Comparison

Anti-LYRIC/MTDH Antibody Picoband® European Partner

Item no. BOS-PB9338-Biotin
Manufacturer Boster
Amount 100 ug
Quantity options 100 ug/vial 10 ug 100 ug 100 ug 100 ug 100 ug 100 ug 100 ug 100 ug 100 ug 100 ug 100 ug 100 ug
Category
Type Antibody Polyclonal
Format Lyophilized
Applications WB, IHC, ICC
Specific against Human (Homo sapiens), Mouse (Murine, Mus musculus), Rat (Rattus norvegicus)
Host Rabbit
Isotype IgG
Conjugate/Tag Biotin
Sensitivity <5 pg/ml
Sequence Belongs to the chaperonin (HSP60) family.
Citations 1. Brown DM, Ruoslahti E (April 2004). Metadherin, a cell surface protein in breast tumors that mediates lung metastasis. Cancer Cell 5 (4): 365–74.
2. Hu G, Chong RA, Yang Q, Wei Y, Blanco MA, Li F, Reiss M, Au JL, Haffty BG, Kang Y (January 2009). MTDH activation by 8q22 genomic gain promotes chemoresistance and metastasis of poor-prognosis breast cancer. Cancer Cell 15 (1): 9–20.
3. Yoo BK, Emdad L, Lee SG, Su ZZ, Santhekadur P, Chen D, Gredler R, Fisher PB, Sarkar D (January 2011).Astrocyte elevated gene-1 (AEG-1): A multifunctional regulator of normal and abnormal physiology.Pharmacol Ther 130 (1): 1–8.
ECLASS 10.1 32160702
ECLASS 11.0 32160702
UNSPSC 12352203
Alias Protein LYRIC,3D3/LYRIC,Astrocyte elevated gene-1 protein,AEG-1,Lysine-rich CEACAM1 co-isolated protein,Metadherin,Metastasis adhesion protein,MTDH,AEG1,LYRIC
Available
Manufacturer - Category
Primary Antibodies
Storage Conditions
Store at -20°C for one year from date of receipt. After reconstitution, at 4°C for one month. It can also be aliquotted and stored frozen at -20°C for six months. Avoid repeated freeze-thaw cycles.
Observed Molecular weight
70-80 kDa
Calculated Molecular weight
63837 MW
Clonality
Polyclonal
Application Details
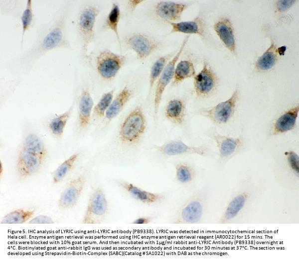
Immunohistochemistry (Paraffin-embedded Section), 0.5-1μg/ml
Immunocytochemistry, 0.5-1μg/ml
Western blot, 0.1-0.5μg/ml
Gene Name
MTDH
Gene Full Name
Protein LYRIC
Manufacturer - Specificity
No cross reactivity with other proteins.
Background
MTDH (Metadherin), also known as protein LYRIC or astrocyte elevated gene-1 protein (AEG-1) is a protein that in humans is encoded by the MTDH gene. AEG-1 is involved in HIF-1alpha mediated angiogenesis. AEG-1 also interacts with SND1 and involved in RNA-induced silencing complex (RISC) and plays very important role in RISC and miRNA functions. AEG-1 induces an oncogene called Late SV40 factor (LSF/TFCP2) which is involved in thymidylate synthase (TS) induction and DNA biosynthesis synthesis. Late SV40 factor (LSF/TFCP2) enhances angiogenesis by transcriptionally up-regulating matrix metalloproteinase-9 (MMP9). AEG-1 acts as an oncogene in melanoma, malignant glioma, breast cancer and hepatocellular carcinoma. It is highly expressed in these cancers and helps in progression and development of these cancers. It is induced by c-Myc oncogene and plays very important role in anchorage independent growth of cancer cells.
Immunogen
E.coli-derived human LYRIC recombinant protein (Position: D101-Q270). Human LYRIC shares 94% amino acid (aa) sequence identity with both mouse and rat LYRIC.
Contents
Each vial contains 5mg BSA, 0.9mg NaCl, 0.2mg Na2HPO4, 0.05mg NaN3.
Purification
Immunogen affinity purified.
Reconstitution
Add 0.2ml of distilled water will yield a concentration of 500ug/ml.
Concentration
Adding 0.2 ml of distilled water will yield a concentration of 500 μg/ml.
Manufacturer - Research Category
Actin, etc., Cancer, Cell Adhesion, Cytoskeleton, Cytoskeleton/ECM, Microfilaments, Oncoproteins, Oncoproteins/Suppressors, Signal Transduction, Tight Junctions
Protein Name
Protein LYRIC
Protein Function
Downregulates SLC1A2/EAAT2 promoter activity when expressed ectopically. Activates the nuclear factor kappa-B (NF- kappa-B) transcription factor. Promotes anchorage-independent growth of immortalized melanocytes and astrocytes which is a key component in tumor cell expansion. Promotes lung metastasis and also has an effect on bone and brain metastasis, possibly by enhancing the seeding of tumor cells to the target organ endothelium. Induces chemoresistance.
Subcellular Localization
Endoplasmic reticulum membrane; Single-pass membrane protein. Nucleus membrane; Single-pass membrane protein. Cell junction, tight junction. Nucleus, nucleolus. Cytoplasm, perinuclear region. In epithelial cells, recruited to tight junctions (TJ) during the maturation of the TJ complexes. A nucleolar staining may be due to nuclear targeting of an isoform lacking the transmembrane domain (By similarity). TNF-alpha causes translocation from the cytoplasm to the nucleus.
Description
Boster Bio Anti-LYRIC/MTDH Antibody Picoband® catalog # PB9338. Tested in IHC, ICC, WB applications. This antibody reacts with Human, Mouse, Rat. The brand Picoband indicates this is a premium antibody that guarantees superior quality, high affinity, and strong signals with minimal background in Western blot applications. Only our best-performing antibodies are designated as Picoband, ensuring unmatched performance.
Tissue Specificity
Widely expressed with highest levels in muscle-dominating organs such as skeletal muscle, heart, tongue and small intestine and in endocrine glands such as thyroid and adrenal gland. Overexpressed in various cancers including breast, brain, prostate, melanoma and glioblastoma multiforme.
Sequence Similarities
Belongs to the chaperonin (HSP60) family.
Manufacturer - Cross Reactivity
No cross-reactivity with other proteins

Note: The presented information and documents (Manual, Product Datasheet, Safety Datasheet and Certificate of Analysis) correspond to our latest update and should serve for orientational purpose only. We do not guarantee the topicality. We would kindly ask you to make a request for specific requirements, if necessary.

All products are intended for research use only (RUO). Not for human, veterinary or therapeutic use.

Amount: 100 ug
Available: In stock
available

Compare

Add to wishlist

Get an offer

Request delivery time

Ask a technical question

Submit a bulk request

Questions about this Product?