Comparison

Anti-APH1A Antibody Picoband® European Partner

Item no. BOS-A04859-1
Manufacturer Boster
Amount 100 ug/vial
Quantity options 100 ug/vial 10 ug 100 ug/vial 100 ug/vial 100 ug/vial 100 ug 100 ug 100 ug 100 ug/vial 100 ug/vial 100 ug/vial 100 ug/vial
Category
Format Lyophilized
Applications WB, FC, IF, IHC
Specific against Human (Homo sapiens), Mouse (Murine, Mus musculus), Rat (Rattus norvegicus)
Host Rabbit
Isotype IgG
Citations 1. Francis, R., McGrath, G., Zhang, J., Ruddy, D. A., Sym, M., Apfeld, J., Nicoll, M., Maxwell, M., Hai, B., Ellis, M. C., Parks, A. L., Xu, W., Li, J., Gurney, M., Myers, R. L., Himes, C. S., Hiebsch, R., Ruble, C., Nye, J. S., Curtis, D. aph-1 and pen-2 are required for Notch pathway signaling, gamma-secretase cleavage of beta-APP, and presenilin protein accumulation. Dev. Cell 3: 85-97, 2002.
2. Goutte, C., Tsunozaki, M., Hale, V. A., Priess, J. R. APH-1 is a multipass membrane protein essential for the Notch signaling pathway in Caenorhabditis elegans embryos. Proc. Nat. Acad. Sci. 99: 775-779, 2002.
3. Goutte, C. Genetics leads the way to the accomplices of presenilins. (Commentary) Dev. Cell 3: 6-7, 2002.
Available
Manufacturer - Category
Primary Antibodies
Storage Conditions
At -20°C for one year from date of receipt.
After reconstitution, at 4°C for one month. It can also be aliquotted and stored frozen at -20°C for six months.
Avoid repeated freezing and thawing.
Observed Molecular weight
29 kDa
Calculated Molecular weight
29 kDa
Clonality
Polyclonal
Application Details
Western blot, 0.25-0.5 μg/ml, Mouse, Rat
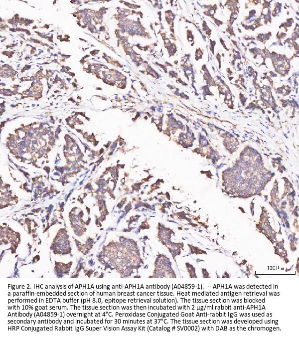
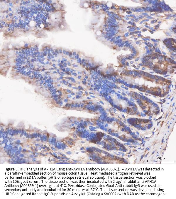
Immunohistochemistry, 2-5 μg/ml, Human, Mouse, Rat
Immunofluorescence, 5 μg/ml, Mouse, Rat
Flow Cytometry (Fixed), 1-3 μg /1x106 cells, Human
Gene Name
APH1A
Background
This gene encodes a component of the gamma secretase complex that cleaves integral membrane proteins such as Notch receptors and beta-amyloid precursor protein. The gamma secretase complex contains this gene product, or the paralogous anterior pharynx defective 1 homolog B (APH1B), along with the presenilin, nicastrin, and presenilin enhancer-2 proteins. The precise function of this seven-transmembrane-domain protein is unknown though it is suspected of facilitating the association of nicastrin and presenilin in the gamma secretase complex as well as interacting with substrates of the gamma secretase complex prior to their proteolytic processing. Polymorphisms in a promoter region of this gene have been associated with an increased risk for developing sporadic Alzheimer's disease. Alternative splicing results in multiple protein-coding and non-protein-coding transcript variants.
Immunogen
A synthetic peptide corresponding to a sequence at the C-terminus of human APH1A, identical to the related mouse sequences.
Contents
Each vial contains 4 mg Trehalose, 0.9 mg NaCl, 0.2 mg Na2HPO4.
Purification
Immunogen affinity purified.
Reconstitution
Adding 0.2 ml of distilled water will yield a concentration of 500 μg/ml.
Concentration
Adding 0.2 ml of distilled water will yield a concentration of 500 μg/ml.
Description
Boster Bio Anti-APH1A Antibody Picoband® catalog # A04859-1. Tested in WB, IHC, IF, Flow Cytometry applications. This antibody reacts with Human, Mouse, Rat. The brand Picoband indicates this is a premium antibody that guarantees superior quality, high affinity, and strong signals with minimal background in Western blot applications. Only our best-performing antibodies are designated as Picoband, ensuring unmatched performance.

Note: The presented information and documents (Manual, Product Datasheet, Safety Datasheet and Certificate of Analysis) correspond to our latest update and should serve for orientational purpose only. We do not guarantee the topicality. We would kindly ask you to make a request for specific requirements, if necessary.

All products are intended for research use only (RUO). Not for human, veterinary or therapeutic use.

Amount: 100 ug/vial
Available: In stock
available

Compare

Add to wishlist

Get an offer

Request delivery time

Ask a technical question

Submit a bulk request

Questions about this Product?