Comparison

Anti-ATP5H Antibody Picoband® European Partner

Item no. BOS-PB9328-Dylight488
Manufacturer Boster
Amount 100 ug
Quantity options 100 ug/vial 10 ug 100 ug 100 ug 100 ug 100 ug 100 ug 100 ug 100 ug 100 ug 100 ug 100 ug 100 ug
Category
Type Antibody Polyclonal
Format Lyophilized
Applications WB, IF, IHC, ICC
Specific against Human (Homo sapiens), Mouse (Murine, Mus musculus), Rat (Rattus norvegicus), Monkey (Cynomolgus, Simian)
Host Rabbit
Isotype IgG
Conjugate/Tag DyLight 488
Sensitivity <5 pg/ml
Sequence Belongs to the apolipoprotein A1/A4/E family.
Citations 1. Boada M, et al. ATP5H/KCTD2 locus is associated with Alzheimer's disease risk. Mol Psychiatry, 2014 Jun.
2. Kim DW, et al. Identification of mitochondrial F(1)F(0)-ATP synthase interacting with galectin-3 in colon cancer cells. Cancer Sci, 2008 Oct.
ECLASS 10.1 32160702
ECLASS 11.0 32160702
UNSPSC 12352203
Alias ATP synthase subunit d,mitochondrial,ATPase subunit d,ATP5H,My032
Available
Manufacturer - Category
Primary Antibodies
Storage Conditions
Store at -20°C for one year from date of receipt. After reconstitution, at 4°C for one month. It can also be aliquotted and stored frozen at -20°C for six months. Avoid repeated freeze-thaw cycles.
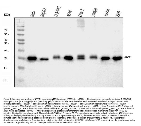
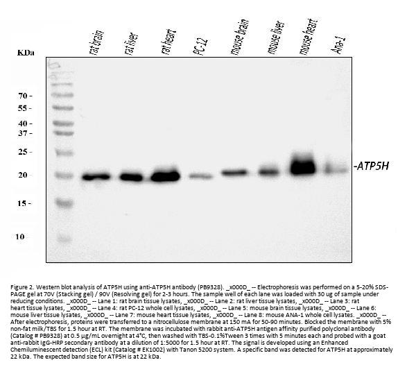
Observed Molecular weight
22 kDa
Calculated Molecular weight
18491 MW
Clonality
Polyclonal
Application Details
Western blot, 0.1-0.5μg/ml
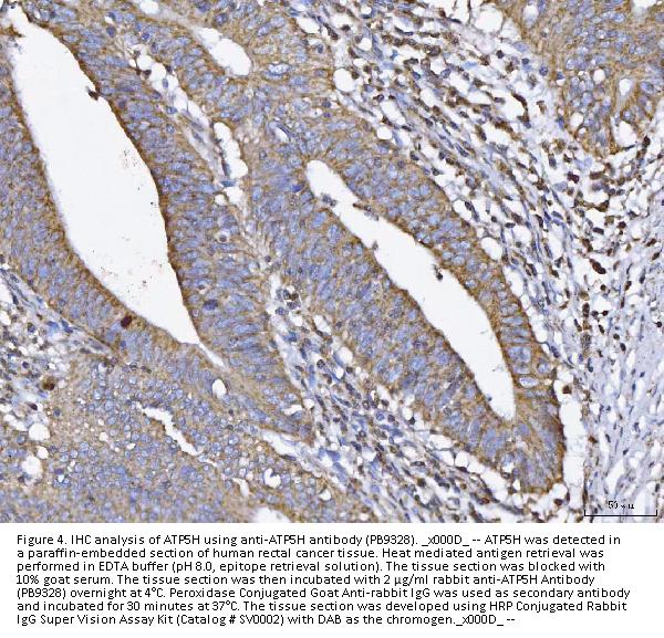
Immunohistochemistry (Paraffin-embedded Section), 2-5μg/ml
Immunocytochemistry/Immunofluorescence, 5μg/ml
Gene Name
ATP5H
Gene Full Name
ATP synthase subunit d, mitochondrial
Manufacturer - Specificity
No cross reactivity with other proteins.
Background
ATP5H is also known as ATPQ. Mitochondrial ATP synthase catalyzes ATP synthesis, utilizing an electrochemical gradient of protons across the inner membrane during oxidative phosphorylation. It is composed of two linked multi-subunit complexes: the soluble catalytic core, F1, and the membrane-spanning component, Fo, which comprises the proton channel. The F1 complex consists of 5 different subunits (alpha, beta, gamma, delta, and epsilon) assembled in a ratio of 3 alpha, 3 beta, and a single representative of the other 3. The Fo seems to have nine subunits (a, b, c, d, e, f, g, F6 and 8). This gene encodes the d subunit of the Fo complex. Alternatively spliced transcript variants encoding different isoforms have been identified for this gene. In addition, three pseudogenes are located on chromosomes 9, 12 and 15.
Immunogen
E.coli-derived human ATP5H recombinant protein (Position: A2-L161). Human ATP5H shares 81% and 78% amino acid (aa) sequence identity with mouse and rat ATP5H, respectively.
Contents
Each vial contains 4 mg Trehalose, 0.9 mg NaCl and 0.2 mg Na2HPO4.
Purification
Immunogen affinity purified.
Reconstitution
Add 0.2ml of distilled water will yield a concentration of 500ug/ml.
Concentration
Adding 0.2 ml of distilled water will yield a concentration of 500 μg/ml.
Manufacturer - Research Category
Mitochondria, Mitochondrial, Mitochondrial Markers, Mitochondrial Metabolism, Organelles, Oxidative Phosphorylation, Pathways and Processes, Signal Transduction, Subcellular Markers, Tags & Cell Markers
Protein Name
ATP synthase subunit d, mitochondrial
Protein Function
Mitochondrial membrane ATP synthase (F (1)F (0) ATP synthase or Complex V) produces ATP from ADP in the presence of a proton gradient across the membrane which is generated by electron transport complexes of the respiratory chain. F-type ATPases consist of two structural domains, F (1) - containing the extramembraneous catalytic core, and F (0) - containing the membrane proton channel, linked together by a central stalk and a peripheral stalk. During catalysis, ATP synthesis in the catalytic domain of F (1) is coupled via a rotary mechanism of the central stalk subunits to proton translocation. Part of the complex F (0) domain and the peripheric stalk, which acts as a stator to hold the catalytic alpha (3)beta (3) subcomplex and subunit a/ATP6 static relative to the rotary elements.
Subcellular Localization
Mitochondrion. Mitochondrion inner membrane.
Description
Boster Bio Anti-ATP5H Antibody Picoband® catalog # PB9328. Tested in IF, IHC, ICC, WB applications. This antibody reacts with Human, Monkey, Mouse, Rat. The brand Picoband indicates this is a premium antibody that guarantees superior quality, high affinity, and strong signals with minimal background in Western blot applications. Only our best-performing antibodies are designated as Picoband, ensuring unmatched performance.
Tissue Specificity
Occurs in all lipoprotein fractions in plasma. It constitutes 10-20% of very low density lipoproteins (VLDL) and 1-2% of high density lipoproteins (HDL). APOE is produced in most organs. Significant quantities are produced in liver, brain, spleen, lung, adrenal, ovary, kidney and muscle.
Sequence Similarities
Belongs to the apolipoprotein A1/A4/E family.
Manufacturer - Cross Reactivity
No cross-reactivity with other proteins

Note: The presented information and documents (Manual, Product Datasheet, Safety Datasheet and Certificate of Analysis) correspond to our latest update and should serve for orientational purpose only. We do not guarantee the topicality. We would kindly ask you to make a request for specific requirements, if necessary.

All products are intended for research use only (RUO). Not for human, veterinary or therapeutic use.

Amount: 100 ug
Available: In stock
available

Compare

Add to wishlist

Get an offer

Request delivery time

Ask a technical question

Submit a bulk request

Questions about this Product?