Comparison

Anti-NAAA Antibody Picoband® European Partner

Item no. BOS-A06195-1-Dylight550
Manufacturer Boster
Amount 100 ug
Quantity options 100 ug/vial 10 ug 100 ug 100 ug 100 ug 100 ug 100 ug 100 ug 100 ug 100 ug 100 ug 100 ug
Category
Format Lyophilized
Applications WB, FC, ELISA
Specific against Human (Homo sapiens), Rat (Rattus norvegicus)
Host Rabbit
Isotype IgG
Conjugate/Tag Dylight 550
Citations 1. Hong, S.-B., Li, C.-M., Rhee, H.-J., Park, J.-H., He, X., Levy, B., Yoo, O. J., Schuchman, E. H. Molecular cloning and characterization of a human cDNA and gene encoding a novel acid ceramidase-like protein. Genomics 62: 232-241, 1999.
Alias ELAV-like protein 2,ELAV-like neuronal protein 1,Hu-antigen B,HuB,Nervous system-specific RNA-binding protein Hel-N1,ELAVL2,HUB
Available
Manufacturer - Category
Primary Antibodies
Storage Conditions
At -20°C for one year from date of receipt.
After reconstitution, at 4°C for one month. It can also be aliquotted and stored frozen at -20°C for six months.
Avoid repeated freezing and thawing.
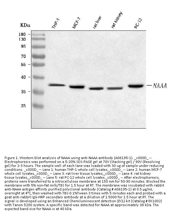
Observed Molecular weight
38 kDa
Calculated Molecular weight
49655 MW
Clonality
Polyclonal
Application Details
Western blot, 0.25-0.5 μg/ml, Human, Rat
Flow Cytometry (Fixed), 1-3 μg/1x106 cells, Human
ELISA, 0.1-0.5 μg/ml
Gene Name
NAAA
Gene Full Name
ELAV like RNA binding protein 2
Background
N-acylethanolamine-hydrolyzing acid amidase is an enzyme that in humans is encoded by the NAAA gene. Enables N-(long-chain-acyl)ethanolamine deacylase activity; N-acylsphingosine amidohydrolase activity; and fatty acid amide hydrolase activity. Involved in several processes, including N-acylethanolamine metabolic process; N-acylphosphatidylethanolamine metabolic process; and sphingosine metabolic process. Located in lysosome. Is extrinsic component of membrane.
Immunogen
E.coli-derived human NAAA recombinant protein (Position: R35-L325).
Contents
Each vial contains 4 mg Trehalose, 0.9 mg NaCl, 0.2 mg Na2HPO4.
Purification
Immunogen affinity purified.
Reconstitution
Adding 0.2 ml of distilled water will yield a concentration of 500 μg/ml.
Concentration
Adding 0.2 ml of distilled water will yield a concentration of 500 μg/ml.
Manufacturer - Research Category
DNA/RNA, Epigenetics and Nuclear Signaling, RNA Processing
Protein Name
AP-2 complex subunit mu
Protein Function
Binds RNA. Seems to recognize a GAAA motif. Can bind to its own 3'-UTR, the FOS 3'-UTR and the ID 3'-UTR.
Subcellular Localization
Cytoplasm. Nucleus. Cytoplasm.
Description
Boster Bio Anti-NAAA Antibody Picoband® catalog # A06195-1. Tested in ELISA, Flow Cytometry, WB applications. This antibody reacts with Human, Rat. The brand Picoband indicates this is a premium antibody that guarantees superior quality, high affinity, and strong signals with minimal background in Western blot applications. Only our best-performing antibodies are designated as Picoband, ensuring unmatched performance.
Tissue Specificity
Brain; neural-specific.
Manufacturer - Cross Reactivity
No cross-reactivity with other proteins.

Note: The presented information and documents (Manual, Product Datasheet, Safety Datasheet and Certificate of Analysis) correspond to our latest update and should serve for orientational purpose only. We do not guarantee the topicality. We would kindly ask you to make a request for specific requirements, if necessary.

All products are intended for research use only (RUO). Not for human, veterinary or therapeutic use.

Amount: 100 ug
Available: In stock
available

Compare

Add to wishlist

Get an offer

Request delivery time

Ask a technical question

Submit a bulk request

Questions about this Product?