Comparison

Anti-Ki 67 MKI67 Monoclonal Antibody European Partner

Item no. BOS-M00254-7
Manufacturer Boster
Amount 100 ul
Category
Type Antibody Monoclonal
Format Liquid
Applications WB, IF, IHC, ELISA
Clone 4A8
Specific against Human (Homo sapiens)
Host Mouse
Isotype IgG
ECLASS 10.1 42030590
ECLASS 11.0 42030590
UNSPSC 12352203
Alias Proliferation marker protein Ki-67,Antigen identified by monoclonal antibody Ki-67
Available
Manufacturer - Category
Primary Antibodies
Storage Conditions
Store at -20°C for one year. For short term storage and frequent use, store at 4°C for up to one month. Avoid repeated freeze-thaw cycles.
Molecular Weight
358694 MW
Clonality
Monoclonal
Application Details
IHC 1:200-1000
WB 1:500-2000
IF 1:100-500
ELISA 1:1000-5000
Gene Name
MKI67
Gene Full Name
Proliferation marker protein Ki-67
Immunogen
Synthesized peptide derived from human Ki-67 AA range: 1200-1400
Contents
Liquid in PBS containing 50% glycerol, 0.5% BSA and 0.02% sodium azide.
Purification
The antibody was affinity-purified from mouse ascites by affinity-chromatography using specific immunogen.
Concentration
1 mg/ml
Protein Name
Proliferation marker protein Ki-67
Protein Function
Required to maintain individual mitotic chromosomes
dispersed in the cytoplasm following nuclear envelope disassembly
(PubMed:27362226). Associates with the surface of the mitotic
chromosome, the perichromosomal layer, and covers a substantial
fraction of the chromosome surface (PubMed:27362226). Prevents
chromosomes from collapsing into a single chromatin mass by
forming a steric and electrostatic charge barrier: the protein has
a high net electrical charge and acts as a surfactant, dispersing
chromosomes and enabling independent chromosome motility
(PubMed:27362226). Binds DNA, with a preference for supercoiled
DNA and AT-rich DNA (PubMed:10878551). Does not contribute to the
internal structure of mitotic chromosomes (By similarity). May
play a role in chromatin organization (PubMed:24867636). It is
however unclear whether it plays a direct role in chromatin
organization or whether it is an indirect consequence of its
function in maintaining mitotic chromosomes dispersed (Probable).
Subcellular Localization
Chromosome
Description
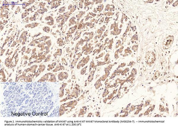
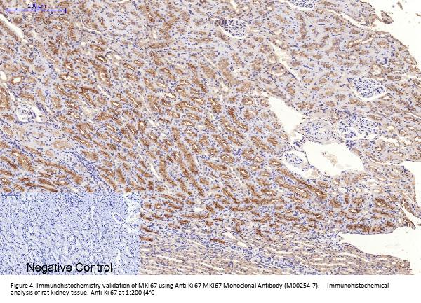
Boster Bio Anti-Ki 67 MKI67 Monoclonal Antibody catalog # M00254-7. Tested in IHC, WB, IF, ELISA applications. This antibody reacts with Human.
Short Description
Boster Bio Anti-Ki 67 MKI67 Monoclonal Antibody catalog # M00254-7. Tested in IHC applications. This antibody reacts with Human, Mouse, Rat.

Note: The presented information and documents (Manual, Product Datasheet, Safety Datasheet and Certificate of Analysis) correspond to our latest update and should serve for orientational purpose only. We do not guarantee the topicality. We would kindly ask you to make a request for specific requirements, if necessary.

All products are intended for research use only (RUO). Not for human, veterinary or therapeutic use.

Amount: 100 ul
Available: In stock
available

Compare

Add to wishlist

Get an offer

Request delivery time

Ask a technical question

Submit a bulk request

Questions about this Product?