Comparison

Anti-POH1/PSMD14 Antibody Picoband® European Partner

Item no. BOS-A06584-1-FITC
Manufacturer Boster
Amount 100 ug/vial
Quantity options 100 ug/vial 10 ug 100 ug/vial 100 ug/vial 100 ug/vial 100 ug 100 ug 100 ug 100 ug/vial 100 ug/vial 100 ug/vial 100 ug/vial
Category
Format Lyophilized
Applications WB, FC, IF, IP, IHC, ICC, ELISA
Specific against Human (Homo sapiens), Mouse (Murine, Mus musculus), Rat (Rattus norvegicus)
Host Rabbit
Isotype IgG
Conjugate/Tag FITC
Citations 1. Spataro, V., Toda, T., Craig, R., Seeger, M., Dubiel, W., Harris, A. L., Norbury, C. Resistance to diverse drugs and ultraviolet light conferred by overexpression of a novel human 26 S proteasome subunit. J. Biol. Chem. 272: 30470-30475, 1997.
2. Yao, T., Cohen, R. E. A cryptic protease couples deubiquitination and degradation by the proteasome. Nature 419: 403-407, 2002.
Alias Semaphorin-3B,Sema A (V),Semaphorin-V,Sema V,SEMA3B,SEMA5,SEMAA
Available
Manufacturer - Category
Primary Antibodies
Storage Conditions
At -20°C for one year from date of receipt.
After reconstitution, at 4°C for one month. It can also be aliquotted and stored frozen at -20°C for six months.
Avoid repeated freezing and thawing.
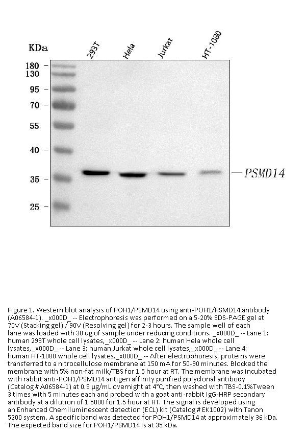
Observed Molecular weight
36 kDa
Calculated Molecular weight
104553 MW
Clonality
Polyclonal
Application Details
Western blot, 0.25-0.5 μg/ml, Human
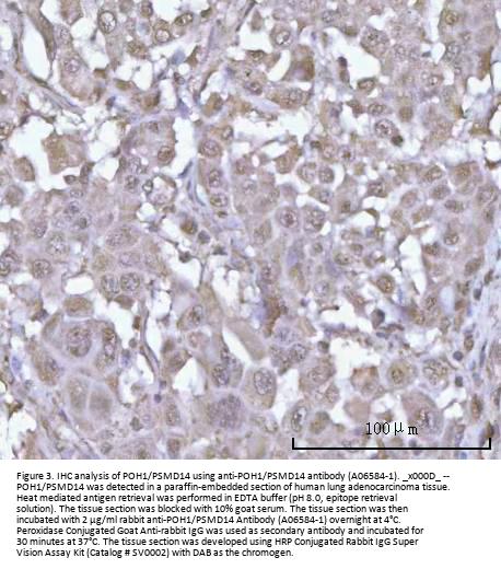
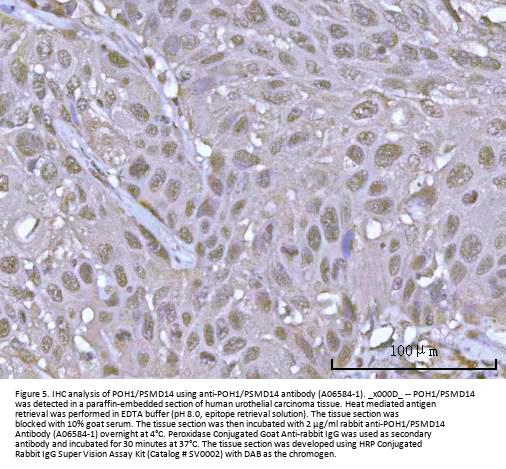
Immunohistochemistry(Paraffin-embedded Section), 2-5 μg/ml, Human, Mouse, Rat
Immunocytochemistry/Immunofluorescence, 5 μg/ml, Human
Immunoprecipitation, 0.5-2 μg/ml, Human
Flow Cytometry (Fixed), 1-3 μg/1x106 cells, Human
ELISA, 0.1-0.5 μg/ml
Gene Name
PSMD14
Gene Full Name
semaphorin 3B
Background
26S proteasome non-ATPase regulatory subunit 14, also known as 26S proteasome non-ATPase subunit Rpn11, is an enzyme that in humans is encoded by the PSMD14 gene. This gene encodes a component of the 26S proteasome. The 26S proteasome is a large multiprotein complex that catalyzes the degradation of ubiquitinated intracellular proteins. The encoded protein is a component of the 19S regulatory cap complex of the 26S proteasome and mediates substrate deubiquitination. A pseudogene of this gene is also located on the long arm of chromosome 2.
Immunogen
E.coli-derived human POH1/PSMD14 recombinant protein (Position: D21-K310).
Contents
Each vial contains 4 mg Trehalose, 0.9 mg NaCl, 0.2 mg Na2HPO4.
Purification
Immunogen affinity purified.
Reconstitution
Adding 0.2 ml of distilled water will yield a concentration of 500 μg/ml.
Concentration
Adding 0.2 ml of distilled water will yield a concentration of 500 μg/ml.
Manufacturer - Research Category
Adapters, Coat Proteins, Cytoplasmic, Protein Trafficking, Signal Transduction, Vesicle Transport
Protein Name
AP-2 complex subunit beta
Protein Function
Inhibits axonal extension by providing local signals to specify territories inaccessible for growing axons.
Subcellular Localization
Endoplasmic reticulum. Secreted.
Description
Boster Bio Anti-POH1/PSMD14 Antibody Picoband® catalog # A06584-1. Tested in ELISA, Flow Cytometry, IP, IF, IHC, ICC, WB applications. This antibody reacts with Human, Mouse, Rat. The brand Picoband indicates this is a premium antibody that guarantees superior quality, high affinity, and strong signals with minimal background in Western blot applications. Only our best-performing antibodies are designated as Picoband, ensuring unmatched performance.
Tissue Specificity
Expressed abundantly but differentially in a variety of neural and nonneural tissues.
Manufacturer - Cross Reactivity
No cross-reactivity with other proteins.

Note: The presented information and documents (Manual, Product Datasheet, Safety Datasheet and Certificate of Analysis) correspond to our latest update and should serve for orientational purpose only. We do not guarantee the topicality. We would kindly ask you to make a request for specific requirements, if necessary.

All products are intended for research use only (RUO). Not for human, veterinary or therapeutic use.

Amount: 100 ug/vial
Available: In stock
available

Compare

Add to wishlist

Get an offer

Request delivery time

Ask a technical question

Submit a bulk request

Questions about this Product?