Comparison

Anti-GK5 Antibody Picoband® European Partner

Item no. BOS-A15997
Manufacturer Boster
Amount 100 ug/vial
Quantity options 100 ug/vial 10 ug 100 ug/vial 100 ug/vial 100 ug/vial 100 ug 100 ug 100 ug 100 ug/vial 100 ug/vial 100 ug/vial 100 ug/vial 100 ug
Category
Format Lyophilized
Applications WB, FC, ELISA
Specific against Human (Homo sapiens)
Host Rabbit
Isotype IgG
Citations 1. Stumpf, A. M. Personal Communication. Baltimore, Md. 04/26/2024.
2. Zhang, D., Tomisato, W., Su, L., Sun, L., Choi, J. H., Zhang, Z., Wang, K., Zhan, X., Choi, M., Li, X., Tang, M., Castro-Perez, J. M., Hildebrand, S., Murray, A. R., Moresco, E. M. Y., Beutler, B. Skin-specific regulation of SREBP processing and lipid biosynthesis by glycerol kinase 5. Proc. Nat. Acad. Sci. 114: E5197-E5206, 2017.
Available
Manufacturer - Category
Primary Antibodies
Storage Conditions
At -20°C for one year from date of receipt.
After reconstitution, at 4°C for one month. It can also be aliquotted and stored frozen at -20°C for six months.
Avoid repeated freezing and thawing.
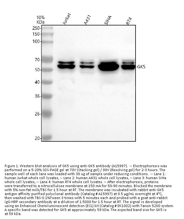
Observed Molecular weight
59 kDa
Calculated Molecular weight
59 kDa
Clonality
Polyclonal
Application Details
Western blot, 0.25-0.5 μg/ml, Human
Flow Cytometry (Fixed), 1-3 μg/1x106 cells, Human
ELISA, 0.1-0.5 μg/ml
Gene Name
GK5
Background
Glycerol kinase 5 (GK5), encoded by the GK5 gene, is a member of the glycerol kinase family involved in glycerol metabolism. While its specific functions are still being elucidated, GK5 is implicated in various physiological processes such as energy metabolism and lipid homeostasis, warranting further investigation into its role and potential implications in health and disease.
Immunogen
E.coli-derived human GK5 recombinant protein (Position: D37-K402). Human GK5 shares 82.2% amino acid (aa) sequence identity with mouse GK5.
Contents
Each vial contains 4 mg Trehalose, 0.9 mg NaCl, 0.2 mg Na2HPO4.
Purification
Immunogen affinity purified.
Reconstitution
Adding 0.2 ml of distilled water will yield a concentration of 500 μg/ml.
Concentration
Adding 0.2 ml of distilled water will yield a concentration of 500 μg/ml.
Description
Boster Bio Anti-GK5 Antibody Picoband® catalog # A15997. Tested in WB, Flow Cytometry, ELISA applications. This antibody reacts with Human. The brand Picoband indicates this is a premium antibody that guarantees superior quality, high affinity, and strong signals with minimal background in Western blot applications. Only our best-performing antibodies are designated as Picoband, ensuring unmatched performance.

Note: The presented information and documents (Manual, Product Datasheet, Safety Datasheet and Certificate of Analysis) correspond to our latest update and should serve for orientational purpose only. We do not guarantee the topicality. We would kindly ask you to make a request for specific requirements, if necessary.

All products are intended for research use only (RUO). Not for human, veterinary or therapeutic use.

Amount: 100 ug/vial
Available: In stock
available

Compare

Add to wishlist

Get an offer

Request delivery time

Ask a technical question

Submit a bulk request

Questions about this Product?