Comparison

Anti-N myc interactor/NMI Antibody Picoband® European Partner

Item no. BOS-PB9340-Dylight594
Manufacturer Boster
Amount 100 ug
Quantity options 100 ug/vial 10 ug 100 ug 100 ug 100 ug 100 ug 100 ug 100 ug 100 ug 100 ug 100 ug 100 ug 100 ug
Category
Type Antibody Polyclonal
Format Lyophilized
Applications WB, FC, IF, IHC, ICC
Specific against Human (Homo sapiens)
Host Rabbit
Isotype IgG
Conjugate/Tag DyLight 594
Sensitivity <5 pg/ml
Citations 1. Albihn A, et al. Camptothecin-induced apoptosis is enhanced by Myc and involves PKCdelta signaling. Int J Cancer, 2007 Oct 15.
2. Fillmore RA, et al. Nmi (N-Myc interactor) inhibits Wnt/beta-catenin signaling and retards tumor growth. Int J Cancer, 2009 Aug 1.
3. Lebrun SJ, et al. Interferon-induced upregulation and cytoplasmic localization of Myc-interacting protein Nmi. J Interferon Cytokine Res, 1998 Sep.
ECLASS 10.1 32160702
ECLASS 11.0 32160702
UNSPSC 12352203
Alias N-myc-interactor,Nmi,N-myc and STAT interactor,NMI
Available
Manufacturer - Category
Primary Antibodies
Storage Conditions
Store at -20°C for one year from date of receipt. After reconstitution, at 4°C for one month. It can also be aliquotted and stored frozen at -20°C for six months. Avoid repeated freeze-thaw cycles.
Observed Molecular weight
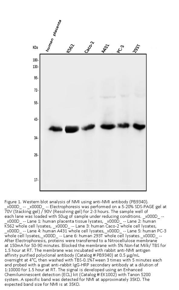
35 kDa
Calculated Molecular weight
35057 MW
Clonality
Polyclonal
Application Details
Western blot, 0.1-0.5μg/ml, Human
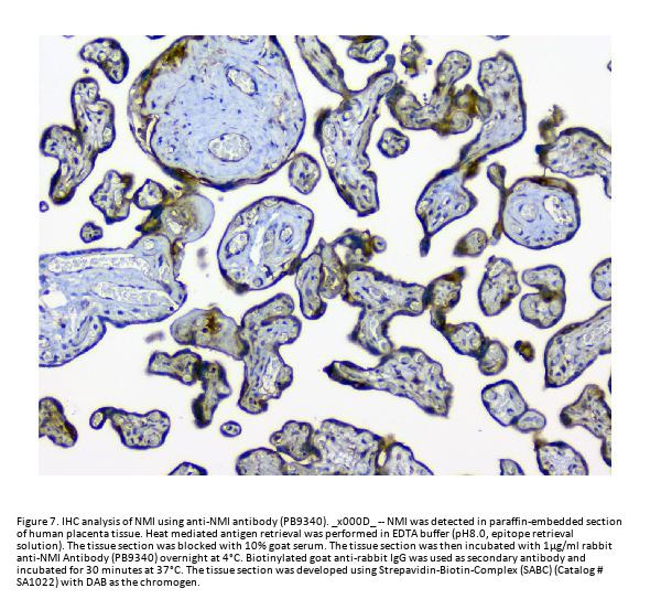
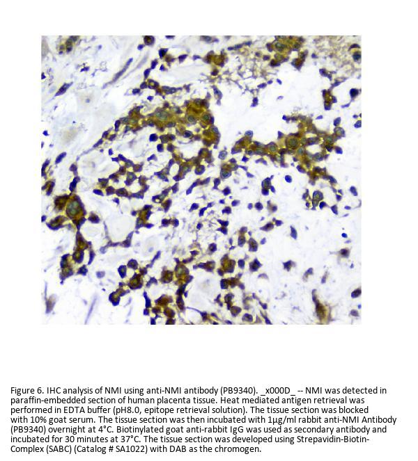
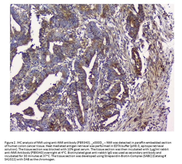
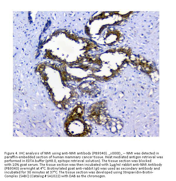
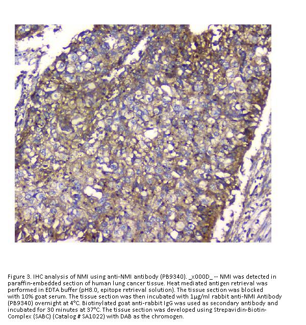
Immunohistochemistry (Paraffin-embedded Section), 0.5-1μg/ml, Human
Immunocytochemistry/Immunofluorescence, 2μg/ml, Human
Flow Cytometry (Fixed), 1-3μg/1x106 cells, Human
Gene Name
NMI
Gene Full Name
N-myc-interactor
Manufacturer - Specificity
No cross reactivity with other proteins.
Background
NMYC interactor (NMI) encodes a protein that interacts with NMYC and CMYC (two members of the oncogene Myc family), and other transcription factors containing a Zip, HLH, or HLH-Zip motif. The NMI protein also interacts with all STATs except STAT2 and augments STAT-mediated transcription in response to cytokines IL2 and IFN-gamma. The NMI mRNA has low expression levels in all human fetal and adult tissues tested except brain and has high expression in cancer cell line-myeloid leukemias.
Immunogen
E.coli-derived human NMI recombinant protein (Position: E2-E307). Human NMI shares 64% amino acid (aa) sequence identity with mouse NMI.
Contents
Each vial contains 5mg BSA, 0.9mg NaCl, 0.2mg Na2HPO4, 0.05mg NaN3.
Purification
Immunogen affinity purified.
Reconstitution
Add 0.2ml of distilled water will yield a concentration of 500ug/ml.
Concentration
Adding 0.2 ml of distilled water will yield a concentration of 500 μg/ml.
Manufacturer - Research Category
Cytoskeleton, Cytoskeleton/ECM, Motor Proteins, Myosin, Signal Transduction
Protein Name
N-myc-interactor
Protein Function
May be involved in augmenting coactivator protein recruitment to a group of sequence-specific transcription factors. Augments cytokine-mediated STAT transcription. Enhances CBP/p300 coactivator protein recruitment to STAT1 and STAT5.
Subcellular Localization
Cytoplasm.
Description
Boster Bio Anti-N myc interactor/NMI Antibody Picoband® catalog # PB9340. Tested in Flow Cytometry, IF, IHC, ICC, WB applications. This antibody reacts with Human. The brand Picoband indicates this is a premium antibody that guarantees superior quality, high affinity, and strong signals with minimal background in Western blot applications. Only our best-performing antibodies are designated as Picoband, ensuring unmatched performance.
Tissue Specificity
Expressed in all adult and fetal tissues except brain and skin. More abundant in fetal tissues especially liver.
Manufacturer - Cross Reactivity
No cross-reactivity with other proteins

Note: The presented information and documents (Manual, Product Datasheet, Safety Datasheet and Certificate of Analysis) correspond to our latest update and should serve for orientational purpose only. We do not guarantee the topicality. We would kindly ask you to make a request for specific requirements, if necessary.

All products are intended for research use only (RUO). Not for human, veterinary or therapeutic use.

Amount: 100 ug
Available: In stock
available

Compare

Add to wishlist

Get an offer

Request delivery time

Ask a technical question

Submit a bulk request

Questions about this Product?