Comparison

Anti-Optineurin/OPTN Antibody Picoband® European Partner

Item no. BOS-PB9343-carrier-free
Manufacturer Boster
Amount 100 ug/vial
Quantity options 100 ug/vial 10 ug 100 ug/vial 100 ug/vial 100 ug/vial 100 ug 100 ug 100 ug 100 ug/vial 100 ug/vial 100 ug/vial 100 ug/vial 100 ug
Category
Type Antibody Polyclonal
Format Lyophilized
Applications WB, FC, IHC
Specific against Human (Homo sapiens), Mouse (Murine, Mus musculus), Rat (Rattus norvegicus)
Host Rabbit
Isotype IgG
Sensitivity <5 pg/ml
Sequence Belongs to the nuclear hormone receptor family. NR3 subfamily.
Citations 1. Johnson L, et al. Screening for OPTN mutations in a cohort of British amyotrophic lateral sclerosis patients. Neurobiol Aging, 2012 Dec.
2. Michou L, et al. Genetic association study of UCMA/GRP and OPTN genes (PDB6 locus) with Paget's disease of bone. Bone, 2012 Oct.
3. Weishaupt JH, et al. A novel optineurin truncating mutation and three glaucoma-associated missense variants in patients with familial amyotrophic lateral sclerosis in Germany. Neurobiol Aging, 2013 May.
ECLASS 10.1 32160702
ECLASS 11.0 32160702
UNSPSC 12352203
Alias Optineurin,E3-14.7K-interacting protein,FIP-2,Huntingtin yeast partner L,Huntingtin-interacting protein 7,HIP-7,Huntingtin-interacting protein L,NEMO-related protein,Optic neuropathy-inducing protein,Transcription factor IIIA-interacting protein,TFIIIA-IntP,OPTN,FIP2,GLC1E,HIP7,HYPL,NRP
Available
Manufacturer - Category
Primary Antibodies
Manufacturer - Conjugate / Tag
carrier-free
Storage Conditions
Store at -20°C for one year from date of receipt. After reconstitution, at 4°C for one month. It can also be aliquotted and stored frozen at -20°C for six months. Avoid repeated freeze-thaw cycles.
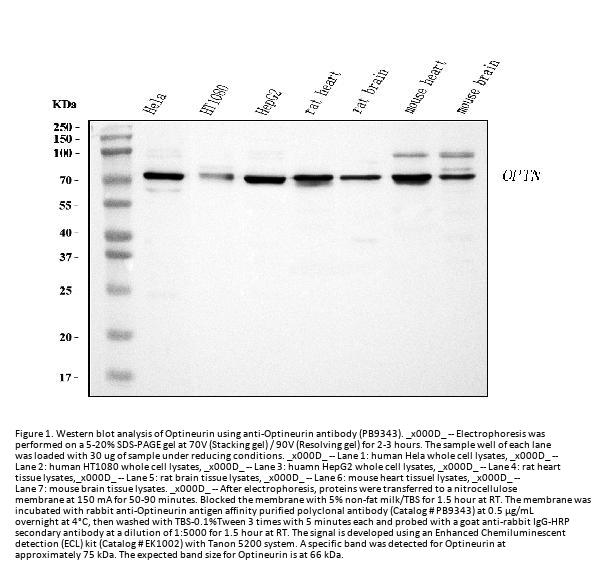
Observed Molecular weight
75 kDa
Calculated Molecular weight
65921 MW
Clonality
Polyclonal
Application Details
Western blot, 0.25-0.5 μg/ml, Human, Mouse, Rat
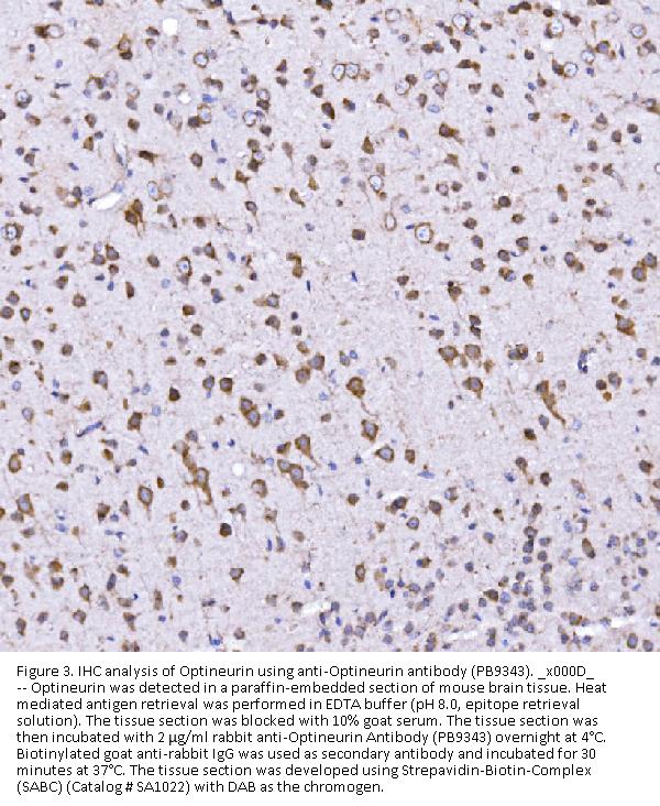
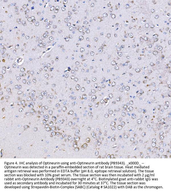
Immunohistochemistry(Paraffin-embedded Section), 2-5 μg/ml, Human, Mouse, Rat
Flow Cytometry (Fixed), 1-3 μg/1x106 cells, Human
Gene Name
OPTN
Gene Full Name
Optineurin
Manufacturer - Specificity
No cross reactivity with other proteins.
Background
OPTN is also known as NRP, FIP2 or HYPL. This gene encodes the coiled-coil containing protein optineurin. Optineurin may play a role in normal-tension glaucoma and adult-onset primary open angle glaucoma. Optineurin interacts with adenovirus E3-14.7K protein and may utilize tumor necrosis factor-alpha or Fas-ligand pathways to mediate apoptosis, inflammation or vasoconstriction. Optineurin may also function in cellular morphogenesis and membrane trafficking, vesicle trafficking, and transcription activation through its interactions with the RAB8, huntingtin, and transcription factor IIIA proteins. Alternative splicing results in multiple transcript variants encoding the same protein.
Immunogen
E.coli-derived human Optineurin recombinant protein (Position: R241-I577). Human Optineurin shares 82% amino acid (aa) sequence identity with both mouse and rat Optineurin.
Contents
Each vial contains 4mg Trehalose, 0.9mg NaCl and 0.2mg Na2HPO4.
Purification
Immunogen affinity purified.
Reconstitution
Add 0.2ml of distilled water will yield a concentration of 500ug/ml.
Concentration
Adding 0.2 ml of distilled water will yield a concentration of 500 μg/ml.
Manufacturer - Research Category
Adapters, Cytokines, Cytoplasmic, Immunology, Innate Immunity, Neuroscience, Sensory System, Signal Transduction, TNF Superfamily, Visual System
Protein Name
Optineurin
Protein Function
Plays an important role in the maintenance of the Golgi complex, in membrane trafficking, in exocytosis, through its interaction with myosin VI and Rab8. Links myosin VI to the Golgi complex and plays an important role in Golgi ribbon formation. Negatively regulates the induction of IFNB in response to RNA virus infection. Plays a neuroprotective role in the eye and optic nerve. Probably part of the TNF-alpha signaling pathway that can shift the equilibrium toward induction of cell death. May act by regulating membrane trafficking and cellular morphogenesis via a complex that contains Rab8 and hungtingtin (HD). Mediates the interaction of Rab8 with the probable GTPase-activating protein TBC1D17 during Rab8-mediated endocytic trafficking, such as of transferrin receptor (TFRC/TfR); regulates Rab8 recruitnment to tubules emanating from the endocytic recycling compartment. Autophagy receptor that interacts ly with both the cargo to become degraded and an autophagy modifier of the MAP1 LC3 family; targets ubiquitin-coated bacteria (xenophagy), such as cytoplasmic Salmonella enterica, and appears to function in the same pathway as SQSTM1 and CALCOCO2/NDP52. May constitute a cellular target for adenovirus E3 14.7, an inhibitor of TNF-alpha functions, thereby affecting cell death.
Subcellular Localization
Cytoplasm, perinuclear region. Golgi apparatus. Golgi apparatus, trans-Golgi network. Cytoplasmic vesicle, autophagosome. Cytoplasmic vesicle. Recycling endosome. Found in the perinuclear region and associates with the Golgi apparatus. Colocalizes with MYO6 and RAB8 at the Golgi complex and in vesicular structures close to the plasma membrane. Localizes to LC3-positive cytoplasmic vesicles upon induction of autophagy.
Description
Boster Bio Anti-Optineurin/OPTN Antibody Picoband® catalog # PB9343. Tested in Flow Cytometry, IHC, WB applications. This antibody reacts with Human, Mouse, Rat. The brand Picoband indicates this is a premium antibody that guarantees superior quality, high affinity, and strong signals with minimal background in Western blot applications. Only our best-performing antibodies are designated as Picoband, ensuring unmatched performance.
Tissue Specificity
Present in aqueous humor of the eye (at protein level). Highly expressed in trabecular meshwork. Expressed nonpigmented ciliary epithelium, retina, brain, adrenal cortex, fetus, lymphocyte, fibroblast, skeletal muscle, heart, liver, brain and placenta.
Sequence Similarities
Belongs to the nuclear hormone receptor family. NR3 subfamily.
Manufacturer - Alias
Optineurin, E3-14.7K-interacting protein, FIP-2, Huntingtin yeast partner L, Huntingtin-interacting protein 7, HIP-7, Huntingtin-interacting protein L, NEMO-related protein, Optic neuropathy-inducing protein, Transcription factor IIIA-interacting protein, TFIIIA-IntP, OPTN, FIP2, GLC1E, HIP7, HYPL, NRP
Manufacturer - Cross Reactivity
No cross-reactivity with other proteins

Note: The presented information and documents (Manual, Product Datasheet, Safety Datasheet and Certificate of Analysis) correspond to our latest update and should serve for orientational purpose only. We do not guarantee the topicality. We would kindly ask you to make a request for specific requirements, if necessary.

All products are intended for research use only (RUO). Not for human, veterinary or therapeutic use.

Amount: 100 ug/vial
Available: In stock
available

Compare

Add to wishlist

Get an offer

Request delivery time

Ask a technical question

Submit a bulk request

Questions about this Product?