus musculus)
Host Rabbit
Isotype IgG
Alias CIDE-A,Cell death activator CIDE-A,Cell death-inducing DFFA-like effector A
Available
Manufacturer - Category
Primary Antibodies
Storage Conditions
CIDE-A antibody can be stored at 4°C up to one year. Antibodies should not be exposed to prolonged high temperatures.
Molecular Weight
24687 MW
Clonality
Polyclonal
Application Details
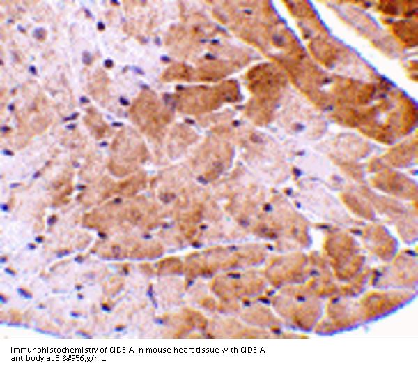
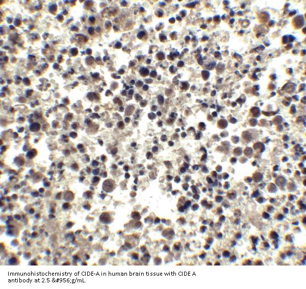
CIDE-A antibody can be used for detection of CIDE-A by Western blot at 0.5 μg/mL. Antibody can also be used for immunohistochemistry starting at 2.5 μg/mL. For immunofluorescence start at 20 μg/mL.
Antibody validated: Western Blot in mouse samples; Immunohistochemistry in human and mouse samples and Immunofluorescence in human and mouse samples. All other applications and species not yet tested. Optimal dilutions for each application should be determined by the researcher.
Gene Name
CIDEA
Gene Full Name
Cell death-inducing DFFA-like effector a
Manufacturer - Specificity
It has no cross activity to CIDE-B.
Background
Apoptosis is related to many diseases and induced by a family of cell death receptors and their ligands. Cell death signals are transduced by death domain containing adapter molecules and members of the caspase family of proteases. These death signals finally cause the degradation of chromosomal DNA by activated DNase. DFF45/ICAD has been identified as inhibitor of caspase activated DNase DFF40/CAD. DFF45 related proteins CIDE-A and CIDE-B (for cell death-inducing DFF-like effector A and B) were recently identified. CIDE contains a new type of domain termed CIDE-N, which has high homology with the regulatory domains of DFF45/ICAD and DFF40/CAD. Expression of CIDE-A induces DNA fragmentation and activates apoptosis, which is inhibited by DFF45. CIDE-A is a DFF45-inhibitable effector that promotes cell death and DNA fragmentation. CIDE-A is expressed in many tissues.
Immunogen
CIDE-A antibody was raised against an 18 amino acid peptide near the carboxy terminus of mouse CIDE-A. The immunogen is located within the last 50 amino acids of CIDE-A.
Contents
CIDE-A Antibody is supplied in PBS containing 0.02% sodium azide.
Purification
CIDE-A Antibody is affinity chromatography purified via peptide column.
Concentration
1 mg/mL
Manufacturer - Research Category
Apoptosis
Protein Name
Cell death-inducing DFFA-like effector a
Protein Function
Acts as a CEBPB coactivator in mammary epithelial cells
to control the expression of a subset of CEBPB downstream target
genes, including ID2, IGF1, PRLR, SOCS1, SOCS3, XDH, but not
casein. By interacting with CEBPB, strengthens the association of
CEBPB with the XDH promoter, increases histone acetylation and
dissociates HDAC1 from the promoter (By similarity). Binds to
lipid droplets and regulates their enlargement, thereby
restricting lipolysis and favoring storage. At focal contact sites
between lipid droplets, promotes directional net neutral lipid
transfer from the smaller to larger lipid droplets. The transfer
direction may be driven by the internal pressure difference
between the contacting lipid droplet pair and occurs at a lower
rate than that promoted by CIDEC. When overexpressed, induces
apoptosis. The physiological significance of its role in apoptosis
is unclear.
Subcellular Localization
Lipid droplet
Description
Boster Bio Anti-CIDE-A Antibody (Catalog # A02671-1). Tested in ELISA, WB, IHC-P, IF applications. This antibody reacts with Human, Mouse.
Tissue Specificity
Expressed in omental and subcutaneous adipose
tissue (at protein level).
Manufacturer - Cross Reactivity
It has no cross activity to CIDE-B.

Note: The presented information and documents (Manual, Product Datasheet, Safety Datasheet and Certificate of Analysis) correspond to our latest update and should serve for orientational purpose only. We do not guarantee the topicality. We would kindly ask you to make a request for specific requirements, if necessary.

All products are intended for research use only (RUO). Not for human, veterinary or therapeutic use.

Amount: 0.1 mg
Available: In stock
available

Compare

Add to wishlist

Get an offer

Request delivery time

Ask a technical question

Submit a bulk request

Questions about this Product?