Comparison

Anti-ROCK2 Antibody Picoband® European Partner

Item no. BOS-PB9387-APC
Manufacturer Boster
Amount 100 ug
Quantity options 100 ug/vial 10 ug 100 ug 100 ug 100 ug 100 ug 100 ug 100 ug 100 ug 100 ug 100 ug 100 ug 100 ug
Category
Type Antibody Polyclonal
Format Lyophilized
Applications WB, IHC
Specific against Human (Homo sapiens), Mouse (Murine, Mus musculus), Rat (Rattus norvegicus)
Host Rabbit
Isotype IgG
Conjugate/Tag APC
Sensitivity <10 pg/ml
Sequence Belongs to the protein kinase superfamily. AGC Ser/Thr protein kinase family.
Citations 1. Takahashi, N.; Tuiki, H.; Saya, H.; Kaibuchi, K. : Localization of the gene coding for ROCK II/Rho kinase on human chromosome 2p24. Genomics 55: 235-237, 1999.
2. Thumkeo, D.; Keel, J.; Ishizaki, T.; Hirose, M.; Nonomura, K.; Oshima, H.; Oshima, M.; Taketo, M. M.; Narumiya, S. : Targeted disruption of the mouse Rho-associated kinase 2 gene results in intrauterine growth retardation and fetal death. Molec. Cell. Biol. 23: 5043-5055, 2003.
ECLASS 10.1 32160702
ECLASS 11.0 32160702
UNSPSC 12352203
Alias Rho-associated protein kinase 2,2.7.11.1,Rho kinase 2,Rho-associated,coiled-coil-containing protein kinase 2,Rho-associated,coiled-coil-containing protein kinase II,ROCK-II,p164 ROCK-2,ROCK2,KIAA0619
Available
Manufacturer - Category
Primary Antibodies
Storage Conditions
Store at -20°C for one year from date of receipt. After reconstitution, at 4°C for one month. It can also be aliquotted and stored frozen at -20°C for six months. Avoid repeated freeze-thaw cycles.
Observed Molecular weight
161 kDa
Calculated Molecular weight
160900 MW
Clonality
Polyclonal
Application Details
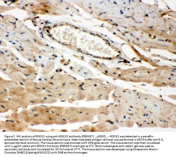
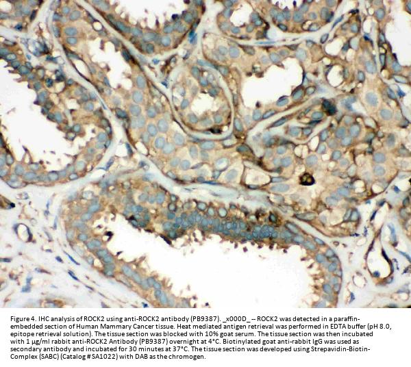
Immunohistochemistry (Paraffin-embedded Section), 0.5-1μg/ml, Human, Mouse, Rat
Western blot, 0.1-0.5μg/ml, Human, Mouse, Rat
Gene Name
ROCK2
Gene Full Name
Rho-associated protein kinase 2
Manufacturer - Specificity
No cross reactivity with other proteins.
Background
Rho-associated kinase (ROCK), including the ROCK-I and ROCK-II isoforms, is a protein kinase involved in signaling from Rho to actin cytoskeleton. Serine/threonine kinase ROCK II/Rho kinase, which is an isozyme of ROCK I, is one of the targets for the small GTPase Rho. ROCK II regulates the formation of actin stress fibers and focal adhesions, cytokinesis, smooth muscle contraction, and the activation of c-fos serum response element. Sequencing analysis has shown that human ROCK II contains 1388 amino acid residues with a calculated molecular mass of approximately 161 kDa. Fluorescence in situ hybridization analysis showed that the human ROCK II gene is located on chromosome 2p24. Thumkeo et al. concluded that ROCK-II is essential in inhibiting blood coagulation and maintaining blood flow in the endothelium-free labyrinth layer and that loss of ROCK-II leads to thrombus formation, placental dysfunction, intrauterine growth retardation, and fetal death.
Immunogen
E.coli-derived human ROCK2 recombinant protein (Position: E652-D923). Human ROCK2 shares 94.9% and 95.2% amino acid (aa) sequence identity with mouse and rat ROCK2, respectively.
Contents
Each vial contains 5mg BSA, 0.9mg NaCl, 0.2mg Na2HPO4, 0.05mg NaN3.
Purification
Immunogen affinity purified.
Reconstitution
Add 0.2ml of distilled water will yield a concentration of 500ug/ml.
Concentration
Adding 0.2 ml of distilled water will yield a concentration of 500 μg/ml.
Manufacturer - Research Category
Apoptosis, Cancer, Cell Biology, Intracellular, Kinases, Protein Phosphorylation, Ser/Thr Kinases, Serine/Threonine Kinases, Signal Transduction
Protein Name
Rho-associated protein kinase 2
Protein Function
Protein kinase which is a key regulator of actin cytoskeleton and cell polarity. Involved in regulation of smooth muscle contraction, actin cytoskeleton organization, stress fiber and focal adhesion formation, neurite retraction, cell adhesion and motility via phosphorylation of ADD1, BRCA2, CNN1, EZR, DPYSL2, EP300, MSN, MYL9/MLC2, NPM1, RDX, PPP1R12A and VIM. Phosphorylates SORL1 and IRF4. Acts as a negative regulator of VEGF-induced angiogenic endothelial cell activation. Positively regulates the activation of p42/MAPK1-p44/MAPK3 and of p90RSK/RPS6KA1 during myogenic differentiation. Plays an important role in the timely initiation of centrosome duplication. Inhibits keratinocyte terminal differentiation. May regulate closure of the eyelids and ventral body wall through organization of actomyosin bundles. Plays a critical role in the regulation of spine and synaptic properties in the hippocampus. Plays an important role in generating the circadian rhythm of the aortic myofilament Ca (2+) sensitivity and vascular contractility by modulating the myosin light chain phosphorylation.
Subcellular Localization
Cytoplasm. Cell membrane; Peripheral membrane protein. Nucleus. Cytoplasm, cytoskeleton, microtubule organizing center, centrosome. Cytoplasmic, and associated with actin microfilaments and the plasma membrane.
Description
Boster Bio Anti-ROCK2 Antibody Picoband® catalog # PB9387. Tested in IHC, WB applications. This antibody reacts with Human, Mouse, Rat. The brand Picoband indicates this is a premium antibody that guarantees superior quality, high affinity, and strong signals with minimal background in Western blot applications. Only our best-performing antibodies are designated as Picoband, ensuring unmatched performance.
Tissue Specificity
Placenta and lung.
Sequence Similarities
Belongs to the protein kinase superfamily. AGC Ser/Thr protein kinase family.

Note: The presented information and documents (Manual, Product Datasheet, Safety Datasheet and Certificate of Analysis) correspond to our latest update and should serve for orientational purpose only. We do not guarantee the topicality. We would kindly ask you to make a request for specific requirements, if necessary.

All products are intended for research use only (RUO). Not for human, veterinary or therapeutic use.

Amount: 100 ug
Available: In stock
available

Compare

Add to wishlist

Get an offer

Request delivery time

Ask a technical question

Submit a bulk request

Questions about this Product?