Comparison

Anti-RBP4 Antibody Picoband® European Partner

Item no. BOS-PB9360-PE
Manufacturer Boster
Amount 100 ug
Quantity options 100 ug/vial 10 ug 100 ug 100 ug 100 ug 100 ug 100 ug 100 ug 100 ug 100 ug 100 ug 100 ug 100 ug
Category
Type Antibody Polyclonal
Format Lyophilized
Applications WB, IF, IHC, ELISA
Specific against Human (Homo sapiens)
Host Rabbit
Isotype IgG
Conjugate/Tag PE
Sensitivity <5 pg/ml
Sequence Belongs to the calycin superfamily. Lipocalin family.
Citations 1. Cubedo J, et al. Retinol-binding protein 4 levels and susceptibility to ischaemic events in men. Eur J Clin Invest, 2014.
2. Li F, et al. Retinol-binding protein 4 as a novel risk factor for cardiovascular disease in patients with coronary artery disease and hyperinsulinemia. Am J Med Sci, 2014 Dec.
3. Saucedo R, et al. RBP4 gene variants are associated with insulin resistance in women with previous gestational diabetes. Dis Markers, 2014.
ECLASS 10.1 32160702
ECLASS 11.0 32160702
UNSPSC 12352203
Alias Retinol-binding protein 4,Plasma retinol-binding protein,PRBP,RBP,Plasma retinol-binding protein (1-182),Plasma retinol-binding protein (1-181),Plasma retinol-binding protein (1-179),Plasma retinol-binding protein (1-176),RBP4,PRO2222
Available
Manufacturer - Category
Primary Antibodies
Storage Conditions
Store at -20°C for one year from date of receipt. After reconstitution, at 4°C for one month. It can also be aliquotted and stored frozen at -20°C for six months. Avoid repeated freeze-thaw cycles.
Observed Molecular weight
23 kDa
Calculated Molecular weight
23 kDa
Clonality
Polyclonal
Application Details
Western blot, 0.1-0.5μg/ml, Human
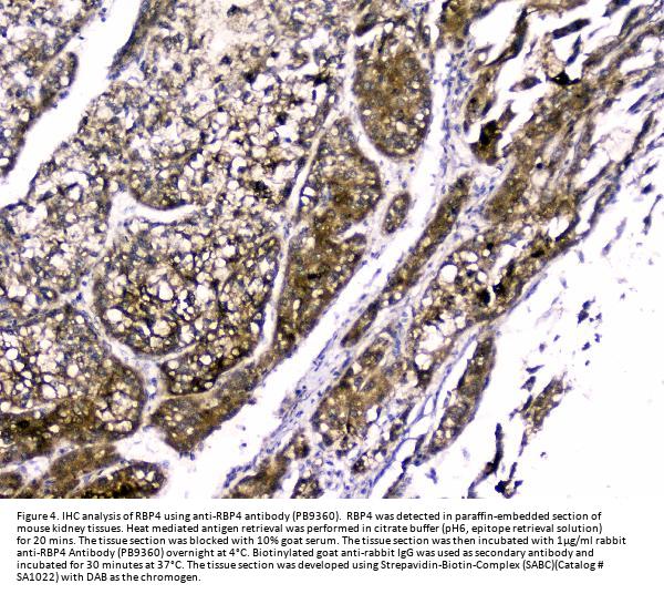
Immunohistochemistry (Paraffin-embedded Section), 2-5μg/ml, Human
Immunofluorescence, 5 μg/ml, Human
ELISA, 0.1-0.5μg/ml
Gene Name
RBP4
Gene Full Name
Retinol-binding protein 4
Manufacturer - Specificity
No cross reactivity with other proteins.
Background
RBP4 is also known as RDCCAS. This protein belongs to the lipocalin family and is the specific carrier for retinol (vitamin A alcohol) in the blood. It delivers retinol from the liver stores to the peripheral tissues. In plasma, the RBP-retinol complex interacts with transthyretin which prevents its loss by filtration through the kidney glomeruli. A deficiency of vitamin A blocks secretion of the binding protein posttranslationally and results in defective delivery and supply to the epidermal cells.
Immunogen
E.coli-derived human RBP4 recombinant protein (Position: E19-201L). Human RBP4 shares 86% amino acid (aa) sequence identity with both mouse and rat RBP4.
Contents
Each vial contains 4 mg Trehalose, 0.9 mg NaCl and 0.2 mg Na2HPO4.
Purification
Immunogen affinity purified.
Reconstitution
Add 0.2ml of distilled water will yield a concentration of 500ug/ml.
Concentration
Adding 0.2 ml of distilled water will yield a concentration of 500 μg/ml.
Manufacturer - Research Category
Atherosclerosis, Cancer, Cardiovascular, Cofactors, Vitamins/Minerals, Diabetes, Diabetes-associated, Heart Disease, Metabolism, Pathways and Processes, Serum Proteins, Signal Transduction, Vitamins/Minerals
Protein Name
Retinol-binding protein 4
Protein Function
Delivers retinol from the liver stores to the peripheral tissues. In plasma, the RBP-retinol complex interacts with transthyretin, this prevents its loss by filtration through the kidney glomeruli.
Subcellular Localization
Secreted.
Description
Boster Bio Anti-RBP4 Antibody Picoband® catalog # PB9360. Tested in ELISA, IF, IHC, WB applications. This antibody reacts with Human. The brand Picoband indicates this is a premium antibody that guarantees superior quality, high affinity, and strong signals with minimal background in Western blot applications. Only our best-performing antibodies are designated as Picoband, ensuring unmatched performance.
Tissue Specificity
Highly expressed in fibroblasts, some expression in T- and B-lymphocytes, and little or no expression in Burkitt's lymphoma cell lines. Expressed in many hormone- independent mammary carcinoma cell lines.
Sequence Similarities
Belongs to the calycin superfamily. Lipocalin family.
Manufacturer - Cross Reactivity
No cross-reactivity with other proteins.

Note: The presented information and documents (Manual, Product Datasheet, Safety Datasheet and Certificate of Analysis) correspond to our latest update and should serve for orientational purpose only. We do not guarantee the topicality. We would kindly ask you to make a request for specific requirements, if necessary.

All products are intended for research use only (RUO). Not for human, veterinary or therapeutic use.

Amount: 100 ug
Available: In stock
available

Compare

Add to wishlist

Get an offer

Request delivery time

Ask a technical question

Submit a bulk request

Questions about this Product?