Comparison

Anti-Peroxiredoxin 4/PRDX4 Antibody Picoband® European Partner

Item no. BOS-PB9383-APC
Manufacturer Boster
Amount 100 ug
Quantity options 100 ug/vial 10 ug 100 ug 100 ug 100 ug 100 ug 100 ug 100 ug 100 ug 100 ug 100 ug 100 ug 100 ug
Category
Type Antibody Polyclonal
Format Lyophilized
Applications WB, FC, IF, IHC, ICC
Specific against Human (Homo sapiens), Mouse (Murine, Mus musculus), Rat (Rattus norvegicus)
Host Rabbit
Isotype IgG
Conjugate/Tag APC
Sensitivity <5 pg/ml
Sequence Belongs to the AhpC/TSA family.
Citations 1. Jin, D.-Y, Chae, H. Z, Rhee, S. G, Jeang, K.-T. Regulatory role for a novel human thioredoxin peroxidase in NF-kappa-B activation. J. Biol. Chem. 272: 30952-30961, 1997.
ECLASS 10.1 32160702
ECLASS 11.0 32160702
UNSPSC 12352203
Alias Peroxiredoxin-4,1.11.1.15,Antioxidant enzyme AOE372,AOE37-2,Peroxiredoxin IV,Prx-IV,Thioredoxin peroxidase AO372,Thioredoxin-dependent peroxide reductase A0372,PRDX4
Available
Manufacturer - Category
Primary Antibodies
Storage Conditions
Store at -20°C for one year from date of receipt. After reconstitution, at 4°C for one month. It can also be aliquotted and stored frozen at -20°C for six months. Avoid repeated freeze-thaw cycles.
Observed Molecular weight
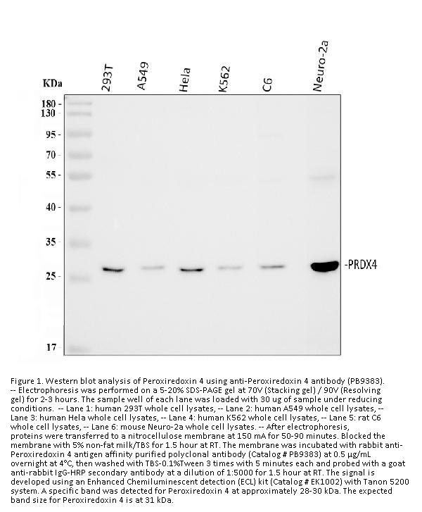
31 kDa
Calculated Molecular weight
30540 MW
Clonality
Polyclonal
Application Details
Western blot, 0.1-0.5μg/ml, Human, Mouse, Rat
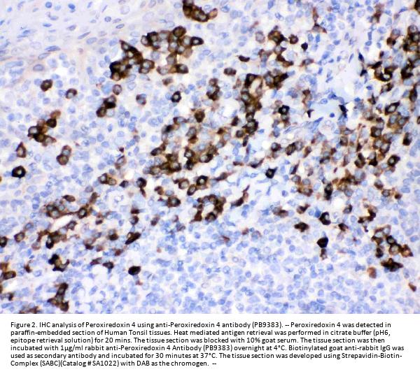
Immunohistochemistry (Paraffin-embedded Section), 0.5-1μg/ml, Human, Mouse, Rat
Immunocytochemistry , 0.5-1μg/ml, Human, -
Immunocytochemistry/Immunofluorescence, 2μg/ml, Human
Flow Cytometry (Fixed), 1-3μg/1x106 cells, Human
Gene Name
PRDX4
Gene Full Name
Peroxiredoxin-4
Manufacturer - Specificity
No cross reactivity with other proteins.
Background
PRDX4 (peroxiredoxin 4) is also known as AOE37-2. The protein encoded by this gene is an antioxidant enzyme and belongs to the peroxiredoxin family. Functional analysis showed that PRDX4 protects glutamine synthetase from inactivation. Yeast 2-hybrid, immunoprecipitation, and immunoblot analyses indicated that PRDX4 and PRDX1 are capable of homodimerization and heterodimerization with each other but not with the mitochondrial PRDX3. Gel mobility shift and immunoblot analysis found that PRDX4 depletes NFKB binding activity together with a reduction in the amounts of p50, p65, and phosphorylated IKBA, as well as a reduction in the expression of HIV-1 viral proteins. Expression of PRDX4, alone or with PRDX1, increased the resistance of yeast cells to oxidant-induced toxicity. Jin et al. suggested PRDX4 modulates IKBA phosphorylation in the cytoplasm and thus affects a peroxiredoxin-dependent redox step.
Immunogen
A synthetic peptide corresponding to a sequence at the C-terminus of human Peroxiredoxin 4, different from the related mouse and rat sequences by one amino acid.
Contents
Each vial contains 5mg BSA, 0.9mg NaCl, 0.2mg Na2HPO4, 0.05mg NaN3.
Purification
Immunogen affinity purified.
Reconstitution
Add 0.2ml of distilled water will yield a concentration of 500ug/ml.
Concentration
Adding 0.2 ml of distilled water will yield a concentration of 500 μg/ml.
Manufacturer - Research Category
Cell Biology
Protein Name
Peroxiredoxin-4
Protein Function
Probably involved in redox regulation of the cell. Regulates the activation of NF-kappa-B in the cytosol by a modulation of I-kappa-B-alpha phosphorylation.
Subcellular Localization
Cytoplasm. Secreted.
Description
Boster Bio Anti-Peroxiredoxin 4/PRDX4 Antibody Picoband® catalog # PB9383. Tested in Flow Cytometry, IF, IHC, ICC, WB applications. This antibody reacts with Human, Mouse, Rat. The brand Picoband indicates this is a premium antibody that guarantees superior quality, high affinity, and strong signals with minimal background in Western blot applications. Only our best-performing antibodies are designated as Picoband, ensuring unmatched performance.
Sequence Similarities
Belongs to the AhpC/TSA family.

Note: The presented information and documents (Manual, Product Datasheet, Safety Datasheet and Certificate of Analysis) correspond to our latest update and should serve for orientational purpose only. We do not guarantee the topicality. We would kindly ask you to make a request for specific requirements, if necessary.

All products are intended for research use only (RUO). Not for human, veterinary or therapeutic use.

Amount: 100 ug
Available: In stock
available

Compare

Add to wishlist

Get an offer

Request delivery time

Ask a technical question

Submit a bulk request

Questions about this Product?