Comparison

Anti-Nucleophosmin/NPM1 Antibody Picoband® European Partner

Item no. BOS-PB9341-PE
Manufacturer Boster
Amount 100 ug/vial
Quantity options 100 ug/vial 10 ug 100 ug/vial 100 ug/vial 100 ug/vial 100 ug 100 ug 100 ug 100 ug/vial 100 ug/vial 100 ug/vial 100 ug/vial 100 ug
Category
Type Antibody Polyclonal
Format Lyophilized
Applications WB, FC, IF, IHC, ICC
Specific against Human (Homo sapiens), Mouse (Murine, Mus musculus), Rat (Rattus norvegicus)
Host Rabbit
Isotype IgG
Conjugate/Tag PE
Sensitivity <5 pg/ml
Sequence Belongs to the nucleoplasmin family.
Citations 1. Chan, W.-Y., Liu, Q.-R., Borjigin, J., Busch, H., Rennert, O. M., Tease, L. A., Chan, P.-K. Characterization of the cDNA encoding human nucleophosmin and studies of its role in normal and abnormal growth. Biochemistry 28: 1033-1039, 1989.
2. Gale, R. E., Green, C., Allen, C., Mead, A. J., Burnett, A. K., Hills, R. K., Linch, D. C. The impact of FLT3 tandem duplication mutant level, number, size, and interaction with NPM1 mutations in a large cohort of young adult patients with acute myeloid leukemia. Blood 111: 2776-2784, 2008.
3. Zhang, Q., Wang, H. Y., Liu, X., Wasik, M. A. STAT5A is epigenetically silenced by the tyrosine kinase NPM1-ALK and acts as a tumor suppressor by reciprocally inhibiting NPM1-ALK expression. Nature Med. 13: 1341-1348, 2007.
ECLASS 10.1 32160702
ECLASS 11.0 32160702
UNSPSC 12352203
Alias Nucleophosmin,NPM,Nucleolar phosphoprotein B23,Nucleolar protein NO38,Numatrin,NPM1,NPM
Available
Manufacturer - Category
Primary Antibodies
Storage Conditions
Store at -20°C for one year from date of receipt. After reconstitution, at 4°C for one month. It can also be aliquotted and stored frozen at -20°C for six months. Avoid repeated freeze-thaw cycles.
Observed Molecular weight
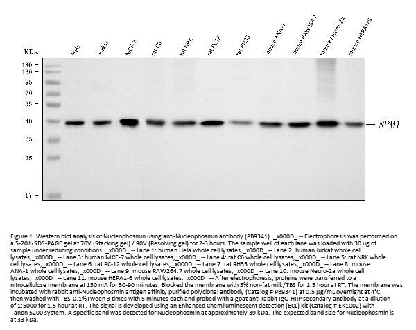
39 kDa
Calculated Molecular weight
32575 MW
Clonality
Polyclonal
Application Details
Western blot, 0.1-0.5μg/ml, Human, Mouse, Rat
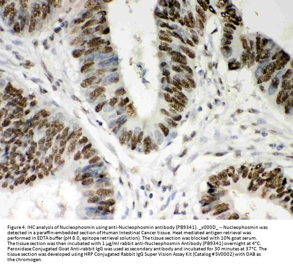
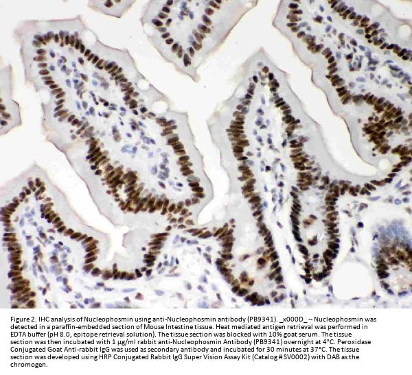
Immunohistochemistry (Paraffin-embedded Section), 0.5-1μg/ml, Human, Mouse, Rat
Immunocytochemistry/Immunofluorescence, 5 μg/ml, Human
Immunofluorescence, 5 μg/ml, Human
Flow Cytometry (Fixed), 1-3 μg/1x106 cells, Human
Gene Name
NPM1
Gene Full Name
Nucleophosmin
Manufacturer - Specificity
No cross reactivity with other proteins.
Background
NPM1 (Nucleophosmin/Nucleoplasmin family, member1), also known as NPM, nucleolar phosphoprotein B23 or numatrin, is a protein that in humans is encoded by the NPM1 gene. The NPM1 gene maps to chromosome 5q35. Chan et al. (1989) found that nucleophosmin is a nucleolar phosphoprotein that is more abundant in tumor cells than in normal resting cells. Stimulation of the growth of normal cells, e.g., mitogen activation of B lymphocytes, was accompanied by an increase in nucleophosmin protein level. They stated that nucleophosmin is likely involved in the assembly of ribosomal proteins into ribosomes. Electron microscopic study indicated that nucleophosmin is concentrated in the granular region of the nucleolus, where ribosome assembly occurs.
Immunogen
E.coli-derived human Nucleophosmin recombinant protein (Position: M1-L294). Human Nucleophosmin shares 95% amino acid (aa) sequence identity with both mouse and rat Nucleophosmin.
Contents
Each vial contains 5mg BSA, 0.9mg NaCl, 0.2mg Na2HPO4, 0.05mg NaN3.
Purification
Immunogen affinity purified.
Reconstitution
Add 0.2ml of distilled water will yield a concentration of 500ug/ml.
Concentration
Adding 0.2 ml of distilled water will yield a concentration of 500 μg/ml.
Manufacturer - Research Category
Cancer, Cell Type Marker, Cell Type Markers, Intracellular Signaling, Kinases, Neuron Marker, Neuroscience, Neurotransmission, Oncoproteins, Oncoproteins/Suppressors, Receptors / Channels, Tags & Cell Markers, Tumor Associated
Protein Name
Nucleophosmin
Protein Function
Involved in diverse cellular processes such as ribosome biogenesis, centrosome duplication, protein chaperoning, histone assembly, cell proliferation, and regulation of tumor suppressors p53/TP53 and ARF. Binds ribosome presumably to drive ribosome nuclear export. Associated with nucleolar ribonucleoprotein structures and bind single-stranded nucleic acids. Acts as a chaperonin for the core histones H3, H2B and H4. Stimulates APEX1 endonuclease activity on apurinic/apyrimidinic (AP) double- stranded DNA but inhibits APEX1 endonuclease activity on AP single-stranded RNA. May exert a control of APEX1 endonuclease activity within nucleoli devoted to repair AP on rDNA and the removal of oxidized rRNA molecules. In concert with BRCA2, regulates centrosome duplication. Regulates centriole duplication: phosphorylation by PLK2 is able to trigger centriole replication. Negatively regulates the activation of EIF2AK2/PKR and suppresses apoptosis through inhibition of EIF2AK2/PKR autophosphorylation.
Subcellular Localization
Nucleus, nucleolus. Nucleus, nucleoplasm. Cytoplasm, cytoskeleton, microtubule organizing center, centrosome. Generally nucleolar, but is translocated to the nucleoplasm in case of serum starvation or treatment with anticancer drugs. Has been found in the cytoplasm in patients with primary acute myelogenous leukemia (AML), but not with secondary AML. Can shuttle between cytoplasm and nucleus. Co- localizes with the methylated form of RPS10 in the granular component (GC) region of the nucleolus. Colocalized with nucleolin and APEX1 in nucleoli. Isoform 1 of NEK2 is required for its localization to the centrosome during mitosis.
Description
Boster Bio Anti-Nucleophosmin/NPM1 Antibody Picoband® catalog # PB9341. Tested in Flow Cytometry, IF, IHC, ICC, WB applications. This antibody reacts with Human, Mouse, Rat. The brand Picoband indicates this is a premium antibody that guarantees superior quality, high affinity, and strong signals with minimal background in Western blot applications. Only our best-performing antibodies are designated as Picoband, ensuring unmatched performance.
Tissue Specificity
Expressed in all adult and fetal tissues except brain and skin. More abundant in fetal tissues especially liver.
Sequence Similarities
Belongs to the nucleoplasmin family.
Manufacturer - Cross Reactivity
No cross-reactivity with other proteins

Note: The presented information and documents (Manual, Product Datasheet, Safety Datasheet and Certificate of Analysis) correspond to our latest update and should serve for orientational purpose only. We do not guarantee the topicality. We would kindly ask you to make a request for specific requirements, if necessary.

All products are intended for research use only (RUO). Not for human, veterinary or therapeutic use.

Amount: 100 ug/vial
Available: In stock
available

Compare

Add to wishlist

Get an offer

Request delivery time

Ask a technical question

Submit a bulk request

Questions about this Product?