Comparison

Anti-Superoxide Dismutase 1/SOD1 Antibody Picoband® European Partner

Item no. BOS-PB9402-Biotin
Manufacturer Boster
Amount 100 ug
Quantity options 100 ug/vial 10 ug 100 ug 100 ug 100 ug 100 ug 100 ug 100 ug 100 ug 100 ug 100 ug 100 ug 100 ug
Category
Type Antibody Polyclonal
Format Lyophilized
Applications WB, FC, IHC
Specific against Human (Homo sapiens), Mouse (Murine, Mus musculus), Rat (Rattus norvegicus)
Host Rabbit
Isotype IgG
Conjugate/Tag Biotin
Sensitivity >5000 cells
Sequence Belongs to the Cu-Zn superoxide dismutase family.
Citations 1. Crapo, J. D., Oury, T., Rabouille, C., Slot, J. W., Chang, L.-Y. Copper,zinc superoxide dismutase is primarily a cytosolic protein in human cells. Proc. Nat. Acad. Sci. 89: 10405-10409, 1992.
ECLASS 10.1 32160702
ECLASS 11.0 32160702
UNSPSC 12352203
Alias Superoxide dismutase [Cu-Zn],1.15.1.1,Superoxide dismutase 1,hSod1,SOD1
Available
Manufacturer - Category
Primary Antibodies
Storage Conditions
Store at -20°C for one year from date of receipt. After reconstitution, at 4°C for one month. It can also be aliquotted and stored frozen at -20°C for six months. Avoid repeated freeze-thaw cycles.
Observed Molecular weight
16-18 kDa
Calculated Molecular weight
16 kDa
Clonality
Polyclonal
Application Details
Western blot, 0.1-0.5μg/ml, Human, Mouse, Rat
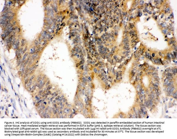
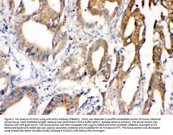
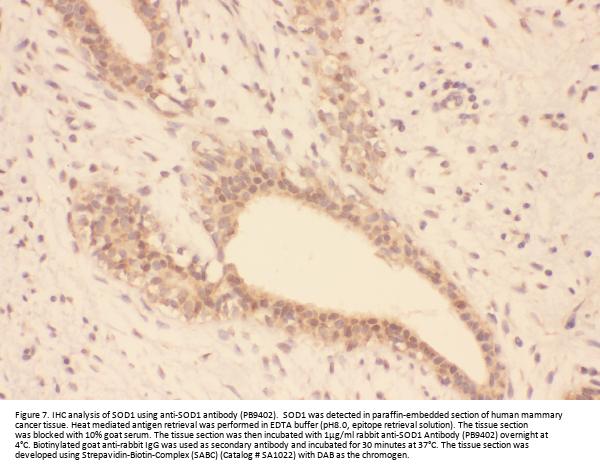
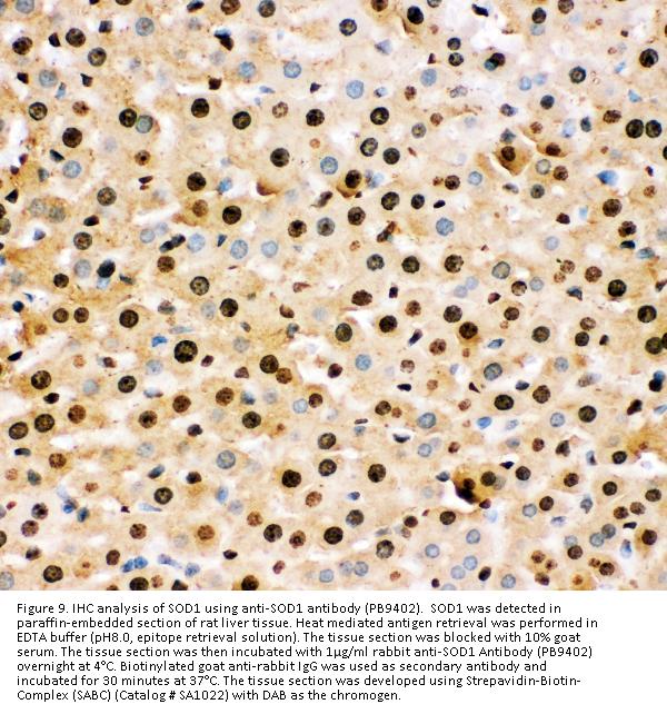
Immunohistochemistry(Paraffin-embedded Section), 2-5 μg/ml, Human
Flow Cytometry (Fixed), 1-3 μg/1x106 cells, Human
Gene Name
SOD1
Gene Full Name
Superoxide dismutase [Cu-Zn]
Manufacturer - Specificity
No cross reactivity with other proteins.
Background
Superoxide dismutases (SOD) are a class of enzymes that catalyze the dismutation of superoxide into oxygen and hydrogen peroxide. As such, they are an important antioxidant defense in nearly all cells exposed to oxygen. One of the exceedingly rare exceptions is Lactobacillus plantarum and related lactobacilli, which use a different mechanism.Cu, Zn-SOD was found widely distributed in the cell cytosol and in the cell nucleus, consistent with it being a soluble cytosolic protein. Mitochondria and secretory compartments did not label for this protein. In human cells, peroxisomes showed a labeling density slightly less than that of cytoplasm.
Immunogen
A synthetic peptide corresponding to a sequence at the C-terminus of Human SOD1, different from the related mouse and rat sequences by two amino acids.
Contents
Each vial contains 4 mg Trehalose, 0.9 mg NaCl and 0.2 mg Na2HPO4.
Purification
Immunogen affinity purified.
Reconstitution
Add 0.2ml of distilled water will yield a concentration of 500ug/ml.
Concentration
Adding 0.2 ml of distilled water will yield a concentration of 500 μg/ml.
Manufacturer - Research Category
Cancer, Cancer Metabolism, Cell Biology, Chaperones, Heat Shock Proteins, Metabolism, Oxidative Stress, Pathways and Processes, Protein Trafficking, Redox Metabolism, Signal Transduction
Protein Name
Superoxide dismutase [Cu-Zn]
Protein Function
Destroys radicals which are normally produced within the cells and which are toxic to biological systems.
Subcellular Localization
Cytoplasm. Nucleus. Predominantly cytoplasmic; the pathogenic variants ALS1 Arg-86 and Ala-94 gradually aggregates and accumulates in mitochondria.
Description
Boster Bio Anti-Superoxide Dismutase 1/SOD1 Antibody Picoband® catalog # PB9402. Tested in Flow Cytometry, IHC, WB applications. This antibody reacts with Human, Mouse, Rat. The brand Picoband indicates this is a premium antibody that guarantees superior quality, high affinity, and strong signals with minimal background in Western blot applications. Only our best-performing antibodies are designated as Picoband, ensuring unmatched performance.
Tissue Specificity
High expression in heart, placenta, lung, kidney and prostate.
Sequence Similarities
Belongs to the Cu-Zn superoxide dismutase family.
Manufacturer - Cross Reactivity
No cross-reactivity with other proteins.

Note: The presented information and documents (Manual, Product Datasheet, Safety Datasheet and Certificate of Analysis) correspond to our latest update and should serve for orientational purpose only. We do not guarantee the topicality. We would kindly ask you to make a request for specific requirements, if necessary.

All products are intended for research use only (RUO). Not for human, veterinary or therapeutic use.

Amount: 100 ug
Available: In stock
available

Compare

Add to wishlist

Get an offer

Request delivery time

Ask a technical question

Submit a bulk request

Questions about this Product?