Comparison

Anti-PPARA Antibody European Partner

Item no. BOS-M00600-80ul
Manufacturer Boster
Amount 80 ul
Quantity options 400 ul 80 ul
Category
Type Antibody Monoclonal
Applications WB, FC, IF, IHC-P
Clone 1331CT894.186.143
Specific against Human (Homo sapiens), Mouse (Murine, Mus musculus)
Host Mouse
Isotype IgG1 Kappa
ECLASS 10.1 42030590
ECLASS 11.0 42030590
UNSPSC 12352203
Alias Peroxisome proliferator-activated receptor alpha,PPAR-alpha,Nuclear receptor subfamily 1 group C member 1,PPARA,NR1C1,PPAR
Available
Manufacturer - Category
Primary Antibodies
Storage Conditions
Maintain refrigerated at 2-8°C for up to 2 weeks. For long-term storage, store at -20°C in small aliquots to prevent freeze-thaw cycles.
Molecular Weight
52225 Da
Clonality
Monoclonal
Application Details
IF: 1:25
WB: 1:1000
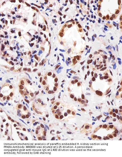
IHC-P: 1:25
FC: 1:25
Gene Name
PPARA
Background
Ligand-activated transcription factor. Key regulator of lipid metabolism. Activated by the endogenous ligand 1-palmitoyl- 2-oleoyl-sn-glycerol-3-phosphocholine (16:0/18:1-GPC). Activated by oleylethanolamide, a naturally occurring lipid that regulates satiety (By similarity). Receptor for peroxisome proliferators such as hypolipidemic drugs and fatty acids. Regulates the peroxisomal beta-oxidation pathway of fatty acids. Functions as transcription activator for the ACOX1 and P450 genes. Transactivation activity requires heterodimerization with RXRA and is antagonized by NR2C2.
Immunogen
This PPARA antibody is generated from a mouse immunized with a recombination protein from the human region of human PPARA.
Contents
Purified monoclonal antibody supplied in PBS with 0.09% (W/V) sodium azide.
Purification
This antibody is purified through a protein G column, followed by dialysis against PBS.
Manufacturer - Research Category
Cancer, Cardiovascular, Metabolism, TLR Signaling
Protein Function
Ligand-activated transcription factor. Key regulator of lipid metabolism. Activated by the endogenous ligand 1-palmitoyl-2-oleoyl-sn- glycerol-3-phosphocholine (16:0/18:1-GPC). Activated by oleylethanolamide, a naturally occurring lipid that regulates satiety. Receptor for peroxisome proliferators such as hypolipidemic drugs and fatty acids. Regulates the peroxisomal beta-oxidation pathway of fatty acids. Functions as transcription activator for the ACOX1 and P450 genes. Transactivation activity requires heterodimerization with RXRA and is antagonized by NR2C2. May be required for the propagation of clock information to metabolic pathways regulated by PER2.
Subcellular Localization
Nucleus.
Description
Boster Bio Anti-PPARA Antibody (Catalog # M00600). Tested in IHC-P, IF, Flow Cytometry, WB application(s). This antibody reacts with Human, Mouse.
Tissue Specificity
Skeletal muscle, liver, heart and kidney. Expressed in monocytes (PubMed:28167758).

Note: The presented information and documents (Manual, Product Datasheet, Safety Datasheet and Certificate of Analysis) correspond to our latest update and should serve for orientational purpose only. We do not guarantee the topicality. We would kindly ask you to make a request for specific requirements, if necessary.

All products are intended for research use only (RUO). Not for human, veterinary or therapeutic use.

Amount: 80 ul
Available: In stock
available

Compare

Add to wishlist

Get an offer

Request delivery time

Ask a technical question

Submit a bulk request

Questions about this Product?