Comparison

Anti-CtBP1 Antibody Picoband® European Partner

Item no. BOS-PB9425-HRP
Manufacturer Boster
Amount 100 ug
Quantity options 100 ug/vial 10 ug 100 ug 100 ug 100 ug 100 ug 100 ug 100 ug 100 ug 100 ug 100 ug 100 ug 100 ug
Category
Type Antibody Polyclonal
Format Lyophilized
Applications WB, FC, IF, IHC, ICC
Specific against Human (Homo sapiens), Mouse (Murine, Mus musculus), Rat (Rattus norvegicus)
Host Rabbit
Isotype IgG
Conjugate/Tag HRP
Sensitivity >5000 cells
Sequence Belongs to the cyclin family. Cyclin AB subfamily.
Citations 1. Furusawa, T., Moribe, H., Kondoh, H., Higashi, Y.Identification of CtBP1 and CtBP2 as corepressors of zinc finger-homeodomain factor delta-EF1.Molec. Cell. Biol. 19: 8581-8590, 1999.
2. Sewalt, R. G. A. B., Gunster, M. J., van der Vlag, J., Satijn, D. P. E., Otte, A. P.C-terminal binding protein is a transcriptional repressor that interacts with a specific class of vertebrate polycomb proteins.Molec. Cell. Biol. 19: 777-787, 1999.
ECLASS 10.1 32160702
ECLASS 11.0 32160702
UNSPSC 12352203
Alias C-terminal-binding protein 1,CtBP1,1.1.1.-,CTBP1,CTBP
Available
Manufacturer - Category
Primary Antibodies
Storage Conditions
Store at -20°C for one year from date of receipt. After reconstitution, at 4°C for one month. It can also be aliquotted and stored frozen at -20°C for six months. Avoid repeated freeze-thaw cycles.
Observed Molecular weight
48 kDa
Calculated Molecular weight
47535 MW
Clonality
Polyclonal
Application Details
Western blot, 0.1-0.5μg/ml, Human, Mouse, Rat
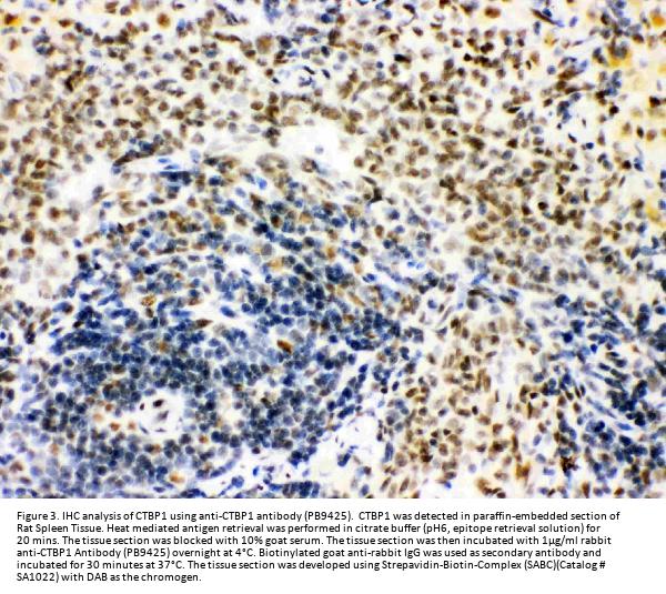
Immunohistochemistry (Paraffin-embedded Section), 0.5-1μg/ml, Human, Mouse, Rat
Immunocytochemistry/Immunofluorescence, 2μg/ml, Human
Immunofluorescence, 2μg/ml, Human, Rat
Flow Cytometry (Fixed), 1-3μg/1x106 cells, Human
Gene Name
CTBP1
Gene Full Name
C-terminal-binding protein 1
Manufacturer - Specificity
No cross reactivity with other proteins.
Background
CTBP1, C-terminal-binding protein 1, is a protein that in humans is encoded by the CTBP1 gene. The CtBP1 protein binds to the C-terminus of adenovirus E1A proteins. This gene is mapped to 4p16.This phosphoprotein is a transcriptional repressor (corepressor) and may play a role during cellular proliferation. This protein and the product of a second closely related gene, CTBP2, can dimerize. CtBP1 and CtBP2 preferentially associate with the E1A via a 5 amino acid motif, PLDLS, to repress E1A induced oncogenesis and cellular transformation. CtBP1 is expressed from embryo to adult, but CtBP2 is mainly expressed during embryogenesis. During skeletal and T cell development, CtBP1 and CtBP2 associate with the PLDLSL domain of δEF1, a cellular zinc finger-homeodomain protein, and thereby enhances δEF1-induced transcriptional silencing. In addition, CtBP complexes with CtIP, a 125 kDa protein that recognizes distinctly different protein motifs from CtBP. CtIP binds to the BRCT repeats within the breast cancer gene BRCA1 and enables CtBP to influence BRCA1 activity. Both proteins can also interact with a polycomb group protein complex which participates in regulation of gene expression during development. Alternative splicing of transcripts from this gene results in multiple transcript variants.
Immunogen
A synthetic peptide corresponding to a sequence at the C-terminus of human CtBP1, different from the related mouse sequence by one amino acid, and from the related rat sequence by two amino acids.
Contents
Each vial contains 5mg BSA, 0.9mg NaCl, 0.2mg Na2HPO4, 0.05mg NaN3.
Purification
Immunogen affinity purified.
Reconstitution
Add 0.2ml of distilled water will yield a concentration of 500ug/ml.
Concentration
Adding 0.2 ml of distilled water will yield a concentration of 500 μg/ml.
Manufacturer - Research Category
Cancer, Cell Biology, Cell Cycle, Cell Cycle Inhibitors, Co-Factors, Epigenetics and Nuclear Signaling, Host-Virus Interaction, Interspecies Interaction, Microbiology, Transcription
Protein Name
C-terminal-binding protein 1
Protein Function
Corepressor targeting diverse transcription regulators such as GLIS2 or BCL6. Has dehydrogenase activity. Involved in controlling the equilibrium between tubular and stacked structures in the Golgi complex. Functions in brown adipose tissue (BAT) differentiation.
Subcellular Localization
Cytoplasm. Nucleus.
Description
Boster Bio Anti-CtBP1 Antibody Picoband® catalog # PB9425. Tested in Flow Cytometry, IF, IHC, ICC, WB applications. This antibody reacts with Human, Mouse, Rat. The brand Picoband indicates this is a premium antibody that guarantees superior quality, high affinity, and strong signals with minimal background in Western blot applications. Only our best-performing antibodies are designated as Picoband, ensuring unmatched performance.
Tissue Specificity
Expressed in germinal center B-cells.
Sequence Similarities
Belongs to the cyclin family. Cyclin AB subfamily.
Manufacturer - Cross Reactivity
No cross-reactivity with other proteins

Note: The presented information and documents (Manual, Product Datasheet, Safety Datasheet and Certificate of Analysis) correspond to our latest update and should serve for orientational purpose only. We do not guarantee the topicality. We would kindly ask you to make a request for specific requirements, if necessary.

All products are intended for research use only (RUO). Not for human, veterinary or therapeutic use.

Amount: 100 ug
Available: In stock
available

Compare

Add to wishlist

Get an offer

Request delivery time

Ask a technical question

Submit a bulk request

Questions about this Product?