Comparison

Anti-HLA A/HLA-A Antibody Picoband® European Partner

Item no. BOS-PB9376-carrier-free
Manufacturer Boster
Amount 100 ug
Quantity options 100 ug/vial 10 ug 100 ug 100 ug 100 ug 100 ug 100 ug 100 ug 100 ug 100 ug 100 ug 100 ug 100 ug
Category
Type Antibody Polyclonal
Format Lyophilized
Applications WB, IF, IHC, ICC
Specific against Human (Homo sapiens)
Host Rabbit
Isotype IgG
Sensitivity <5 pg/ml
Sequence Belongs to the MHC class I family.
Citations 1. HLA Nomenclature @ hla.alleles.org. Anthony Nolan Research Institute. 10 Nov 2013. Retrieved 8 Dec 2013.
2. Statistics. European Bioinformatics Institute (EBI) / European Molecular Biology Laboratory (EMBL). Retrieved 13 Dec 2013.
ECLASS 10.1 32160702
ECLASS 11.0 32160702
UNSPSC 12352203
Alias HLA class I histocompatibility antigen,A-2 alpha chain,MHC class I antigen A*2,HLA-A,HLAA
Available
Manufacturer - Category
Primary Antibodies
Manufacturer - Conjugate / Tag
carrier-free
Storage Conditions
Store at -20°C for one year from date of receipt. After reconstitution, at 4°C for one month. It can also be aliquotted and stored frozen at -20°C for six months. Avoid repeated freeze-thaw cycles.
Observed Molecular weight
41 kDa
Calculated Molecular weight
40922 MW
Clonality
Polyclonal
Application Details
Western blot, 0.1-0.5μg/ml, Human
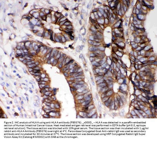
Immunohistochemistry (Paraffin-embedded Section), 0.5-1μg/ml, Human
Immunocytochemistry/Immunofluorescence, 5μg/ml, Human
Gene Name
HLA-A
Gene Full Name
HLA class I histocompatibility antigen, A-2 alpha chain
Manufacturer - Specificity
No cross reactivity with other proteins.
Background
HLA-A, namely HLA A, is a group of human leukocyte antigens (HLA) that are coded for by the HLA-A locus, which is located at human chromosome 6p21.3. HLA is simply the major histocompatibility complex (MHC) specific to humans. HLA-A is one of three major types of human MHC class I cell surface receptors. The others are HLA-B and HLA-C. And it is critical to the cytotoxic t-cell controlled immune response to viruses and other intracellular pathogens. Because each HLA-A gene has a high affinity for slightly different peptides, certain HLA-As are associated with increased risk, more rapid progression, and/or increased severity of many diseases. For similar reasons, HLA-A matching is essential to successful tissue transplants.
Immunogen
A synthetic peptide corresponding to a sequence at the N-terminus of human HLA A.
Contents
Each vial contains 5mg BSA, 0.9mg NaCl, 0.2mg Na2HPO4, 0.05mg NaN3.
Purification
Immunogen affinity purified.
Reconstitution
Add 0.2ml of distilled water will yield a concentration of 500ug/ml.
Concentration
Adding 0.2 ml of distilled water will yield a concentration of 500 μg/ml.
Manufacturer - Research Category
Energy Metabolism, Energy Transfer Pathways, Metabolic Signaling Pathways, Metabolism, Mitochondrial, Mitochondrial Markers, Mitochondrial Metabolism, Pathways and Processes, Signal Transduction
Protein Name
HLA class I histocompatibility antigen, A-2 alpha chain
Protein Function
Involved in the presentation of foreign antigens to the immune system.
Subcellular Localization
Membrane; Single-pass type I membrane protein.
Description
Boster Bio Anti-HLA A/HLA-A Antibody Picoband® catalog # PB9376. Tested in IF, IHC, ICC, WB applications. This antibody reacts with Human. The brand Picoband indicates this is a premium antibody that guarantees superior quality, high affinity, and strong signals with minimal background in Western blot applications. Only our best-performing antibodies are designated as Picoband, ensuring unmatched performance.
Tissue Specificity
Mainly expressed in brain with predominant expression is in the cerebellum, also present in the hippocampus, amygdala, caudate nucleus, corpus callosum, subthalamic nuclei and thalamus. Detected in the heart, skeletal muscle and pancreas.
Sequence Similarities
Belongs to the MHC class I family.
Manufacturer - Cross Reactivity
No cross-reactivity with other proteins.

Note: The presented information and documents (Manual, Product Datasheet, Safety Datasheet and Certificate of Analysis) correspond to our latest update and should serve for orientational purpose only. We do not guarantee the topicality. We would kindly ask you to make a request for specific requirements, if necessary.

All products are intended for research use only (RUO). Not for human, veterinary or therapeutic use.

Amount: 100 ug
Available: In stock
available

Compare

Add to wishlist

Get an offer

Request delivery time

Ask a technical question

Submit a bulk request

Questions about this Product?