Comparison

Anti-PEA-15 (D110) Antibody European Partner

Item no. BOS-A02988
Manufacturer Boster
Amount 100 ul
Category
Format Liquid
Applications WB
Specific against Human (Homo sapiens), Mouse (Murine, Mus musculus), Rat (Rattus norvegicus)
Host Rabbit
Alias Astrocytic phosphoprotein PEA-15,15 kDa phosphoprotein enriched in astrocytes,Phosphoprotein enriched in diabetes,PED,PEA15
Available
Manufacturer - Category
Primary Antibodies
Storage Conditions
Store at -20°C for one year. For short term storage and frequent use, store at 4°C for up to one month. Avoid repeated freeze-thaw cycles.
Molecular Weight
15040 MW
Clonality
Polyclonal
Application Details
WB: 1:500-1:1000
Gene Name
PEA15
Gene Full Name
Astrocytic phosphoprotein PEA-15
Immunogen
Synthetic peptide, corresponding to amino acids 78-132 of Human PEA-15.
Contents
Rabbit IgG, 1mg/ml in PBS with 0.02% sodium azide, 50% glycerol, pH7.2
Purification
The antibody was affinity-purified from rabbit antiserum by affinity-chromatography using epitope-specific immunogen and the purity is > 95% (by SDS-PAGE).
Concentration
1 mg/ml
Protein Name
Astrocytic phosphoprotein PEA-15
Protein Function
Blocks Ras-mediated inhibition of integrin activation
and modulates the ERK MAP kinase cascade. Inhibits RPS6KA3
activities by retaining it in the cytoplasm (By similarity).
Inhibits both TNFRSF6- and TNFRSF1A-mediated CASP8 activity and
apoptosis. Regulates glucose transport by controlling both the
content of SLC2A1 glucose transporters on the plasma membrane and
the insulin-dependent trafficking of SLC2A4 from the cell interior
to the surface.
Subcellular Localization
Cytoplasm. Associated with
microtubules.
Description
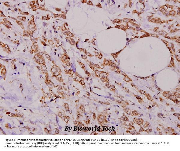
Boster Bio Anti-PEA-15 (D110) Antibody catalog # A02988. Tested in WB applications. This antibody reacts with Human, Mouse, Rat.
Tissue Specificity
Ubiquitously expressed. Most abundant in
tissues such as heart, brain, muscle and adipose tissue which
utilize glucose as an energy source. Lower expression in glucose-
producing tissues. Higher levels of expression are found in
tissues from individuals with type 2 diabetes than in controls.

Note: The presented information and documents (Manual, Product Datasheet, Safety Datasheet and Certificate of Analysis) correspond to our latest update and should serve for orientational purpose only. We do not guarantee the topicality. We would kindly ask you to make a request for specific requirements, if necessary.

All products are intended for research use only (RUO). Not for human, veterinary or therapeutic use.

Amount: 100 ul
Available: In stock
available

Compare

Add to wishlist

Get an offer

Request delivery time

Ask a technical question

Submit a bulk request

Questions about this Product?