Comparison

Anti-SLC12A1 Antibody Picoband® European Partner

Item no. BOS-PB9392-Dylight550
Manufacturer Boster
Amount 100 ug
Quantity options 100 ug/vial 10 ug 100 ug/vial 100 ug/vial 100 ug/vial 100 ug 100 ug 100 ug 100 ug/vial 100 ug/vial 100 ug/vial 100 ug/vial 100 ug
Category
Type Antibody Polyclonal
Format Lyophilized
Applications WB, IF, IHC
Specific against Human (Homo sapiens), Mouse (Murine, Mus musculus), Rat (Rattus norvegicus), Monkey (Cynomolgus, Simian)
Host Rabbit
Isotype IgG
Conjugate/Tag Dylight 550
Sensitivity >5000 cells
Sequence Contains 1 PID domain.
Citations 1. Nozu, K., Iijima, K., Kawai, K., Nozu, Y., Nishida, A., Takeshima, Y., Fu, X. J., Hashimura, Y., Kaito, H., Nakanishi, K., Yoshikawa, N., Matsuo, M. In vivo and in vitro splicing assay of SLC12A1 in an antenatal salt-losing tubulopathy patient with an intronic mutation. Hum. Genet. 126: 533-538, 2009.
2. Takahashi, N., Chernavvsky, D. R., Gomez, R. A., Igarashi, P., Gitelman, H. J., Smithies, O.Uncompensated polyuria in a mouse model of Bartter's syndrome. Proc. Nat. Acad. Sci. 97: 5434-5439, 2000.
ECLASS 10.1 32160702
ECLASS 11.0 32160702
UNSPSC 12352203
Alias Solute carrier family 12 member 1,Bumetanide-sensitive sodium- (potassium)-chloride cotransporter 2,Kidney-specific Na-K-Cl symporter,SLC12A1,NKCC2
Available
Manufacturer - Category
Primary Antibodies
Storage Conditions
Store at -20°C for one year from date of receipt. After reconstitution, at 4°C for one month. It can also be aliquotted and stored frozen at -20°C for six months. Avoid repeated freeze-thaw cycles.
Observed Molecular weight
150-290 kDa
Calculated Molecular weight
121450 MW
Clonality
Polyclonal
Application Details
Western blot, 0.25-0.5μg/ml, Monkey, Mouse, Rat
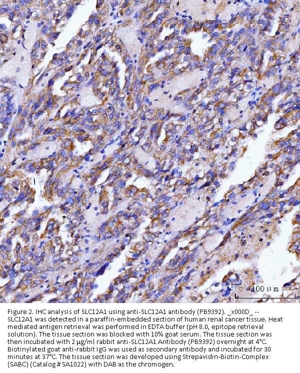
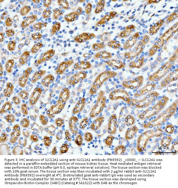
Immunohistochemistry (Paraffin-embedded Section), 2-5μg/ml, Human, Mouse, Rat
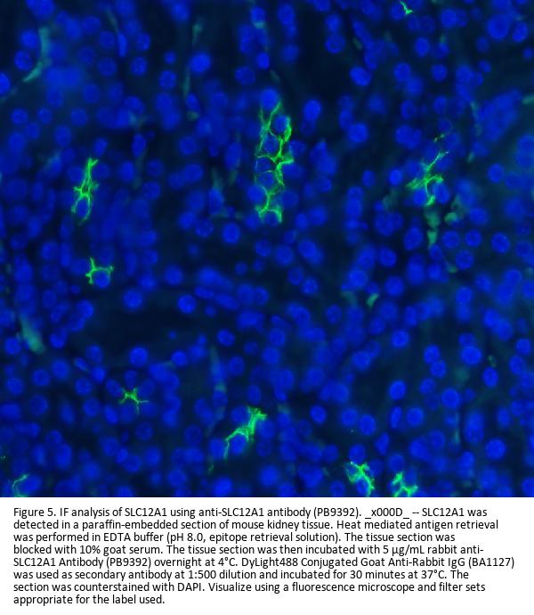
Immunofluorescence, 5 μg/ml, Mouse, Rat
Gene Name
SLC12A1
Gene Full Name
Solute carrier family 12 member 1
Manufacturer - Specificity
No cross reactivity with other proteins.
Background
Solute carrier family 12 (sodium/potassium/chloride transporters), member 1, also called NKCC2 is specifically found in cells of the thick ascending limb of the loop of Henle in nephrons, the basic functional units of the kidney. This gene is mapped to 15q21.1. This gene encodes a kidney-specific sodium-potassium-chloride cotransporter that is expressed on the luminal membrane of renal epithelial cells of the thick ascending limb of Henle's loop and the macula densa. It plays a key role in concentrating urine and accounts for most of the NaCl resorption. It is sensitive to such diuretics as furosemide and bumetanide. Some Bartter-like syndromes result from defects in this gene. This gene plays a vital role in the regulation of ionic balance and cell volume.
Immunogen
A synthetic peptide corresponding to a sequence at the N-terminus of human SLC12A1, different from the related mouse sequence by two amino acids, and from the related rat sequence by four amino acids.
Contents
Each vial contains 4 mg Trehalose, 0.9 mg NaCl and 0.2 mg Na2HPO4.
Purification
Immunogen affinity purified.
Reconstitution
Add 0.2ml of distilled water will yield a concentration of 500ug/ml.
Concentration
Adding 0.2 ml of distilled water will yield a concentration of 500 μg/ml.
Manufacturer - Research Category
Channels, Metabolism, Plasma Membrane, Signal Transduction
Protein Name
Solute carrier family 12 member 1
Protein Function
Electrically silent transporter system. Mediates sodium and chloride reabsorption. Plays a vital role in the regulation of ionic balance and cell volume.
Subcellular Localization
Membrane; Multi-pass membrane protein.
Description
Boster Bio Anti-SLC12A1 Antibody Picoband® catalog # PB9392. Tested in IF, IHC, WB applications. This antibody reacts with Human, Monkey, Mouse, Rat. The brand Picoband indicates this is a premium antibody that guarantees superior quality, high affinity, and strong signals with minimal background in Western blot applications. Only our best-performing antibodies are designated as Picoband, ensuring unmatched performance.
Tissue Specificity
Kidney specific.
Sequence Similarities
Contains 1 PID domain.
Manufacturer - Cross Reactivity
No cross-reactivity with other proteins.

Note: The presented information and documents (Manual, Product Datasheet, Safety Datasheet and Certificate of Analysis) correspond to our latest update and should serve for orientational purpose only. We do not guarantee the topicality. We would kindly ask you to make a request for specific requirements, if necessary.

All products are intended for research use only (RUO). Not for human, veterinary or therapeutic use.

Amount: 100 ug
Available: In stock
available

Delivery expected until 2/3/2026 

Compare

Add to wishlist

Get an offer

Request delivery time

Ask a technical question

Submit a bulk request

Questions about this Product?