Comparison

Anti-Cyclin A2/CCNA2 Antibody Picoband® European Partner

Item no. BOS-PB9424-Dylight550
Manufacturer Boster
Amount 100 ug
Quantity options 100 ug/vial 10 ug 100 ug/vial 100 ug/vial 100 ug/vial 100 ug 100 ug 100 ug 100 ug/vial 100 ug/vial 100 ug/vial 100 ug/vial 100 ug
Category
Type Antibody Polyclonal
Format Lyophilized
Applications WB, FC, IF, IHC, ICC
Specific against Human (Homo sapiens), Mouse (Murine, Mus musculus), Rat (Rattus norvegicus)
Host Rabbit
Isotype IgG
Conjugate/Tag Dylight 550
Sensitivity >5000 cells
Sequence Belongs to the cyclin family. Cyclin AB subfamily.
Citations 1. Gong D, Ferrell JE (Sep 2010). The roles of cyclin A2, B1, and B2 in early and late mitotic events. Mol. Biol. Cell 21(18): 3149–61.
2. Yam CH, Fung TK, Poon RY (Aug 2002). Cyclin A in cell cycle control and cancer. Cell. Mol. Life Sci. 59 (8): 1317–26.
ECLASS 10.1 32160702
ECLASS 11.0 32160702
UNSPSC 12352203
Alias Cyclin-A2,Cyclin-A,CCNA2,CCN1,CCNA
Available
Manufacturer - Category
Primary Antibodies
Storage Conditions
Store at -20°C for one year from date of receipt. After reconstitution, at 4°C for one month. It can also be aliquotted and stored frozen at -20°C for six months. Avoid repeated freeze-thaw cycles.
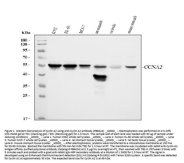
Observed Molecular weight
55 kDa
Calculated Molecular weight
48551 MW
Clonality
Polyclonal
Application Details
Western blot, 0.1-0.5μg/ml, Human, Mouse, Rat
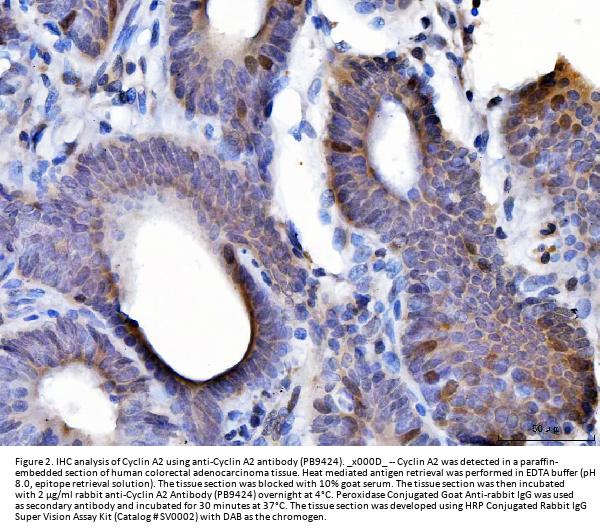
Immunohistochemistry (Paraffin-embedded Section), 2-5μg/ml, Human
Immunocytochemistry/Immunofluorescence, 5μg/ml, Human
Flow Cytometry (Fixed), 1-3μg/1x106 cells, Human
Gene Name
CCNA2
Gene Full Name
Cyclin-A2
Manufacturer - Specificity
No cross reactivity with other proteins.
Background
Cyclin A2, known as CCNA2, is mapped to 4q27. The protein encoded by this gene belongs to the highly conserved cyclin family, whose members are characterized by a dramatic periodicity in protein abundance through the cell cycle. Cyclins function as regulators of CDK kinases. Different cyclins exhibit distinct expression and degradation patterns which contribute to the temporal coordination of each mitotic event. In contrast to cyclin A1, which is present only in germ cells, this cyclin is expressed in all tissues tested. This cyclin binds and activates CDC2 or CDK2 kinases, and thus promotes both cell cycle G1/S and G2/M transitions. And Cyclin A2 is synthesized at the onset of S phase and localizes to the nucleus, where the cyclin A2-CDK2 complex is implicated in the initiation and progression of DNA synthesis. Phosphorylation of CDC6 and MCM4 by the cyclin A2-CDK2 complex prevents re-replication of DNA during the cell cycle.
Immunogen
E.coli-derived human Cyclin A2 recombinant protein (Position: A10-K168). Human Cyclin A2 shares 74.5% amino acid (aa) sequence identity with mouse Cyclin A2.
Contents
Each vial contains 4 mg Trehalose, 0.9 mg NaCl and 0.2 mg Na2HPO4.
Purification
Immunogen affinity purified.
Reconstitution
Add 0.2ml of distilled water will yield a concentration of 500ug/ml.
Concentration
Adding 0.2 ml of distilled water will yield a concentration of 500 μg/ml.
Manufacturer - Research Category
Cancer, Cardiovascular, Cell Biology, Cell Cycle, Epigenetics and Nuclear Signaling, Lipids/Lipoproteins
Protein Name
Cyclin-A2
Protein Function
Essential for the control of the cell cycle at the G1/S (start) and the G2/M (mitosis) transitions.
Subcellular Localization
Nucleus. Cytoplasm. Cytoplasmic when associated with SCAPER.
Description
Boster Bio Anti-Cyclin A2/CCNA2 Antibody Picoband® catalog # PB9424. Tested in Flow Cytometry, IF, IHC, ICC, WB applications. This antibody reacts with Human, Mouse, Rat. The brand Picoband indicates this is a premium antibody that guarantees superior quality, high affinity, and strong signals with minimal background in Western blot applications. Only our best-performing antibodies are designated as Picoband, ensuring unmatched performance.
Tissue Specificity
Ubiquitous.
Sequence Similarities
Belongs to the cyclin family. Cyclin AB subfamily.
Manufacturer - Cross Reactivity
No cross-reactivity with other proteins

Note: The presented information and documents (Manual, Product Datasheet, Safety Datasheet and Certificate of Analysis) correspond to our latest update and should serve for orientational purpose only. We do not guarantee the topicality. We would kindly ask you to make a request for specific requirements, if necessary.

All products are intended for research use only (RUO). Not for human, veterinary or therapeutic use.

Amount: 100 ug
Available: In stock
available

Compare

Add to wishlist

Get an offer

Request delivery time

Ask a technical question

Submit a bulk request

Questions about this Product?