Comparison

Anti-Transferrin Purified Azide Free TF Monoclonal Antibody European Partner

Item no. BOS-M00094-1
Manufacturer Boster
Amount 0.1 mg
Category
Type Antibody Monoclonal
Format Liquid
Applications WB, ICC, ELISA, IHC-P, FA, IA
Clone HTF-14
Specific against Human (Homo sapiens), Rabbit (Oryctolagus cuniculus), Pig (Porcine, Sus scrofa domesticus)
Host Mouse
Isotype IgG1
ECLASS 10.1 42030590
ECLASS 11.0 42030590
UNSPSC 12352203
Alias TFQTL1,PRO1557,PRO2086
Available
Manufacturer - Applications
WB, IHC-P, ICC, ELISA, RIA, Functional Assay
Manufacturer - Category
Primary Antibodies
Storage Conditions
Store at 2-8°C. Do not freeze.
Molecular Weight
77064 MW
Clonality
Monoclonal
Application Details
Functional application: The antibody HTF-14 blocks binding of transferrin to its receptor.
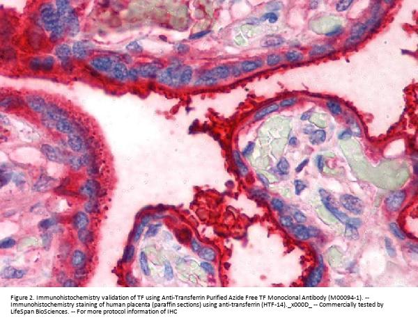
Immunohistochemistry (paraffin sections): 10 μg/ml; positive tissue: placenta.
Western blotting: non-reducing conditions, recommended dilution: 1-2 μg/ml.
Gene Name
TF
Gene Full Name
Transferrin
Background
Transferrin is a monomeric glycoprotein of approximately 77 kDa, which serves as an iron-transporter. In normal plasma, transferrin has a concentration of 25-50 µmol / liter, and is usually about one-third saturated with iron, thus providing a large buffering capacity in case of an acute increase in plasma iron levels. Cells take up transferrin-iron complexes (holotransferrin) using transferrin receptor dimers. Upon binding of holotransferrin, the receptor is internalized by clathrin-mediated endocytosis. Acidification of endosomes by vesicular membrane proton pumps leads to dissociation of iron ions, whereas transferrin (apotransferrin) remains associated with its receptor (CD71) and recycles to the cell surface, where apotransferrin is released upon exposure to normal pH. Internalization of labeled transferrin thus represents an usefull approach to study endocytosis. Serum concentration rises in iron deficiency and pregnancy and falls in iron overload, infection and inflammatory conditions. Iron/transferrin complex is essential in haemoglobin synthesis and for certain types of cell division.
Immunogen
Purified porcine transferrin. The antibody HTF-14 recognizes an epitope located in the N-terminal domain of human serum transferrin, a 77 kDa single polypeptide chain glycoprotein (member of the iron binding family of proteins). It is synthesised in the liver and consists of two domains each having a high affinity reversible binding site for Fe3+.
Contents
Phosphate buffered saline (PBS), pH 7.4, azide-free
Purification
Purified by protein-A affinity chromatography.
Concentration
1 mg/ml
Protein Name
Serotransferrin
Protein Function
Transferrins are iron binding transport proteins which
can bind two Fe (3+) ions in association with the binding of an
anion, usually bicarbonate. It is responsible for the transport of
iron from sites of absorption and heme degradation to those of
storage and utilization. Serum transferrin may also have a further
role in stimulating cell proliferation.
Subcellular Localization
Secreted.
Description
Boster Bio Anti-Transferrin Purified Azide Free TF Monoclonal Antibody (Catalog# M00094-1). Tested in WB, IHC-P, ICC, ELISA, RIA, Functional Assay application(s). This antibody reacts with Human, Pig, Rabbit.
Tissue Specificity
Expressed by the liver and secreted in plasma.

Note: The presented information and documents (Manual, Product Datasheet, Safety Datasheet and Certificate of Analysis) correspond to our latest update and should serve for orientational purpose only. We do not guarantee the topicality. We would kindly ask you to make a request for specific requirements, if necessary.

All products are intended for research use only (RUO). Not for human, veterinary or therapeutic use.

Amount: 0.1 mg
Available: In stock
available

Compare

Add to wishlist

Get an offer

Request delivery time

Ask a technical question

Submit a bulk request

Questions about this Product?