Comparison

Anti-Peroxiredoxin 3/PRDX3 Antibody Picoband® European Partner

Item no. BOS-PB9349-Dylight550
Manufacturer Boster
Amount 100 ug
Quantity options 100 ug/vial 10 ug 100 ug/vial 100 ug/vial 100 ug/vial 100 ug 100 ug 100 ug 100 ug/vial 100 ug/vial 100 ug/vial 100 ug/vial 100 ug
Category
Type Antibody Polyclonal
Format Lyophilized
Applications WB, FC, IF, IHC, ICC
Specific against Human (Homo sapiens), Mouse (Murine, Mus musculus), Rat (Rattus norvegicus)
Host Rabbit
Isotype IgG
Conjugate/Tag Dylight 550
Sensitivity <5 pg/ml
Sequence Belongs to the AhpC/TSA family.
Citations 1. Chiribau, C. B., Cheng, L., Cucoranu, I. C., Yu, Y.-S., Clempus, R. E., Sorescu, D. FOXO3A regulates peroxiredoxin III expression in human cardiac fibroblasts. J. Biol. Chem. 283: 8211-8217, 2008.
2. Nemoto, Y., Yamamoto, T., Takada, S., Matsui, Y., Obinata, M. Antisense RNA of the latent period gene (MER5) inhibits the differentiation of murine erythroleukemia cells. Gene 91: 261-265, 1990.
3. Wonsey, D. R., Zeller, K. I., Dang, C. V. The c-Myc target gene PRDX3 is required for mitochondrial homeostasis and neoplastic transformation. Proc. Nat. Acad. Sci. 99: 6649-6654, 2002.
ECLASS 10.1 32160702
ECLASS 11.0 32160702
UNSPSC 12352203
Alias Thioredoxin-dependent peroxide reductase,mitochondrial,1.11.1.15,Antioxidant protein 1,AOP-1,HBC189,Peroxiredoxin III,Prx-III,Peroxiredoxin-3,Protein MER5 homolog,PRDX3,AOP1
Available
Manufacturer - Category
Primary Antibodies
Storage Conditions
Store at -20°C for one year from date of receipt. After reconstitution, at 4°C for one month. It can also be aliquotted and stored frozen at -20°C for six months. Avoid repeated freeze-thaw cycles.
Observed Molecular weight
25 kDa
Calculated Molecular weight
27693 MW
Clonality
Polyclonal
Application Details
Western blot, 0.1-0.5μg/ml
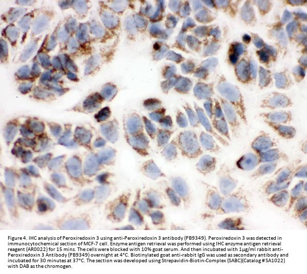
Immunohistochemistry (Paraffin-embedded Section), 0.5-1μg/ml
Immunocytochemistry/Immunofluorescence, 2μg/ml
Flow Cytometry (Fixed), 1-3μg/1x106 cells
Gene Name
PRDX3
Gene Full Name
Thioredoxin-dependent peroxide reductase, mitochondrial
Manufacturer - Specificity
No cross reactivity with other proteins.
Background
PRDX3 (peroxiredoxin 3) also known as AOP-1, MER5, SP-22 or PRX3, is localized exclusively in mitochondria. The deduced 256-amino acid human AOP1 protein shares 86% amino acid sequence similarity with mouse Aop1, and significant similarity with both the human proliferation-associated gene A product and the mouse stress-induced peritoneal macrophage protein Msp23. The PRDX3 gene is mapped on 10q26.11. Expression of PRDX3 is induced by MYC and is reduced in c-myc -/- cells. Chromatin immunoprecipitation analysis spanning the entire PRDX3 genomic sequence revealed that MYC binds preferentially to a 930-bp region surrounding exon 1. Results using mitochondria-specific fluorescent probes demonstrated that PRDX3 is essential for maintaining mitochondrial mass and membrane potential in transformed rat and human cells. These data provided evidence that PRDX3 is a MYC target gene that is required to maintain normal mitochondrial function.
Immunogen
E.coli-derived human Peroxiredoxin 3 recombinant protein (Position: T110-Q256). Human Peroxiredoxin 3 shares 93% amino acid (aa) sequence identity with both mouse and rat Peroxiredoxin 3.
Contents
Each vial contains 5mg BSA, 0.9mg NaCl, 0.2mg Na2HPO4, 0.05mg NaN3.
Purification
Immunogen affinity purified.
Reconstitution
Add 0.2ml of distilled water will yield a concentration of 500ug/ml.
Concentration
Adding 0.2 ml of distilled water will yield a concentration of 500 μg/ml.
Manufacturer - Research Category
Invasion/Microenvironment, Metabolism, Metabolism Processes, Mitochondrial, Mitochondrial Markers, Mitochondrial Metabolism, Oxidative Stress, Pathways and Processes, Redox Metabolism, Signal Transduction
Protein Name
Thioredoxin-dependent peroxide reductase, mitochondrial
Protein Function
Involved in redox regulation of the cell. Protects radical-sensitive enzymes from oxidative damage by a radical- generating system. Acts synergistically with MAP3K13 to regulate the activation of NF-kappa-B in the cytosol.
Subcellular Localization
Mitochondrion.
Description
Boster Bio Anti-Peroxiredoxin 3/PRDX3 Antibody Picoband® catalog # PB9349. Tested in Flow Cytometry, IF, IHC, ICC, WB applications. This antibody reacts with Human, Mouse, Rat. The brand Picoband indicates this is a premium antibody that guarantees superior quality, high affinity, and strong signals with minimal background in Western blot applications. Only our best-performing antibodies are designated as Picoband, ensuring unmatched performance.
Tissue Specificity
Synthesized in numerous tissues (including tumors) and secreted into most extracellular body fluids, such as plasma, uterine fluid, saliva, gingival crevicular fluid, tears, seminal fluid, and milk.
Sequence Similarities
Belongs to the AhpC/TSA family.
Manufacturer - Cross Reactivity
No cross-reactivity with other proteins.

Note: The presented information and documents (Manual, Product Datasheet, Safety Datasheet and Certificate of Analysis) correspond to our latest update and should serve for orientational purpose only. We do not guarantee the topicality. We would kindly ask you to make a request for specific requirements, if necessary.

All products are intended for research use only (RUO). Not for human, veterinary or therapeutic use.

Amount: 100 ug
Available: In stock
available

Compare

Add to wishlist

Get an offer

Request delivery time

Ask a technical question

Submit a bulk request

Questions about this Product?